Chirurgie orthognathique
Indications
Une chirurgie orthognathique est indiquée lorsqu’un patient présente un problème orthodontique suffisamment grave pour que des traitements de compensation ou de camouflage ne soient plus des solutions de traitement. Une chirurgie pour réaligner les mâchoires ou repositionner des segments dentoalvéolaires devient alors le seul traitement possible.
La chirurgie n’est pas un substitut au traitement orthodontique. Elle est intégrée au traitement orthodontique et doit être coordonnée avec celui-ci et avec les autres traitements de restauration (implants, prosthodontie, parodontie) si ceux-ci sont requis.
Techniques chirurgicales contemporaines
Chirurgie maxillaire
• Expansion palatine rapide assistée chirurgicalement (EPRAC)
• Ostéotomies Le Fort II et Le Fort III (ces deux procédures sont moins courantes et généralement réservées à des syndromes craniofaciaux, tels que Crouzon et Apert).
Chirurgie mandibulaire
• Ostéotomie sagittale mandibulaire bilatérale (OSMB)
Distraction osseuse
Ce type de chirurgie est basé sur le principe de manipulation du site de coupe de l’os afin d’étirer le caillot qui se forme pour réparer le site avant que ce caillot (cal mou) ne soit reminéralisé et réossifié. Parmi les avantages de la distraction osseuse, on note que des mouvements d’une plus grande amplitude peuvent être exécutés et que des mâchoires déficientes peuvent être allongées à un plus jeune âge. On peut donc allonger ou élargir un maxillaire ou une mandibule en utilisant cette technique.
L’EPRAC est basée sur le principe de distraction osseuse.
Il est possible d’élargir la mandibule au niveau du menton par distraction osseuse de la symphyse.
Le Keynote suivant présente les étapes de coupe des chirurgies Le Fort I, d’ostéotomie sagittale mandibulaire bilatérale et de génioplastie. Le type de fixation utilisé est présenté. C’est une aide visuelle bien succincte, mais fort explicite.
Hiérarchie de la stabilité
Ostéotomie Le Fort I
Les traits de coupes de l’ostéotomie Le Fort I sont situés sur les parois latérales de l’os maxillaire et s’étendent de l’orifice nasal antérieurement jusqu’à la jonction ptérygomaxillaire postérieurement. Ce trait est situé au-dessus des racines des dents et passe sous l’arcade zygomatique. La paroi interne du sinus ainsi que le septum nasal sont séparés à l’ostéotome. Le maxillaire est ensuite séparé (down fracture) des lames ptérygoïdes.
Ce genre d’ostéotomie permet de repositionner le maxillaire dans les 3 plans de l’espace. Les types de mouvement les plus fréquents sont un avancement, un repositionnement supérieur (impaction) et un repositionnement inférieur. Il peut y avoir une combinaison des mouvements: antérieur et supérieur; antérieur et inférieur, rotation (abaissement antérieur et relèvement postérieur). Vue de face, il est possible de corriger une inclinaison en relevant ou abaissant un côté plus que l’autre.
Pour corriger le maxillaire dans le sens de la largeur, il faut le partitionner en 2 par son centre ou en 3 segments (1 antérieur et 2 latéraux) selon la quantité d’expansion requise. La figure du maxillaire en vue occlusale illustre la position des traits de coupes. Les flèches bleues indiquent la jonction du maxillaire aux lames ptérygoïdes de l’os sphénoïde. Ces jonctions doivent être rompues si on veut déplacer ou élargir le maxillaire.
Ostéotomie sagittale mandibulaire bilatérale
L’ostéotomie sagittale mandibulaire consiste en une coupe de la mandibule entre la branche montante et le corps mandibulaire (trait noir). Cette coupe s’étend verticalement du bord inférieur du corps mandibulaire jusqu’à la jonction supérieure approximativement entre la 1re et la 2e molaire. Ce trait se poursuit postérieurement sur la « tablette buccale », entre la ligne oblique externe et les dents, jusqu’à la branche montante. Le trait continue sur la face interne de la branche montante et passe au-dessus de l’entrée du nerf alvéolaire inférieur.
En vue frontale, on peut voir la largeur du corps mandibulaire et le trajet de la coupe. Vous reconnaîtrez que le trait traverse le site de la 3e molaire. Cette dent, bien qu’on ne la voit pas sur cette mandibule séchée, a tout de même la dimension d’une bille de l’ordre de 10 à 15 mm de diamètre si on tient compte du sac folliculaire qui l’enveloppe. Il existe donc une cavité dans l’os qui, lorsque les 2 parties osseuses seront séparées, amincit d’autant les parois osseuses restantes. C’est pour cette raison que les chirurgiens buccaux préfèrent que les 3es molaires soient retirées au moins 6 mois avant une chirurgie orthognathique, car il est important d’avoir des parois osseuses de pleine épaisseur lorsqu’ils doivent fixer les fragments avec des vis bicorticales.
Les vis bicorticales sont insérées à angle droit et immobilisent la paroi externe contre la paroi interne pour qu’une guérison complète se produise. Il est possible de comprendre, grâce au cliché radiographique, que les vis sont placées où devrait normalement se situer le bourgeon d’une 3e molaire.
Génioplastie
Une génioplastie peut être utilisée pour corriger des anomalies de la partie antéro-inférieure du bord de la mandibule. À cet égard, une génioplastie est une ostéotomie du bord inférieur de la mandibule (inferior border osteotomy) et permet de modifier le contour du menton dans les 3 plans de l’espace et changer la forme du menton en hauteur (verticalement), en longueur (antéropostérieurement) et en largeur (transversalement). Une génioplastie peut être exécutée seule ou en conjonction avec d’autres ostéotomies maxillaire ou mandibulaire.
Le trait de coupe est situé sous l’apex des racines des incisives mandibulaires et s’étend postérieurement en biseau en passant sous le trou mentonnier par où sort le nerf mentonnier qui donne la sensibilité à la peau et la muqueuse du menton et de la lèvre inférieure à partir de la commissure labiale.
La partie osseuse inférieure (distale) détachée du corps de la mandibule (segment proximal) est glissée antérieurement et immobilisée à l’aide d’ostéosynthèse métallique ou d’une plaque bicorticale et de vis. L’exemple de gauche avec ostéosynthèse métallique représente une réduction verticale et un avancement. L’exemple de droite avec une plaque bicorticale démontre un avancement, mais il y a eu très peu de réduction verticale. Ces radiographies ont été prises 2 semaines postchirurgie.
Retour vers le haut.
Expansion palatine rapide assistée chirurgicalement (EPRAC)
Lorsqu’un individu a atteint sa maturité physique, l’expansion orthopédique du maxillaire obtenue chez l’individu en croissance n’est plus possible. Un appareil d’expansion (chez l’adulte) fixé sur les dents ne ferait alors que basculer les dents sans que la base osseuse soit élargie.
Il existe deux moyens d’élargir le palais chez l’adulte:
1- Élargir le palais en segmentant le maxillaire lors d’une ostéotomie Le Fort I
2- Élargir le palais en utilisant le principe de distraction osseuse (EPRAC)
L’EPRAC est l’équivalent d’une ostéotomie Le Fort I avec les mêmes coupes sauf qu’il n’y a pas de « down fracture ». Le trait de coupe (flèches blanches) débute à l’ouverture piriforme (forme de poire) de la cavité nasale et s’étend postérieurement jusqu’à la jonction ptérygomaxillaire en passant sous l’arcade zygomatique où le trait est élargi. Les 2 hémimaxillaires sont séparés en leur centre à la suture intermaxillaire par un ostéotome fin. Un appareil d’expansion a été préalablement cimenté sur les dents. Il est activé d’environ 1 mm perop.
L’expansion (distraction osseuse) est amorcée 5 à 7 jours postop afin de laisser le caillot sanguin s’organiser en cal mou. La distraction est faite à raison de 0,5 mm par jour jusqu’à l’obtention de la dimension désirée. Dans l’image ci-contre, prise au dernier jour d’expansion, remarquez l’espace de près de 10 mm entre les 2 incisives centrales. La séparation entre les 2 incisives indique qu’il y a eu une disjonction adéquate des 2 hémimaxillaires. Cet espace fraîchement créé entre les 2 incisives se refermera progressivement alors que les fibres gingivales, qui sont étirées lors de l’écartement, retourneront à leur taille normale. Puisqu’elles sont attachées aux dents par le cément, les dents seront donc déplacées dans cet espace vide. La pose des brackets complètera la fermeture du diastème.
Pour avoir une information complète et exhaustive de l’EPRAC, je recommande la lecture de ma thèse de maîtrise sur le sujet intitulée: Stabilité de l’expansion palatine rapide comparée à une ostéotomie Le Fort I multisegmentée.
Deux articles ont été produits et publiés:
Closer look at the stability of SARPE
Short-term and long-term stability of SARPE revisited (AJODO 2011; 139:815-22)
Si vous désirez vraiment voir une chirurgie d’ÉPRAC et que vous n’avez pas le coeur sensible, vous pouvez visionner ce petit clip. Coeurs sensibles, veuillez vous abstenir. EPRAC_SARPE videoclip of surgical technique
Retour vers le haut.
Distraction osseuse
La distraction osseuse de la symphyse est indiquée dans les cas de constriction grave de la mâchoire inférieure. Elle permet d’élargir la partie antérieure de la mandibule et regagner ainsi de l’espace pour aligner la dentition d’une part et pour la langue d’autre part.
La symphyse mentonnière nécessite une coupe verticale au centre du menton. Un appareil d’expansion avec fixation osseuse est l’appareil idéal car l’arcade dentaire est si étroite qu’il est impossible de loger une vis d’expansion. Le cas illustré à droite démontre le site d’ostéotomie. Un appareil à ancrage dentaire a été utilisé.
La distraction osseuse après expansion perop de 1 mm a été poursuivie 7 jours après l’opération au rythme de 0,5 mm par jour jusqu’à l’obtention de l’expansion planifiée.
Le cliché radiographique démontre la séparation obtenue (section entre les pointes de flèches) entre les parties droite et gauche de la mandibule par étirement du cal mou. Cette section se ré-ossifiera complètement et rien n’y paraîtra une fois la guérison complétée. Lorsque l’ossification du cal mou débute, les dents peuvent être déplacées orthodontiquement dans cet espace nouvellement créé. La radiographie de droite a été prise environ 30 mois après la fin du traitement orthodontique.
L’exemple ci-contre illustre un appareil avec ancrage osseux et ancrage dentaire. L’espace obtenu par l’élargissement de la symphyse permet d’aligner les dents et permet à la langue d’enfin pouvoir se placer à l’intérieur de l’arcade dentaire. La distraction mandibulaire peut être faite en concomitance avec l’EPRAC. L’élargissement de la mandibule peut faire partie d’un traitement majeur orthochirurgie pour régler un problème d’apnée du sommeil sévère.
Scott Conley et Harry Legan ont publié un excellent article dans le AJODO en 2006 afin d’illustrer un cas présentant une constriction maxillaire et mandibulaire grave et une rétrognathie mandibulaire chez un patient apnéique. Correction of severe obstructive sleep apnea with bimaxillary transverse distraction osteogenesis and maxillomandibular advancement.
Les bienfaits de la chirurgie
Les avantages du traitement peuvent être formidables.
Même si la perspective de subir une chirurgie dans le cadre de votre plan de traitement peut vous paraître intimidante, cela est vraiment fréquent. Une fois les traitements d’orthodontie et de chirurgie complétés, vous pourrez jouir d’une meilleure santé dentaire et avoir une plus belle apparence faciale.

(36 votes, 














Bonjour dr Chamberland.
J’ai subi une bi maxillo plus genio pour corriger au départ un sourire gingival.
Je suis satisfaite du résultat sauf pour la genioplastie qui a été beaucoup trop remonté.
Mon visage est devenu carré avec deux grosses encoches visibles des deux côtés.
J’ai donc par la suite refait une genioplastie pour le redescendre et me redonner un bel ovale du visage.
Je suis très satisfaite de son Nouvel emplacement sauf que si à gauche le remodelage osseux c’est parfaitement refait , à droite il me manque de l’os.
Il y’a un creux . Cela me provoque une dépression, et ça me tire. Et on voit que la peau s’affaisse à cet endroit . Si je ne met pas de fond de teint à cet zone , on voit comme une grosse tache sombre.
Je ne souhaite pas rebouger le menton mais seulement combler ce trou. Est ce possible de refaire une greffe osseuse à cet endroit ?
Sachant que jai 31 ans désormais.
Merci beaucoup pour votre réponse.
Cordialement.
Faudrait demander à un chirurgien buccal.
Bonjour Camille,
Il y a un accord de sécurité sociale entre le Canada et la France. Une petite recherche sur Internet vous donnera toutes les informations afin de connaître les démarches vous permettant de conserver la gratuité que vous avez en France au Canada.
Bien à vous
C’est possible, mais il est probable que vous devrez payé l’orthodontiste d’abord et demander le remboursement à votre sécurité sociale en France par vous-même.
Je serais surpris qu’un orthodontiste accepte de s’occuper de demander le remboursement à la sécu française.
Bonjour Sylvain,
D’abord, un grand bravo pour ce site clair et éducatif qui donne de nombreux détails sur tous les traitements dentaires.
Je souhaitais réagir pour apporter des éléments d’explication par rapport aux traitements effectués en France, en particulier sur la discipline maxillo-faciale, pour plus de compréhension.
Il est réel que les chirurgiens maxillo en France sont médecins et chirurgiens avant tout pour ce qui se rapporte à la sphère cranio-maxillo-oro-faciale. Ils ont effectué 5 ans de médecine générale, 6 ans de chirurgie générale (où ils sont principalement en stage dans des hôpitaux), puis 3 ans de spécialité maxillo-faciale et stomatologie, qui comprend différents modules, dont la traumatologie, la chirurgie reconstructrice et esthétique du visage, la stomatologie, chirurgie orthognatique, implantaire et pré-implantaire, etc.
Je crois que la discipline est plus connue au Canada car elle est certainement une discipline « reine » chez les dentistes et orthodontistes, alors qu’en France, étant du côté de la chirurgie, elle est en « concurrence » avec toutes les disciplines plus médiatisées de la chirurgie (vasculaire, digestive, plastique, etc.)
J’ajouterais également que les chirurgiens en France sont plutôt assez peu loquaces, et dans un rapport de médecin (le sachant auréolé d’une aura) à patient (qui doit être soigné et à qui on veut épargner le jargon technique).
La pédagogie est donc souvent peu présente, même si les facultés l’enseignent de plus en plus aux jeunes générations.
C’est d’autant plus important que les patients sont de plus en plus éduqués : avec les moyens modernes, ils s’informent, se renseignent, tombent sur des forums de témoignages qui peuvent également les effrayer. C’est pourquoi toute la pédagogie de votre site est tellement précieuse.
Il me semble aussi que le monde anglo-saxon (pas forcément à Quebec) voit la médecine dans un rapport davantage de clientèle (répondre aux besoins d’un client) que de patientèle (soigner/réparer un patient), avec donc une forme d’obligation d’expliquer exactement le traitement, la façon dont il va se dérouler, être bien d’accord sur toutes les étapes, etc. Alors qu’en France, les orthodontistes le font, mais pour les chirurgiens, ce n’est pas toujours le cas.
En revanche, dire que ce n’est pas une réelle spécialité en France ou que les médecins ne connaîtraient pas assez la dentition, les malocclusions, etc. après 14 ans d’études et en travaillant au quotidien de concert avec des orthodontistes (car oui le traitement commence dans 99% des cas par une orthodontie, la chirurgie intervenant à la fin), me semble un peu injuste !
Et la chirurgie maxillo a bonne réputation, avec des départements dans les cliniques et les hôpitaux certes petits comparés à d’autres types de chirurgie mais qui reçoivent, comme toutes les spécialités en France, des patients du monde entier.
Il y a des chirurgiens très réputés, comme Chloé Bertolus, qui a réparé le visage de Philippe Lançon, qui a reçu une balle dans la joue lors de l’attentat de Charlie Hebdo. Il a d’ailleurs écrit un livre primé (Le Lambeau) en forme d’ode à cette chirurgienne qui lui a redonné un visage. Elle est plus du côté de la chirurgie reconstructrice que de la chirurgie orthognatique, mais elle contribue à faire connaître cette discipline.
Je pense également à Dominique Defrennes, qui intervient régulièrement dans les médias.
Et il y a des cliniques privées ainsi que des services dans tous les grands hôpitaux, car la stomatologie et la chirurgie orthognatique sont des actes assez courants.
Après, bien sûr, il y a les personnes qui se questionnent après un acte chirurgical, et pour qui se site est infiniment plus complet que les échanges sur des forums en l’absence de professionnels.
Bien à vous
Je vous remercie de ces précisions concernant la chirurgie buccale et maxillofaciale en France. Je suis tout à fait d’accord avec vous qu’il y a d’excellents chirurgiens stomatologues en France. Leurs patients n’ont pas vraiment besoin de consulter des blogues comme le mien lorsqu’ils sont au désespoir.
C’est vrai que je suis un peu injuste en disant qu’il ne connaissent pas assez « la dentition ». Par contre, je suis chaque fois surpris des cas mal fichus qui demandent mon avis, car ils sont remplis de désespoir. À un point tel que je ne publie pas toutes les questions qui me sont posées, car cela ne corresponds pas à la situation que nous avons ici. Certes, il n’est pas impossible qu’un cas ait des complications, mais je trouve que les chirurgiens locaux (nommément ceux de la ville de Québec) prennent un soin méticuleux de leur patient.
Le Dr Defrennes est un stomatologue que j’ai recommandé souvent sur ce site. Je ne connaissait pas, à ce jour, Dr Bertolus. Ravi d’apprendre qu’il est bon en traumato faciale. Je recommande souvent aussi Dr Ferri, Dr Nicot, Dr Swennen.
Concernant les stomatologues versus les chirurgien-buccaux, je peux maintenant cité l’exemple d’une jeune dentiste française graduée de Montpellier (je pense) qui est venu faire sa spécialité de chirurgie buccale et maxillofaciale ici à l’Hôpital de l’Enfant-Jésus (HEJ) à Québec et qui a fait ensuite un fellowship d’un an en reconstruction de l’ATM à l’Université de Toronto et qui ne retournera pas en France parce qu’elle ne pourrait pas exercée sa spécialité en France, n’étant pas « médecin » mais plutôt dentiste. La bonne nouvelle est qu’elle a un poste à l’HEJ et peut exercé sa profession et sa spécialité ici sans contrainte.
C’est ça que je trouve dommage et injuste avec le système français, injuste pour les français.
D’autres part, j’essaie d’être de plus en plus prudent dans mes recommandations de patients outremer.
Bien à vous
Bonjour, mon fils vient de subir une chirurgie orthognatique mandibule sagittale avancement. Avancement de 5 mm. Avec trous dans les joues pour insérer les vis. Or, 10 jrs après la chirurgie, il doit forcer ses lèvres pour les fermer sinon sa bouche reste ouverte. Il est très inquiet et ça l affecte beaucoup. Avant sa bouche fermait. À votre connaissance est-ce que c est normal ? Est-ce que ça arrive souvent ? J ai en main une radio, un plan de traitement et il est indiqué tout ce que la chirurgie devait corriger (corriger le surplomb horizontal etc. ). Que va-t-on faire s’il demeure la bouche ouverte au repos ?
Est-ce que la situation s’est améliorée pour votre fils. Je m’excuse pour le retard dans ma réponse.
Bonsoir,
J’ai une classe II division 1, et j’ai la possibilité l’année prochaine de faire un échange universitaire au Canada. Pensez-vous qu’il serait envisageable de suivre un traitement orthodontique dans ce pays, et subir une chirurgie d’avancement mandibulaire?
Serais-je couverte par la sécurité sociale bien qu’étrangère? Ou devrais-je payer l’intégralité des frais ? ( Si oui serait-t’il possible d’avoir une estimation?)
Bien cordialement
Je ne crois pas que vous soyez couverte par la sécurité sociale de notre payes si vous êtes étrangère. Par contre, si vous êtes immigrant et que vous obtenez votre citoyenneté, ce pourrait être différent.
Je ne crois pas que vous soyez couverte par la sécurité sociale si vous n’êtes pas citoyenne canadienne.
Bonjour docteur,
Avant tout merci pour votre site passionnant super documenté sur cette chirurgie et super simple à comprendre pour un patient lambda.
Je me permet une question pour avis :
J’ai été opéré d’une disjonction le 11 juin dernier. J’ai commencé à activer à J+10 à raison d’une activation matin et soir pour avoir 6mm d’écart à environ 12 jours. Ce 5 juillet ça y est je cesse les activations.
L’orthodontiste prévoit de coller les brackets mi-août.
N’est-ce pas trop tôt vu que dans votre mémoire vous parler de 2 mois après la fin d’activation ?
J’imagine bien sûr qu’il ne va pas exercer une grosse force sur les dents.
Merci d’avance
Mi-août semble correspondre à 6 semaines. C’est bref, mais je ne crois pas qu’il y a une énorme différence entre 6 et 8 semaines. Si vous avez une inquiétude, à la limite, vous pouvez choisir de retarder votre rendez-vous à la fin août.
Bonjour Docteur Chamberland,
j’ai pris note de vos observations.
Voici les questions qui demeurent en suspens :
– Comment expliquez vous que suite à l’extraction de mes dents de sagesse, mes 1eres molaires aient basculé vers l’avant ? (visible sur la vue intraorale)
– Je ne me suis absolument pas inquiétée suite aux extractions. J’ai été très gênée de ne plus les avoir car je mangeais (et je mange toujours) avec le fond de ma bouche. Ce n’est que 4 mois après que j’ai senti une série de réaction en chaîne : absence d’espaces entre mes dents du haut et du bas, recul des mâchoires, apparition de l’apnée, de l’ouverture buccale limitée et du problème articulaire. Ce qu’il s’est passé a été brutal et non lié à un événement traumatique ou une inquiétude.
Il m’est difficile d’être prise au sérieux par rapport à ça et je le regrette car c’est un élément sans doute important et qui explique pourquoi je suis amenée à consulter aujourd’hui.
– Par rapport aux extractions des prémolaires, je comprends votre raisonnement et sa logique. Néanmoins, j’ai déjà des corridors buccaux et une bouche étroite. Je ne sais pas si éliminer encore davantage de surface de mastication pour passer en classe 1 soit judicieux.
– N’est-il pas possible d’éliminer les compensations dentaires en présence d’une dent dévitalisée ? Sont-elles impossible à déplacer ? Au pire, ne pourrait-on pas extraire cette dent, et la remplacer par un implant à la fin de l’orthodontie ?
-Quels sont les risques à réaliser une chirurgie orthognatique sans éliminer les compensations dentaires au préalable ? Cela nui-il à la stabilité ?
– Etant donné que tout s’est cassé la figure à la suite des extractions, je pense qu’élargir la mâchoire supérieure est nécessaire au préalable pour des raisons de stabilité. De plus, cela ne pourrait il pas permettre d’améliorer l’occlusion d’éliminer les corridors buccaux et les compensations dentaires ?
– Quant à mon sourire, il est déviée vers la gauche, on ne voit presque pas mes dents, surtout à droite. D’où l’extrusion préconisée par mon chirurgien.
– Est il dangereux de faire une extrusion avec une luxation de l’ATM ?
Voilà ça fait beaucoup de questions, mais je suis complètement perdue.
Merci infiniment
Est-ce que les mâchoires peuvent reculer après extraction des dents de sagesses?
La réponse est: Non.
J’ai pris grand soin de tracer et calibrer le facteur d’agrandissement de votre radiographie céphalmétrique de 2016 avant l’extraction des dents de sagesse et celle de 2017 après leur extraction. J’ai ensuite utiliser la fonction du superposition du logiciel Quickceph Studio.
Je vous annonce que votre maxillaire n’a pas bougé d’un seul degré ou d’un seul mm suite aux extraction. La superposition des tracés démontrent une position identique de vos mâchoires sur ces 2 clichés pris à un an d’intervalle. Par contre il est vrai d’affirmer que votre maxillaire supérieur est rétrusif par rapport à la normale tel qu’indiqué par l’angle SNA = 78° alors que la normale est 82:. Votre mâchoire inférieure est aussi rétrusive tel que confirmé par l’angle SNB= 74° alors que la normale est 80°.
Voie aérienne
En ce qui concerne la différence de largeur des voies oropharyngée la différence s’explique par la position de votre tête lors de la prise de la radiographie.
Par contre, sur la radiographie prise en 2017, votre cou est bien droit tel qu’indiqué par le trait blanc. De ce fait, votre mâchoire est posturée plus postérieurement et les voies aériennes sont plus étroites.
Laquelle des 2 radiographie est fiable? C’est celle où vous avez le cou bien droit.
Il est donc vrai que vous avez un rétrécissement des voies aériennes sur la 2e radiographie, mais ce n’est pas dû à l’extraction des 3es molaires, mais plutôt à une posture normale de la tête en 2017 par rapport à une posture inclinée en 2016.
Ceci est en accord avec le diagnostic précédent où je confirme que vos 2 maxillaires sont rétrusifs, donc vos voies aériennes sont vraisemblablement réduites.
Dans un contexte d’apnée avérée, une chirurgie d’avancée bimaxillaire sera bénéfique pour vous.
Inclinaison molaire
Votre molaire qui semble basculée mésialement pourrait s’expliquer par le fait que vous avez eu une couronne sur la dent #15 et qu’on ne sais pas le temps écoulé entre le moment ou la dent était cariée et le moment de la restauration. Encore une fois, sans photo de comparaison avant après, on ne peut pas dire que ce n’était pas là avant.
En ce qui concerne la décompensation dentoalvéolaire, il est vraisemblable que c’est faisable sans extraction. L’orthodontiste qui vous prendra en charge saura comment faire.
Je pense que vous devez recourir aux services d’un bon orthodontiste pour votre planification orthochirurgie. Je vous recommande les services du Dr Éric Canonge à Alès.
Sachez que je prends un temps appréciable pour répondre à vos questions que personne ne semble prendre le temps de vous expliquer.
Bonjour Dr Chamberland,
Je dois être opérée pour une bimax mais il est également nécessaire d’élargir le maxillaire supérieur.
Je me demandais si une expansion palatine avec un appareil amovible était encore possible à l’âge adulte (30 ans et plus) et si oui, combien de temps cela peut-il prendre ?
Mon chirurgien pense pouvoir m’opérer sans faire de SARPE mais néanmoins, j’ai la mandibule déviée à gauche et « je ne me sens pas bien dans ma bouche » pour résumer.
Il pense qu’un élargissement est nécessaire mais veut m’épargner un traitement orthodontique, long et onéreux.
Est il toujours possible d’élargir le maxillaire après un Lefort 1 ?
Merci beaucoup
Cordialement
Premièrement, j’aimerais que vous utilisiez toujours le même pseudonyme. C’est plus facile pour moi de comprendre votre cas et de vous conseillez correctement. Ce n’est pas évident de faire le lein entre vos pseudonyme et votre identité facebook où vous m’avez contacter dernièrement. Je désire toutefois conservez votre anonymat.
J’observe la présence de la dent primaire #75 et l’absence congénitale de la dent #35 qui devrait être en dessous. Je note un traitement de canal et une obturation extensive de la dent 25. La dent 38 est incluse. L’extraction de cette dent doit être faite au moins 6 mois avant votre chirurgie.
Vos condyles sont de forme normale. Je ne vois pas de signe évident de résorption comme vous l’avez laisser entendre dans votre correspondance du 23 octobre dernier. Par contre, il n’est pas impossible que vous ayez une luxation discale réductible si je me fie aux symptômes que vous avez décrit.
Votre profil
Étant donné la brièveté de votre lèvre, il se peut qu’il soit normal dans votre cas que vous exposiez votre gencive lors de votre sourire. Je ne sais pas.
L’analyse du scan 3D démontre une proéminence relative de la dentition inférieure et supérieure. J’ai tracé une ligne (le plan A-Pg).
Le surplomb horizontal est peu marqué à cause des compensations dentoalvéolaires de camouflage.
La vue intraorale de gauche démontre la présence de la dent primaire #75, confirme la présence d’une couronne sur la dent #25 et la relation classe II molaire et canine (c’est le décalage entre les ligne jaune)
La vue 3 D de face ne démontre pas de problème de largeur de la mâchoire supérieure par rapport à la mâchoire inférieure
Impression et conduite:
Étant donné la possibilité d’apnée du sommeil (cf commentaire du 22 octobre 2017), je suis d’avis qu’une chirurgie bimaxaire est indiquée. Si vous êtes la même personne que ces photos, il y a peut être un problème de largeur du maxillaire, mais il ne serait pas justifié de faire une procédure d’EPRAC. Je pense que la larguer du maxillaire, si elle pose problème pourrait être corrigé lors du Le Fort 1 en partitionnant le maxillaire.
Comme l’object d’un traitement d’orthontie-chirurgie est d’obtenir une relation classe I, je pense qu’un traitement d’orthodontie est absolument nécessaire dans votre cas afin d’enlever les compensation dentaire.
Comme il y a proéminence de la dentition et que vous avez un traitement de canal sur une dent et une absence congénitale d’une autre, j’opterais vraisemblablement pour l’extraction des 2es prémolaires et de la dent primaire.
Je dis ceci sous toute réserve et mes suggestions ne peuvent être considérées ni utilisées comme un plan de traitement final.
Chose certaine, je déconseille un traitement chirurgical sans traitement d’orthodontie dans votre cas.
J’ajouterais que l’extraction des dents de sagesses que vous auriez subies à la fin de 2016 et lien 2 n’a rien à voir avec votre état actuel. Vous vous êtes inquiété pour rien.
En espérant que j’ai fait le tour du sujet et apporté quelques réponses.
Que c’est dommage qu’on ne puisse pas venir au Québec pour vous consulter directement ! Je parcours les messages de cette page depuis un bon moment, et c’est rassurant de voir que vous savez ce que vous faites, ce que vous dites, et que vous êtes si patient avec nous. On arrive plus a vous faire confiance et a communiquer avec vous (et le docteur Jules) qu’avec ceux qu’on consulte directement. Pouvez-vous venir en France ? 😀
Blague à part, je souhaiterais faire une genioplastie (menton fuyant), auriez-vous des noms de chirurgiens a me conseiller sur Toulouse ? J’ai un peu beaucoup peur de me lancer sur ça, apres tout ce que j’ai lu, mais il faut le faire !
Continuez comme ça, de nous donner du courage et d’etre la pour nous ! Un grand merci !
Je m’excuse de répondre si tardivement à votre message. Disons que j’ai pris un retard d’au moins 250 questions…
Merci pour vos bons mot concernant mon travail d’informations sur ce site.
Je connais quelques chirurgiens en France, mais aucun sur Toulouse. J’imagine que vous en avez trouvé un depuis novembre dernier.
Bonsoir ,
J ai porté un appareil dentaire il y a quelques années. J avais un décalage dentaire pour la mâchoire du haut et également celle du bas. Aujourd hui J ai l impression que ma mâchoire du bas est en biais de ce fait j ai l impression d être asymétrique du visage. Cela me complexe énormément.
J ai donc consulté un orthodontiste ainsi qu’ un chirurgien maxillo facial. Ils ont tous les deux le même avis : J ai une classe 1, Le port d un appareil engendrerait un désordre occlusale ,du coup chirurgie déconseillé.
Le chirurgien maxillo facial me propose une genioplastie et une lipostructure naso genien. J ai accepté de le faire mais le fait d être asymétrique du visage m effraie.
Que pensez vous de cette option lipostructure genioplastie avec une asymétrie?
Merci beaucoup j ai peur de me lancer je suis perdue
J’ai de la difficulté à comprendre les termes lipostructure naso génien. Est-ce une liposuccion? Naso génien? Naso c’est pour le nez et génien, c’est pour les apophyses génies où s,attache le génioglosse.
Il est possible de recenter un menton par une génioplastie de déplacement latéral, mais « lipostructure », ça ne me dit rien.
Bonjour docteur,merci d’avoir pris le temps de répondre. La lipostructure naso genienne constiste à prélever ma propre graisse , au niveau du ventre, pour l’injecter dans la zone naso genienne . La genioplastie pourra donc attenue le sentiment d’asymetérie que j’ai ?
Merci de l’info. Je ne suis pas familier avec les procédures de chirurgie cosmétique.
Si l’asymétrie est localisée au menton, alors oui une génioplastie peut aider, si c’est bien fait.
bonjour,
j’ai subit une genioplastie par osteotomie d’avancement le 17 juillet . Je suis donc à peu près à S+4 environ…
Je constate une asymétrie de ma lèvre inférieure ainsi qu’une perte du son volume.
j’ai fait une radio et j’ai l’impression que la découpe est légèrement asymétrique mais rien de méchant…
est ce que l’asymétrie de la lèvre est fréquente dans ce genre d’intervention? est ce que la découpe peu être parfois asymétrique car une symétrie parfaite est impossible?
merci d’avance Dr.
L’asymétrie de votre lèvre inférieure pourrait être reliée à une paresthésie sensitive ou une raideur de la région. La découpe est importante , certes, mais je n’ai pas eu ce genre de problème avec les chirurgiens qui ont fait des génioplasties pour mes patients.
Une découpe asymétrieu peut permettre une asymétrie squelettique initiale, mais si votre menton était symétrique au départ, il n’y a pas de raison de faire une découpe asymétrique.
Bonjour Docteur Chamberland,
Merci beaucoup pour votre réponse très rapide. En fait, ce chirurgien me propose une prothèse en titane sur mesure pour rattraper les 2 décrochés.
Encore un GRAND MERCI !!!
Bonjour Docteur Chamberland,
Ayant subi une opération orthognatique associée à une génioplastie d’avancement mandibulaire il y a 11 ans, (j’ai 47 ans aujourd’hui), de nombreux défauts au niveau du menton perdurent et se sont même accentués.
Lorsque je suis revenue quelques mois aprés l’opération pour un contrôle, le chirurgien et ses élèves avaient notifié des défauts, mais rien de plus. Il y a 2 décrochés de chaque côté de mon menton, 2 petits trous ; de plus le menton se détache du mandibule et il y a pleins de petits plis sur la peau du menton, notamment lorsque je m’exprime ou mange.
Cela me complexe de plus en plus. Un chirurgien maxillo-facial m’a expliqué que les 2 décrochés étaient une séquelle fréquente des mentoplasties osseuses surtout quand le trait de coupe a été réalisé court. Il me propose de placer une prothèse en titane pour combler ces dépressions.
Qu’en pensez-vous ?
Je vous remercie beaucoup pour votre réponse,
Bien cordialement.
Génioplastie chez l’adulte: remodelage osseux
Vous avez donc subi votre génioplastie à 36 ans. Un chirurgien maxillofacial vous a dit que le trait de coupe oblique avait probablement été très court.
L’avancée du menton crée une coche sur le rebord basillaire inférieur de la mandibule. Plus le trait de coupe est oblique et court, plus l’encoche est prononcée. Un trait de coupe plus long et parallèle vers le bord postérieur réduit l’amplitude de cette encoche.
De plus, j’ai démontré, dans mon étude sur les génioplastie, que le remodelage osseux du rebord inférieur de la mandibule est moindre chez l’adulte que chez l’adolescent en croissance. Voir Réponse du 6 mars 2016.
Enfin, si vous avez encore des pli cutanés en fermant vos lèvres, il se peut qu’il reste une incompétence labiale et que cela s’explique soir par une réduction verticale ou une avancée insuffisante ou les deux.
Je doute qu’une prothèse en titane règle vos problèmes.
Bonjour Dr Chamberland,
J’ai subit une ostéotomie d’avancement du menton (9 mm)il y a 1 mois.
Le problème est que depuis que je me suis réveillée suite à l’opération, ma lèvre inférieure a diminué de moitié…
Aujourd’hui l’oedeme est resorbé ou presque totalement, je n’ai plus de fils de cicatrice dans la bouche et celle-ci à l’air de bien cicatrisé cependant je comprends pas ce changement de lèvre aussi important. Le chirurgien que j’ai pu voir 2 semaines après l’opération m’assure que c’est la cicatrice qui a tiré sur la lèvre… mais est-ce que j’ai des chances que ma lèvre revienne un jour? Après 1 mois d’attente je n’ai aucune amélioration à ce niveau.
Tout ceci n’aide pas à me reconnaître…
Est-ce qu’un kiné pourrait m’aider?
Merci beaucoup pour votre aide, je ne sait plus quoi faire.
Diminution de moitié de la lèvre inférieure?
Dans quelle dimension? en hauteur? la largeur du vermillon?
Normalement, la lèvre inférieure se redresse après une génioplastie d’avancée. Il se peut que votre lèvre soit moins « éversée ».
Par contre la largeur du vermillon ne devrait pas avoir changée.
Merci beaucoup pour votre réponse et le temps accordé docteur.
Ma lèvre a beaucoup diminué en hauteur.
Je suis à 9 semaines post-op et toujours pas d’évolution.
Je masse beaucoup la cicatrice, j’ai même fait 3 séances avec un kiné mais toujours pas de changement.
J’ai peur que la ligne de ma lèvre disparaisse j’ai déjà dû mal à voir où elle était avant..
Je sais pas si je peux vous envoyer des photos avant/après
Le but d’une génioplastie est de réduire la hauteur d’un menton trop long et de créer une saillie à un mention fuyant.
Il me semble donc normale que la hauteur de la lèvre, si on mesure de sous le menton jusqu’à la commissure, soit réduite.
Vous pouvez envoyer des photos via la messagerie professionnelle facebook.com/drsylvainchamberland. Si vous m’envoyez des photos, cela signifie que vous acceptez que je les publie dans une réponse. Je crois que ce serait important pour la compréhension de nos lecteurs concernant votre souci. Je préserverai votre anonymat.
Bonjour, le 15 juin 2017 j’ai subi une EPRAC + extraction d’une dent de sagesse incluse. Le 21 juin, contrôle avec le chirurgien et les plaies sont belles, pas de signes d’infections. Cependant, depuis hier (24 juin au soir), je sens une dureté au niveau de ma gencive supérieure mais s’agit-il d’une raideur normale post-opératoire ou d’un début d’infection ? Donc, existe-t-il un document qui résumé les phases de guérison d’une telle chirurgie (ex: écoulement, enflure, raideur, durées approximatives des phases), parce que présentement je n’ai aucun guide qui me permet d’évaluer si ma guérison suit son processus normal ou non et quels sont les signes que je devrais surveiller.
Je n’ai pas de guide concernant l’évolution de la guérison. Si vous avez subi une EPRAC le 15 juin, normalement vous êtes supposé de revoir votre orthodontiste 7 jours plus tard, soit le 22 juin, afin qu’il vous disent comment et à quel rythme activer. Il est en mesure de voir si votre guérison est normale et s’il y a quelques choses qui cloche ou non.
S’il y avait infection, vous auriez aussi de la douleur, vraisemblablement.
Bonjour Docteur Chamberland,
J’ai 38 ans et je vais devoir à terme faire avancer ma maxillaire supérieure (après un traitement orthodontique). Mais une chose m’inquiète. Va-t-on devoir solidariser mes dents juste après l’intervention (me « fermer » la bouche) ?
Bien à vous,
Rebecca
Vous serez immobilisé avec des élastiques que vous pourrez retirer pour vous alimenter.
Merci pour votre réponse Docteur Chamberland. J’ai une autre question : me sera-t-il possible de dormir sur le côté ou est-ce trop risqué ?
Bien à vous,
Rebecca
Vous pourrez dormir sur le côté si ce n’est pas trop douloureux, mais j’aurais tendance à privilégier le sommeil sur le dos.
Merci pour vos réponses !
Bonjour Docteur,
Effectuer une rhinoseptoplastie environ 3 a 4 semaines apres une ablation des dents de sagesse représente t’elle un risque ?
Cordialement,
Je crois que ce sont 2 procédures différentes. Si vous n’avez eu aucune complication suite à l’extraction de vos dents de sagesse, il ne devrait pas avoir de risque pour votre rhinoseptoplastie.
Par contre, si une infection survient à un de vos site d’extraction, il me semble avisé de ne pas subir une autre chirurgie tant que votre infection n’est pas guérie.
merci pour vos réponses .
Je viens de prendre rdv avec le dit médecin , j ‘espère qu il règlera mon problème . vous promet de vous tenir au courant .
Lilou
Bonjour
Damien , sandra ou mimi ont elles répondu après avoir vu le chirurgien de la Salpétrière ..j ai parcouru les messages mais pas vu si leur problème avait été solutionné
Je sais que Sandra n’a plus aucun problème. J’ai su qu’elle avait eu un enfant et qu’elle menait une vie heureuse. J’ai su que Damien avait résolu sont problème. Je me rappelle moins de mimi, mais je crois qu’elle est correcte aussi. Je ne sais pas si elle vont voir votre question et je suis hésitant à communiquer directement avec eux car ils sont probablement passé à « autres choses » comme vous le dîtes. Je vous souhaite bonne chance dans vos démarches.
Bonjour Monsieur Chamberland,
J’ai effectue une sorte de radio de ma mâchoire j’aimerais vous la transmettre pour avoir votre expertise, serait il possible d’avoir votre email ?
Je vous remercie en avance pour votre temps,
Bien cordialement
Vous pouvez la transmettre via ma page Facebook professionnelle. Si vous L’envoyer, cela signifie que vous acceptez que votre radiographie et votre question soit publiée. Soyez précis.
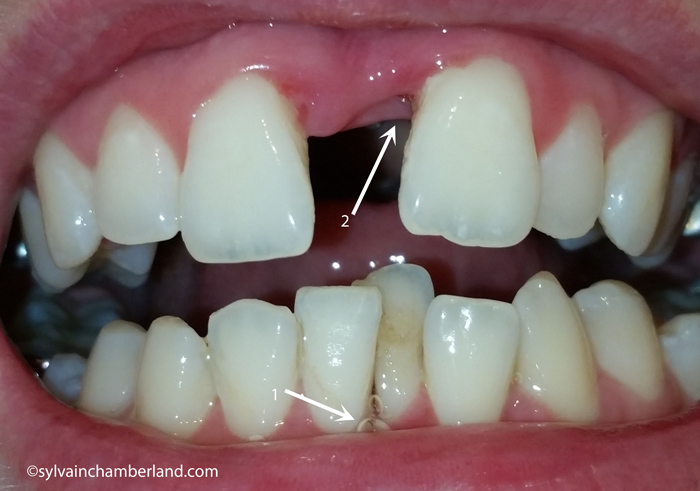
Suivi du traitement de Jennyfer
Votre chirurgie ayant eu lieu le 6 novembre 2015 et ayant terminé les activations le 1er décembre 2015, nous en sommes donc à 3 mois après l’arrêt de la distraction.
Ce délai est suffisant pour avoir une réossification des sites de distraction. Les flèches identifiées par #1 indiquent une bonne ossification du site de distraction mandibulaire et je suis agréablement surpris de voir que c’est réossifié même entre les 2 incisives inférieures. Tant mieux pour vous. La flèche #2 indique un écart au niveau du bord basilaire de la mandibule, ce n’est peut-être pas idéal, mais je crois que c’est un problème mineur, car c’est loin des dents et il est vraisemblable que le remodelage à venir va permettre un comblement.
Je n’aime pas les sites indiqués par les flèches 3 et 4. En principe, si on peut observer une réossification à la mandibule, on devrait en observer une entre les 2 incisives supérieures et au niveau du plancher palatin et au-dessus des racines des incisives. Or ce n’est pas le cas.
Cette autre photo à droite présente une guérison inachevée entre les incisives supérieures. La flèche 1 indique une possible récession de gencive entre les incisives centrales inférieures.
La flèche #2 indique une cavité au mésial de l’incisive centrale supérieure gauche qui correspond à la flèche #3 sur la radiographie panoramique. La flèche #2 sur la photo et la flèche #3 sur la radio confirme l’absence d’ossification au mésial de l’incisive. Je serais curieux de savoir s’il y a un attachement du ligament ou s’il y a une poche profonde. Je gagerais sur une poche profonde. Cela n’est pas de bon augure. Je souhaite que tout entre dans l’ordre pour vous. Il me semble évident qu’il y a eu une fracture asymétrique du septum interincisif supérieur où tout l’os est demeuré sur la dent de droite et aucun sur la dent de gauche. J’avoue craindre pour votre incisive supérieure gauche. Des soins particuliers seront nécessaires pour obtenir une guérison osseuse entre les 2 incisives.
.
Je vous remercie.
Qu’est-ce que cela fait si l’os n’est pas calcifié au niveau du palais ?
Quand vous dites « Des soins particuliers seront nécessaires pour obtenir une guérison osseuse entre les 2 incisives. » de quel soins parlez vous ? Que faut-il faire ?
Vous avez probablement une guérison fibreuse, ce qui signifie qu’il n’y a pas d’os. C’est ce que je veut dire par « os pas calcifié ».
Les soins particuliers pourraient être une réouverture du site, un débridement du tissu fibreux et une greffe d’os allogène.
Votre question remonte au 29 février. Comment çà va maintenant. Est-ce que votre chirurgien vous a proposé quelques choses?
Bonjour,
J’ai fait ma première radio hier.
Je me permets de vous l’envoyer afin d’avoir votre avis.
( j’ai entouré plusieurs zones pour lesquelles j’aimerais particulièrement avoir votre avis ).
Cordialement
Les zones encerclées en rouge indiquent de légers défauts osseux verticaux mais ne devraient pas être problématiques et ne sont pas causées par l’expansion. La seule façon de déterminer si cela est causé par le traitement serait de comparer le tout à une radiographie panoramique similaire prise avant le traitement.
Bonjour,
Debut janvier j’ai eu une perte osseuse entre mes incisives du bas ce qui a causé un trou sur ma gencive. Avant hier mon chirurgien m’a fait un approfondissement vestibulaire pour éviter que ma lèvre tire sur ma gencive et permettre au trou de se refermer.
Il fera un comblement qu’en la dent sera remise en place.
Je souhaite que vous ayez obtenu une bonne guérison du site entre les incisives inférieures. Quel type de comblement fera-t-il? Greffe osseuse?
Bonjour Docteur Chamberland,
Je suis rétrognathe, j’ai 22 ans, j’ai longtemps subi des moqueries et des méchancetés,je me suis tourné vers la chirurgie maxillo-faciale pour y mettre fin.
J’ai eu une génioplastie en juillet 2014, à Lille, le travail était impeccable et la récupération rapide. En revanche, l’aspect extérieur, s’il s’était nettement amélioré, laissait à désirer, et j’ai continué à subir les moqueries,les rires et le regard des gens.
En mars 2015, j’ai commencé un traitement orthodontie en vue d’une ostéotomie mandibulaire. Le résultat s’annonçait excellent quand j’avançais la mâchoire.
Tout se passait bien, jusqu’à ce que mon menton opéré perde du relief, cet été, et il n’a cessé d’en perdre depuis.Je ne sais pas à quoi c’est dû. De face, c’est pire qu’avant la génioplastie, j’ai même perdu en hauteur, et de profil,c’est à peine mieux. Le problème est que je dois me faire opérer en mai et que le chirurgien, à qui je n’avais pas parlé de cette perte de relief, veut me faire une autre génioplastie.
Je crois que si j’ai perdu l’os déplacé la première fois, il n’y en aura plus assez et je ne retrouverai pas mon visage d’avant cet été.
Je ne sais pas ce qu’il faut faire: implant? greffe?
Je pense que vous avez commencé par la fin. Je veux dire qu’il aurait fallu débuté par un traitement d’orthodontie en 2014 et non par une génioplastie.
Le traitement d’orthodontie enlève les compensation dentaires lorsque présentes, ce qui peut changer la position des incisives, de la lèvre inférieures et de la position relative du menton.
Il est vraisemblable qu’une autre génioplastie soit nécessaire pour rétablir une harmonie entre la lèvre et le menton. Mais il est possible que votre cas nécessitait des extractions de prémolaires, que lors de l’alignement, les incisives inférieures ont proclinées et que cela a affecté négativement la relation nez-lèvres menton.
Je ne peux pas vous dire ce que vous avez besoin précisément, mais je constate qu’il y a vraisemblablement un problème de planification de l’orthodontiste, du chirurgien ou des deux.
Bonjour,
Je me suit faite opéré le 6 Novembre pour une expansion palatine haut + bas.
Lors des activations j’ai un trou qui c’est formé dans la gencive au niveau de l’écart des dents (en haut et en bas), j’aimerais savoir comment ces trous vont se refermer ?
J’ai aussi toujours le nez sensible, est-ce normal ? Et au bout de combien de temps peut-on enfin se remoucher normalement? (D’après se que j’ai cru comprendre je ne peux pas me moucher tant que mon trou au palais n’est pas refermé).
Et pour terminer j’ai des douleurs sur certaines dents mais surtout a une du bas qui est décalé vers l’avant (j’ai deux dents décalés, une vers l’avant et l’autre vers l’arrière, d’où l’élargissement du bas pour le donner la place), cette douleur s’étant a la mâchoire dans cette zone et me gène pour essayer de remanger normalement, vais-je garder cette douleur encore longtemps, ou elle devrait s’atténuer ?
D’avance merci du temps accordé.
Un trou dans la gencive est plutôt inhabituel, cela me fait penser à une déchirure de la muqueuse palatine. Cela s’appelle une fistule orosinusale. Il faudra vraisemblablement une chirurgie pour refermer cet orifice. De combien de mm avez-vous activé votre appareil et à quel rythme?
La douleur à vos dents devrait s’atténuer dans les jours qui suivront l’arrêt d’expansion.
Bonjour,
Je faisais 2tours (2 1/4) en haut et 1 en bas et ce pendant 2semaines.
D’après mon chirurgien et 2 orthodontistes que j’ai vu ces « trou » dans mes gencives sont normaux. Celui du haut ne fait pas tout l’espace entre les deux dents donc je suppose que quand les dents reprendrons leurs places il disparaîtra. Mais celui du bas c’est surement créé car à l’origine les 2 dents étaient « collé » l’une à l’autre (ce sont les fameuses dents décalés) et avec l’écart entre elles ont peut voir qu’elles sont déformés tellement elles étaient collé….Donc là je n’ai pas de gencive du tout !
L’espace créé entre les 2 dents supérieures sera refermé orthodontiquement. L’espace créé entre la canine inférieure droite et l’incisive centrale gauche permettra l’ajout d’un implant pour les 2 incisives manquantes.
Bonjour,
Non il ne s’agit pas de l’espace entre les dents (ca je sais que c’est normal) mais belle est bien de la gencive, en gros ma gencive s’est « creusé ».
Je vous envoie une photo sur votre courriel.
Wow!
Je fais de l’EPRAC depuis 1998 et de la distraction mandibulaire depuis 2001 et je n’avais encore jamais vu ce genre de complication bien que ce soit rapporté dans la littérature.
Au maxillaire, il s’agit bel et bien d’une fistule de la muqueuse palatine (flèche #1) qui communique vraisemblablement avec le trou près de l’incisive supérieure gauche indiquée par la flèche #2. La racine de la dent est exposée ce qui signifie qu’il y a eu fracture et possiblement perte du septum interdentaire.
Je crois qu’il y a eu trauma chirurgical lors de la manipulation de l’ostéotome et le septum a pu être fracturé et la muqueuse palatine lacérée.
À la mandibule, le trou indiqué par la flèche #3 démontre une exposition radiculaire compatible avec une perte du septum interdentaire. Je peux facilement imaginer qu’il y avait une proximité radiculaire des 2 incisives. Il aurait été plus prudent de faire la séparation entre l’incisive latérale et la canine. C’est la technique que nous privilégions dans les cas de proximité.
Je souhaite une bonne guérison, mais il y aura vraisemblablement des séquelles permanentes comme la perte de papille interdentaire et une récession gingivale.
Pour plus d’information, consulter le Keynote Distraction mandibulaire symphysaire et le clip de la chirurgie Mandibular symphyseal distraction.
Le cas qui est montré à la diapo #10 a eu une perte de septum sur l’incisive inférieure gauche. Cela ressemble à votre cas.
Je suis plutôt surpris que votre orthodontiste et votre chirurgien ait pris votre situation à la légère.
C’est certain que vous ne devez pas moucher votre nez tant que la fistule n’est pas guérie.
Jennyfer,
Est-ce que vous avez fumé après l’opération et durant la période de distraction?
Je suis non fumeuse
Avez-vous eu une amélioration de votre situation?
Comment votre orthodontiste et votre chirurgien ont-ils géré votre problème?
Bonjour,
Je vous remercie pour le temps que vous consacrez pour repondre aux multiples demandes.
ma question est : est ce que le maxillaire peut etre reculé sachant que les dents semboitent presque parfaitement (une petite deviation de de la maxillaire vers la gauche a environ 2-3mm). Est il possible de faire reculer la machoire sup sans chir ? Sachant que si cela est possible c1ça doit etre accompagné dun recule de la machoir inf (ou des dents).
j’espère que mon message est claire Docteur.
Merci bcp par avance
Votre message n’est pas très clair, mais disons que si vous voulez reculer vos maxillaire, c’est probablement parce que vous trouvé vos dents trop avancées. Dans un tel cas, il est plus simple de procéder à l’extraction de 4 prémolaires et de rétracter les incisives plutôt que de reculer le maxillaire chirurgicalement, ce qui n’est à peu près pas possible techniquement, car il faut de la place pour reculer une mâchoire et il n’y a pas de place en arrière d’un maxillaire supérieur.
Bonjour,
Merci pour votre réponse.
Je présume que si mon orthodontiste ne m’a pas orienté vers la chirurgie orthognatique c’est probablement parce qu’il a estimé que mon décalage mandibulaire n’était pas assez important pour justifier une telle intervention.J’ai eu recours à des facettes chez un autre dentiste pour camoufler un peu plus cette obliquité disgrâcieuse mais je le regrette maintenant , car s’il y a un mieux , c’est loin d’être parfait.Puis-je vous montrer des photos et des radios pour que vous puissiez me donner un avis sur ce qu’il serait encore possible de faire ?
Vous pouvez envoyer des photos à drsylchamberland@videotron.ca
Prenez note que si vous le faites, vous acceptez de facto que je peux les publier.
Votre traitement d’ortho vous apportera toujours des déceptions si vous ne visez pas un traitement optimal, voire parfait.
Bonjour,
J’avais une question en rapport avec la chirurgie orthognatique . J’ai eu recours à un traitement orthodontique et à la pose de facettes pour camoufler une dysharmonie entre les mâchoires et l’obliquité des dents. Ces corrections artificielles empêchent -elles le recours à une chirurgie orthognatique? (à cause du problème d’occlusion que cela pourrait éventuellement générer) . Apparemment il y a eu un manque de communication entre mon orthodontiste et moi car j’aurais dû faire de la chirurgie d’entrée de jeu.Merci pour vos éclaircissements.
Je ne comprends pas pourquoi votre orthodontiste n’a pas incorporé le traitement de chirurgie orthognathique dans son plan de traitement orthodontique ni pourquoi il a utilisé des facettes pour camoufler la disharmonie entre les mâchoires et l’obliquité de vos dents alors que c’est sont travail de mettre les dents droites et parallèles.
Bonjour,
j’ai normalement posté un commentaire mais je le vois nulpart.
Voici ce que je disais :
j’ai subit une osbm (avance mandibule + genio pour re-axé le menton) il y a plus de 4 mois sur paris.
Cependant, je sens que j’ai toujours un leger gonflemment (comme l’impression au niveau des plaques) creant une asymetrie qui se voit de trois quart.
il faut savoir que j’ai le visage de nature tres fin, (forme de fraise) mais depuis l’opération (avec l’oedem etc) il s’est un peu élargie mais je sens que ça reste du gonflement.
Merci de votre réponse.
Il est clair que J’aimerais retrouvé mon ovale du moins etre un peu plus « large » ne me deplait pas mais etre asymetrique me dérange.
j’ai d’un coté le bas de la joue encore gonflé, et un petit peu mon menton. J’ai lu que certaines personne dégonfle moins vite que d’autre mais j’ai peur de rester comme ça.
j’en ai parlé à mon chirurgien je le vois fin mai. je me dis qu’il faut peut etre retirer les plaques ?
De plus, depuis l’operation j’ai eu une poussé de bouton, qui a été très progressive. Elle a commencé vers la mandibule puis s’est generalisé. j’en ai également parlé à mon chir. qui m’a dit que cela pouvait arriver et qu’il faut laisser du temps au corps.
Moi qui aies subi cette opéaration pour des raison fonctionnelles j’en arrive à la regretter.
Bonjour Nini,
Je ne suis pas toujours devant mon ordinateur à répondre instantanément aux questions qui me sont posées. J’ai un « back log » d’une dizaine de questions dont je n’ai pas encore eu le temps de répondre et qui datent de plus d’une semaine. Vous m’avez posé votre question hier. Je vous réponds de l’aéroport de Newark, car je suis en attente pour mon vol de retour sur Québec. La patience est une vertue…
Pour répondre à votre question, il peut s’écouler jusqu’à 6 mois avant que tout l’oedème disparaisse suite à une chirurgie orthognathique.
De plus, le fait d’avancer la mandibule et le menton peut changer la forme du visage en vue de face et cela change certainement en vue de profil. L’avancée mandibulaire change la position relative des angles goniaques, ce pourrait expliquer le changement de la forme de fraise que vous décrivez en une autre forme. Mais ce n’est qu’une tentative d’explication.
En ce qui concerne la poussée de bouton, je ne crois pas que cela ait un rapport, à moins que vous n’ayez pris des médicaments qui pourraient provoquer un tel effet secondaire.
Bonjour et merci pour votre reponse rapide.
Je pensais que le resultat definitive etait au bout de 3-4 mois mais je pense que je vais laisser le temps au temps. Ma forme de visage n’a pas vraiment change un peu plus large de la machoir mais disons que c’est l’asymetrie qui me gene.
Pour la pousse de boutons jai lu les meme symptome sur un forul de femme ayant subi la meme operations. Avant l’operation je n’avais pas de peau acneique c’est ca le probleme et maintenant je me retrouve avec une peau d’ado (j’ai 25 ans).
Pour les medicaments j’avais pris durant les dix premier jours post op des antibio, de l’efferalgan (a petite dose car je supporte la douleur) et du un medicament 4 jours pour l’oedem. Donc je ne pense pas que ca soit les mediacements.
Ma dermato m’avait file des antibio pour l’acné mais sans succes, alors on a stoppé les antibio. Elle a l’air perdue (faudrait peut etre que je change de dermato plutot que de la payé pour rien).
En tout les cas depuis ma conva’ ma peau est devenue merdique. !!!
Et je pense que si j’avais su cela, cela m’aurait plus freiner que tous les autres inconvenients que j’ai bien mieux supporter.
bonjour, merci pour votre réponse, je pensais que ma réponse était envoyée elle est resté en mode non envoyée.
pour la forme de visage en fait, ce qui me dérange c’est que je suis asymétrique (un coté plus marqué que l’autre), comme le coté droit est encore gonflé au niveau des plaques est ce un rejet des plaques??
Pour la poussé de boutons, je n’ai pris aucun médicaments à effet secondaire, ni pilule. Depuis ma convalescence j’ai de l’acné / boutons qui y ressemblent et qui persistent depuis maintenant 5 mois… pourtant mon mode de vie est beaucoup plus sain qu’avant si ce n’est le moral en baisse.
Bien cordialement.
Je doute que les plaques puissent expliquer une asymétrie du côté droit. S’il s’agissait d’un rejet ou d’une infection cela se serait produit avant, dans les premières 4 à 8 semaines post chirurgie. Je ne peux pas expliquer ou trouver une cause à votre problème sans vous avoir examiné au minimum voir une photo. Qu’en dit votre chirurgien?
En ce qui concerne vos boutons et votre acné, je vous recommande de consulter un dermatologue.
Docteur, permettez moi de vous faire parvenir ces photos.
Je suis sous traitement orthodontique depuis 12 mois, ce n’est que maintenant que je me rends compte de ce gros problème, j’en ai parlé à mon orthodontiste qui ne l’avait pas remarqué aussi d’après son expression faciale, mais aucune réponse de sa part…Qu’est ce que c’est? Qu’en pensez vous? Est ce osseux, maxillaire ou autre? Je suis perdu! Merci de m’aider…
Bonsoir Sabrina,
Je ne comprends pas bien la nature de votre problème. Vous pouvez envoyez des photos via la page FaceBook professionnelle facebook.com/drsylvainchamberland
Quand je recevrai vos photos, je pourrai vous répondre. Votre photo sera publiée et votre anonymat sera préservé.
Bonjour Docteur,
Je me suis faite opérée des deux mâchoires + génioplastie, par un chirurgien très réputé de ma région en france, étant prognathe il y a 25 jours. l’opération a duré plus de 4 heures. J’ai bien gonflée des lèvres et du menton mais j’ai déjà pas mal dégonflée. Je commence à manger normalement bien que je n’arrive pas à ouvrir grand la bouche (- de 2 doigts).Mon problème est que lorsque je ferme en forçant les lèvres, celle du haut dérive vers la gauche.j’arrive pas à la faire dériver vers la droite. Donc quand je mange, elle est de travers ! est-e que ce n’est qu’une question de temps?
Ensuite, j’ai des douleurs vives,de derrière mon crâne jusqu’à l’oreille gauche, qui apparaît de temps à autre. Est-ce normal?
Je n’ai pas encore les radiographies pour vous montrer.
Si vous pouvez me rassurer sur ces deux choses.
Je vous en remercie
Il est normal que votre coordination musculaire ne soit pas bien rétablie après seulement 25 jours. Vous pouvez commencer des exercices comme ceux décrits au lien suivant (commentaire du 3 mars 2015).
Continuez de pratiquer les mouvements de dérive des lèvres. C’est la meilleure façon de récupérer la fonction des muscles.
En ce qui concerne vos douleurs, je vous suggère d’en parler à votre chirurgien.
Bon rétablissement.
Bonjour, je voudrais vous soumettre mon cas ,
j’ai subi une genioplastie il a 6 mois maintenant et je ne sais pas vraiment ce qui c passé.
j’ai subi cette genio pr remonter un peu lèvre qui tombe au repos et cet aspect cellulite et pourr atténuer un l effet de la bi pro alvélolie le tt en remontant juste un peu le menton de 4mm d après le chirurgien mais j’ai l impression que c bcp plus.
Aujourd’hui je me retrouve avec ma bouche rétréci mes lèvres on disparu il me reste 1/4 du départ j avais de grande lèvre très bombé et rouge naturellement et maintenant elle sont toute fripé et violacé c très dur pr moi et le muscle et resté un en bas
j’ai une grosse masse en bas du visage un creux sous ma levre inferoeur(c ce qu on appelle le menton de sorcère witch chon deformity) ma bouche est rétréci
j’ai la bouche qui part un peu sur le coté du fait qu il y ai un coté plus haut que l autre et mon occlusion a changé aussi et ces derniers jour au réveil j’ai tout mon visage qui me tire vers le bas j’ai une narine du coté droit du commence a pencher ainsi que ma paupière du même coté
je vous précise que d après moi le chirurgien a suture bcp trop haut comparé a l espace que j avais au départ car j avais un profond espace un niveau de la gencive inférieur quand il a suturé il remonté trop haut il me manque une partie de les lèvres et pour le coup elle ne retombe plus du tout
elle sont plaqué maintenant!
je voulais savoir si pouvez faire quelque chose pour moi
mon chirurgien ma proposé de remonter le muscle je n’ ai plus confiance en lui et me dit que la suture sera beaucoup plus haute surtout que j’aimais beaucoup mais vraiment beaucoup mes lèvres je pensais même pas que cela puisse arriver et cela a même modifié mon sourire on voit beaucoup mes dent du bas.
j aimerais me faire réopérer mais ne pas passer par voie buccale j’ai trop peur pour mes lèvres.
Qu en pensez sachant que sur les radio on ne voit pas les tissus mous et sur les photos on ne voit pas non plus le volme de mes lèvres.c risqué de se faire remonté le muscle?
un chirugien me dit que très technique et ils refuse tous de le faire et mon chir prends cela a la legere il compare les photos avant après et me que je suis très belle comme ça ensuite que j’ai moins de cernes sur cette photo…
il evite le sujet et ne m explique pas ce qui c produit et me dit de faire des radios et revenir plus tard mais le pb n est pas osseux
Bonjour Camille,
J’ai beaucoup hésité à publier votre question. Je suis attristé de ce qui vous arrive, mais çà ne corresponds tellement pas à la réalité de mes patients qui ont subi une génioplastie que je m’interroge sur la compétence et la formation du chirurgien qui vous a opéré.
Était-ce un vrai chirurgien buccal certifié ou un stomatologue qui fait une pratique réservée à la chirurgie orthognathique? Ou était-ce plutôt un chirurgien plastique?
Je ne recommande pas le déplacement du muscle et je vous suggère fortement de consulter un autre chirurgien.
Je vous souhaite bonne chance dans vos démarches.
Bonjour Docteur,
J’ai eu une génioplastie d’allongement il y a 4 mois.
Mon menton a été coupé et allongé. J’ai depuis deux petites bosses sur les côtés droit et gauche de mon menton. La bosse à gauche est d’ailleurs plus grosse que celle de droite.
Mon chirurgien m’a expliqué que ces bosses étaient inévitables car causées par l’allongement (forcement le menton est replacé plus bas et donc en léger décalage avec l’os de la machoire du bas …).
Mon chirurgien m’a opéré une seconde fois pour enlever les plaques et limer ces deux bosses. Cependant je constate qu’elles sont toujours bien là (légèrement moins importantes)…
Ces bosses sont elles définitives et irrémédiables ?
Merci pour votre aide
Génioplastie d’allongement
À gauche, c’est la radiographie. À droite, c’est le visage de la patiente.
Les flèches blanches indiquent la distance d’allongement de la symphyse. Il y a eu une excellente guérison osseuse sur une période de 7 mois et il n’y a pas de bosse ou de creux.
Par contre, il n’est pas impossible que vous fassiez allusion à une bosse ressentie sur le rebord inférieur de la mâchoire de chaque côté et non en avant.
Chez les adultes, cette coche s’amenuise, mais ne disparait pas à la sensation du toucher. Par contre, cela ne devrait pas être apparent à l’oeil.
Je vous recommande de consulter le Keynote sur les génioplasties diapos 71 et 92 à 95.
.
Bonjour Docteur,
Merci beaucoup pour votre réponse !
Je parlais effectivement bien de la (les) coche(s) entre la mâchoire inférieure et le début du menton (puisque celui ci a été replacé plus bas).
Pour le moment après 4 mois d’opération, la coche de gauche est visible à l’oeil nu alors que celle de droite non ce qui est étrange. Cela fait une sorte de marche d’escalier. Vos propos me rassurent car mon médecin m’a aussi confirmé que ces coches s’amenuiseraient au fil du temps !
J’avoue avoir un peu de mal à comprendre pourquoi la coche à gauche du menton est beaucoup plus visible que celle de droite. Peut-être est ce à cause de la coupe ?
Un grand merci pour votre aide,
Bonne semaine !
Remodelage osseux après génioplastie
La série de radiographies démontre une génioplastie de réduction verticale et d’avancement.. La radiographie de gauche est prise 4 semaines post chirurgie. La flèche blanche indique le point distal de la coupe osseuse. La pointe du menton est avancée vers l’avant et fixée par ostéosynthèse. La radiographie du centre montre le remodelage osseux 2 ans après la chirurgie. Les angles aigus sont émoussés suite au remodelage. Il y a eu apposition d’os au niveau antérieur par-dessus les fils d’ostéosynthèse.
Malgré que le remodelage osseux n’ait pas permis de faire disparaître le step entre la partie sous mandibulaire et le segment osseux avancé, il n’y a pas de déformation visible du visage comme le démontre la photo de cette patiente 1 mois post op.
Pour en revenir à votre cas, il faudrait savoir si l’avancement du menton a été fait correctement. Une internaute a eu ce genre de problème veuillez lire l’histoire de Sandra.
Vous pouvez voir un de mes cas d’augmentation verticale du menton en suivant ce lien publié le 3 janvier 2013.
Hello
Anyone speak english ?
I’m not from France. I have overlooked zygomatic fracture and I’m looking for very skilled surgeon who may have very good experience with cheekbone osteotomies. This surgery is rare. 🙁 Do you know such in France ? Please answer. It’s very important
Google Translator:
Je ne suis pas de la France. Je ai négligé fracture zygomatique et je suis à la recherche chirurgien très qualifié qui peut avoir une très bonne expérience avec ostéotomies pommette. Cette chirurgie est rare. 🙁 Connaissez-vous par exemple en France? Se il vous plaît répondre. Il est très important
In Paris, there is Dr André Chainé Hôpital de la Pitié Salpêtrière.
In Bruges, I would recommend Prof Swennen, General hospital St-Jan Bruges
I hope that help.
Bonjour
je suis rétrognate classe 2 div 2 ( rétro mandibule de 7 mm) avec un menton un peu fort !!! cela fait 10 mois que je suis un traitement ortho chirurgical seul problème c’est que j’ai tellement peur que le chirurgien n’ose plus m’opéré et du coup il me propose un compromis en collaboration avec mon ortho biensur : extraire quelques dents 3 me semble t il !!! Réaligné mes dents du bas vu que les supérieur sont déja réalignées par contre je resterais avec mon écart de 7 mm et il faudra également que je porte des contention a vie !!! que pensez vous de cette ultimatum ??? est ce résonable comme solution ???
Merci par avance
Je pense que votre peur vous empêche d’être raisonnable. Vous êtes en train de laisser vos émotions prendre une décision. Je ne vois pas comment l’extraction de 3 dents pourra vous permettre d’obtenir un résultat acceptable. Chez un patient de classe II div 2, il faut généralement éviter des extractions à l’arcade inférieure.
Je ne comprends pas pourquoi vous accepteriez de terminer votre traitement d’orthodontie avec un écart de 7 mm entre les dents du haut et du bas. Çà n’a pas d’allure et ce ne sera jamais stable.
Si vous ne voulez pas avoir de chirurgie et allez jusqu’au bout du traitement idéal dans lequel vous vous étiez engagée, je vous recommande de faire déposer vos appareils fixes sans procéder à aucune extraction et sans rétention afin de laisser tout récidiver.
Vous reprendrez votre traitement d’ortho quand vous serez mure et raisonnable.
bonjour Docteur,
Je souhaiterais avoir votre conseil ou avis sur la toxine Botulique.
Je vous résume mon situation : j’ai reçu un uppercut sur la mâchoire en 2003, côté droit, tout bêtement en dansant. Sans faire exprès mon partenaire m’a fait quasiment tombé dans les pommes tellement le choc était violent. J’ai fait dés le lendemain une radio qui n’a rien révélé. Donc tout allait bien.
Simplement les mois qui ont suivi j’ai commencé à souffrir de la mâchoire, et avec les années la douleur s’est accentuée, à savoir tous les jours. La douleur commence en fin de matinée jusqu’au soir. La souffrance est telle que je dois aller m’allonger. Cette douleur part du coté droit principalement mais parfois aussi à gauche. Elle se transforme en fin de journée en migraine terrible.
J’ai donc pris pendant des années des anti-inflammatoires et triptan chaque jour.
J’ai suivi aussi des traitements neurologiques qui n’ont marché qu’un temps. J’ai fait faire 3 gouttières différentes, (on m’a dit que j’avais une légère déviation, mais rien d’important). 2 paires de gouttière de chaque coté et une gouttière sur toutes les dents du bas.
Résultat insatisfaisant.
J’ai fait un scanner crânien où rien n’est apparu et tant mieux. On ne m’a jamais fait de scanner ou Irm des maxillaires en revanche.
Est-ce que vous pensez que ça pourrait donner une piste?
J’ai vu sur Toulouse 2 chirurgiens qui affirment que c’est bien le muscle masseter qui est enflammé et la seule solution serait la toxine botulique à injecter tous les 4-6 mois.
Je redoute vraiment ce traitement, j’ai du mal à me lancer là dedans, je résiste depuis des années, mais est-ce vraiment la seule solution?
Qu’en pensez vous?
Merci pour votre réponse car je n’ai plus de solution que celle de prendre des médicaments chaque jour.
Est-ce qu’on a assez de recul sur le botulique aujourd’hui? Les effets secondaires?
Merci de l’attention que vous porterez à mon mail.
Isabelle (42 ans)
Bonsoir Isabelle,
J’ai mis du temps à vous répondre, car j’ai dû faire quelques recherches n’étant pas un expert en Botox.
Premièrement, votre uppercut sur la mâchoire remontre à plus de 10 ans. Je ne suis pas convaincu que vos symptômes douloureux peuvent s’expliquer par ce coup, aussi fort pouvait-il être.
Je ne suis pas surpris de lire que vos gouttières occlusales se sont avérées inefficaces et inutiles.
Pour répondre à votre question à propos de la toxine botulique, il a été démontré que cette toxine est efficace chez les patients ayant de la dystonie musculaire (contraction musculaire excessive ou parafonction de type serrement). Dans un essai clinique randomisé, les patients ayant reçu la toxine ont senti une amélioration significative comparativement aux patients ayant reçu un placebo. Autrement dit, il y a 2 fois plus de patients soulagés avec du botox que ceux qui ont reçu le placebo.
L’injection intramusculaire dans le muscle affecté est efficace pour 10 à 24 semaines. Après plusieurs injections, la dystonie sera apaisée pour une période de plus en plus longue, probablement à cause d’une atrophie du muscle affecté. La dose de toxine est dépendante de la grosseur du muscle affecté (habituellement 5 à 50 unités).
La toxine doit être utilisée avec soin, car il est possible que la solution diffuse au-delà du site injecté.
J’ai au moins une patiente qui avait des épisodes de parafonction de type serrement grave et qui a reçu plusieurs injections échelonnées sur une période de 2-3 ans. Elle a fini par avoir du soulagement.
Mon collègue chirurgien buccal, Dr Carl Bouchard de la clinique Maxillo Québec, a lu votre question.
Il répond ceci: » Il n’y a rien de mal à essayer. Les réactions à ce médicament sont rares, mais pas impossibles. Cependant, face à une douleur chronique de la sorte, il est peu probable qu’une simple injection élimine complètement la douleur. Un traitement médical à l’aide d’anticonvulsivant (Gapapentin, Pregabalin) ou d’antidépresseurs (Amitriptyline) serait à considérer. »
Voilà madame Isabelle, j’espère avoir ainsi apporté des éléments de réponses.
Bonjour Docteur, Je vous remercie pour votre recherche et votre réponse. C’est admirable ce que vous faites.
Je pense avoir en effet une réelle contraction musculaire des 2 mâchoires (j’ignore vraiment pourquoi, c’est un vrai mystère).
Cependant, je n’ai pas le problème du serrement des dents, les médecins n’ont pas constaté d’usures sur les dents. La contraction se fait, mais je ne la sens pas et ne m’en rend pas compte malgré toutes les observations que j’ai pu faire au quotidien et tous les exercices de relâchement, ça ne change rien.
Je n’ai pas de serrement grave, ni de dystonie et encore moins de convulsions et pourtant la douleur est terrible.
Il ne reste malheureusement que ce remède de toxine botulique à essayer. Effectivement, je redoute un peu les conséquences autour des zones où aura lieu l’injection. Je vous remercie d’avoir contacté votre collègue Dr Bouchard.
Simplement j’ai déjà pris tellement de médicaments, je ne crois pas que les anticonvulsivants et antidépresseurs semblent être adaptés à mon problème, mais je note les traitements et en parlerai aux médecins qui m’entourent.
Je commence à me demander si tout cela n’est pas psychologique. Aujourd’hui je suis enceinte de 3 mois et les douleurs ont commencé à disparaître, je vais être tranquille durant toute ma grossesse (comme pour mon 1er enfant), c’est assez miraculeux ce que peuvent faire les hormones.
Je sais que les douleurs réapparaîtront après mon accouchement, j’essaierai alors la botulique, …sans réelle conviction.
Merci en tout cas pour les résultats que vous m’avez donnés, il semblerait que des gens soient soulagés.
Merci encore pour votre avis et les recherches que vous avez pu faire sur le sujet.
Je vous souhaite d’excellentes fêtes de fin d’année.
Isabelle
Merci, Isabelle, d’apporter quelques précisions.
Une parafonction de type serrement ne signifie pas qu’il y a de l’usure au niveau des dents. Un patient peut garder ses dents serrées ensemble et maintenir la contraction, d’où la douleur et la fatigue musculaire.
Si le docteur Bouchard suggère la prise d’anticonvulsivant ou d’antidépresseur, ce n’est pas nécessairement parce que vous avez des convulsions ou une dépression, c’est que le mécanisme d’action de ces médicaments ont un effet sur les contractions musculaires. Pardonnez-moi de ne pouvoir expliquer le mécanisme en détail.
Vous exprimez vous-même que ce soit psychologique et vous dîtes que le fait d’être enceinte vous aide à avoir moins mal. Cela supporte le point du Dr Bouchard qu’une approche médicale doit être envisagée dans votre cas.
Je vous souhaite bonne chance dans l’évolution de votre grossesse. À 42 ans, ce n’est tout de même pas banal. Je crois qu’une grossesse passée 40 ans est considérée comme une grossesse à risque. Menez une bonne vie et prenez çà cool.
Cordialement,
Merci pour votre réponse Dr.
En fait de profil mon menton n est ni reculé ni avancé, je pourrais même dire qu il est parfait mis à part qu il est un peu trop long. En fait je souhaite affiner le menton de face et diminuer sa hauteur.
Et si je vous écris c’est parce que j ai des doutes sur le résulat. Mon chirurgien a retravaillé ma photo avec photoshop mais il semble évasif sur les détail comme le double menton par exemple. et j ai peur que cette technique en chin wings soit lourde et que le résultat ne soit pas satisfaisant. pensez vous que cette opération dite chin wings soit adaptée pour le résultat d un menton plus fin et moins long sans le reculer ni l avancer ? Merci de votre réponse car je suis un peu angoissée.
Je n’ai aucune idée de ce qu’est une génioplastie en chin wings. Chin wing, traduit littéralement, veut dire ailes de menton.Toutefois, une recherche sur Google m’a permis de voir que c’est à peu près la même chose que la technique chirurgicale utilisée dans l’article que je cite un peu plus loin. Veuillez aussi consulter le document orthognathic surgery chirurgie orthognathique (diapo 9 à 14).
Une prévision orthodontique chirurgicale ne se fait pas par Photoshop. Cela se fait à partir d’une radiographie céphalométrique sur laquelle on planifie le mouvement osseux antéropostérieurement et verticalement. Une t0modensitométrique volumique (3D) permet de faire une planification tridimensionnelle encore plus précise.
Vous dites que votre menton n’est ni avancé ni reculé. Que veut dire alors réduction frontale de 10 mm?
Je peux concevoir qu’un menton soit trop long verticalement et reculé antéropostérieurement. Je viens d’ailleurs de publier une recherche sur le remodelage osseux après une génioplastie fonctionnelle chez le patient en croissance.
Lorsque je recommande ce genre de procédure, je suis capable de prédire au mm près le mouvement nécessaire et oui, le logiciel que j’utilise permet de redessiner le profil du patient en tenant compte des mouvements chirurgicaux. Mais on est loin d’une photo retouchée au Photoshop.
Si vous avez un doute pourquoi le faites-vous?
bonjour Dr Chamberland,
Je suis une femme de 37 ans et je suis très complexée depuis longtemps par la largeur et la longueur de mon menton. Afin de rendre mon visage plus féminin, un chirurgien maxillo-facial m’a proposé de subir une génioplastie en chin wings avec réduction frontale de 10 mm et réduction axiale minime.
Alors voilà j ai lu bcp de commentaires sur des génioplasties et je voudrais savoir si avec cette technique il y a un risque d’asymétrie et si c’est douloureux.
J’ai peur du résultat et je n’aime pas assez mon menton au pont d y renoncer. Je dois me faire opérer le 5 janvier.
… je précise que cette intervention aura lieu en France à Paris…
Merci de me conseiller Dr.
Madame,
Vous dîtes avoir un menton trop long et trop large.
Un chirurgien vous a proposé une réduction frontale de 10 mm et une réduction axiale minime.
J’imagine que réduction frontale veut dire recul et que réduction axiale veut dire verticale. Ainsi je déduits que votre menton sera reculé de 10 mm, mais qu’il n’y aura peu ou pas de réduction verticale.
Il y a 2 types de mandibules qui correspondent à cette description.
Progénie et rétrusion dentoalvéolaire inférieure
Ce patient présente un menton très proéminent, mais cela est une composante d’une malocclusion plus importante de type classe II division 2. La proéminence du menton est accentuée par le fait que les incisives inférieures sont inclinées vers l’arrière. Le traitement orthodontique a permis de procliner les incisives inférieures vers l’avant de 25°. Le menton a été reculé de 4 mm. La mandibule a avancée de 8 mm. Une ostéotomie Le Fort 1 d’allongement de 6 mm a permis d’obtenir une harmonie dentosquelettique et faciale.
Il faut être prudent avec le recul de la pointe du menton, car cela a tendance à créer un petit bourrelet de chair sous le menton.
Prognathie mandibulaire et rétrusion maxillaire
Il s’agit d’une dame de 35 ans qui était très malheureuse de l’apparence de son profil et de la proéminence de son menton.
Je la cite: “Je n’aime pas mon sourire et je suis extrêmement gênée de mon menton. ”
Le traitement orthochirurgie consiste en un avancement du maxillaire de 3 mm et impaction de 3 mm, un recul mandibulaire OSMB de 2 mm et une génioplastie de réduction verticale de 5 mm et d’avancement de 2 mm . Elle a subi préalablement une EPRAC en première phase chirurgicale car la mâchoire supérieure était trop étroite.
Il va de soi que ce traitement a transformé sa vie, lui a changé son estime d’elle-même (self-esteem). Elle était tellement heureuse de la transformation.
Je porte à votre attention que la réduction verticale de 5 mm et le repositionnement supérieur de la pointe du menton s’est traduit par un avancement de 2 mm et non un recul.
Conclusion
Je vous ai présenté ces 2 cas pour démontrer qu’un problème de menton proéminent est souvent associé à un autre problème dentosquelettique.
Je suis très réservé concernant un recul de 10 mm, car cela risque de créer un bon refoulement de chair sous le menton. Remarquez le petit bourrelet qu’a pu causer un recul de 4 mm. Imaginer si on recule de 10 mm.
Je doute que votre menton proéminent et large soit votre seul problème. Vous devriez consulter un orthodontiste pour évaluer votre occlusion ou votre malocclusion.
Cher Monsieur,
J’ai pris rendez-vous chez mon chirurgien mais je dois attendre encore 4 jours et je suis de plus en plus inquiète.
J’ai subit une ostéotomie de Le Fort 1, sagittale mandibulaire et génioplastie le 1er août dernier.
Je porte des bagues linguales que je supporte de moins en moins surtout depuis l’intervention, tant ma langue est irritée, lésée, donc depuis plus de 3 mois, rendant l’alimentation difficile. Par ailleurs j’ai repris un travail intense et on peut dire que je vie avec un certain degré de douleur et un inconfort.
Je me suis découvert une induration d’une seule amygdale (gène à la déglutition avec sensation de piqûre) dans la sans adénopathie sous maxillaire que j’ai attribué à une probable complication de la chirurgie au moment où j’ai pris mon rendez-vous mais qui pourrait finalement être une tumeur indépendante. Je ne vous demande pas de faire un diagnostic mais je fais appel à votre expérience et sympathie pour avoir un éclairage sur ce que vous avez pu rencontrer.
J’ai 53 ans et je ne fume ni bois et suis une femme.
Je vous remercie pour votre retour.
Bien cordialement
Chère Hélène,
Je suis désolé d’avoir tardé à vous répondre. Ce n’est pas toujours évident de trouver le temps de maintenir un tel site internet et d’avoir une vie professionnelle et une vie de couple équilibrée. Dites merci à mon épouse si patiente.
Je vous trouve bien courageuse d’avoir choisi des appareils fixes linguaux pour votre traitement ortho chirurgie. Mon expérience avec les appareils Incognito n’a pas été réjouissante et je n’aurais pas voulu faire un cas ortho chirurgie avec çà, mais je sais que d’autres le font.
Je pense que l’induration de votre amygdale peut s’explique par un phénomène grippal ou le fait que votre langue soit irritée et écorchée. C’est dans les amygdales que logent les lymphocytes qui servent à combattre les infections. Il peut y avoir aussi des cryptes chargées de débris alimentaires ou infectieux.
Je souhaite que vous ayez rencontré le chirurgien et qu’il ait pu vous examiner. C’est probablement un problème relativement mineur quoique fort désagréable j’en conviens.
Au-delà de ces problèmes, êtes-vous satisfaites des résultats de votre chirurgie orthognathique?
Cher Monsieur,
Effectivement j’ai revu mon chirurgien qui m’a rassuré (il est ORL) après avoir examiné ma gorge et palpé mon cou à la recherche de ganglion suspicieux. J’avais également revu auparavant mon orthodontiste qui m’avait fait une radio pour vérifier si il n’y avait pas un corps étranger radio-opaque responsable de cette grosse amygdale (type éclat d’un bout de fil d’orthodontie), avec un résultat négatif.
Votre réponse complète ces deux approches et m’incite à apporter toujours encore plus de soins à ma bouche meurtrie par les bagues … et le reste.
Je tiens à vous dire à quel point le travail que vous faites pour les patients est magnifique, subtil et utile. Il représente un investissement énorme en temps mais c’est ce qui soulage réellement les patients, et même ceux qui – comme moi, n’ont pas la force ni les moyens de revoir leur chirurgien à chaque fois qu’ils en ont besoin. Bravo.
Je me dois maintenant de vous répondre sur mon vécu avec les bagues incognito.
En effet, en post chirurgical, j’ai énormément de mal à placer ma langue correctement sans me heurter à ce que j’appelle aujourd’hui des » barbelés », ce qui perturbe – encore 4 mois après l’intervention – mon alimentation, mon élocution (les fins de journées sont très difficiles) et ce qui rend quasi impossible une bonne prise en charge orthophonique.
Nous avons en France le hyalugel qui ne fait plus rien pour ma pauvre langue comme c’était le cas avant la chirurgie.
Après avoir essayé toute la gamme de produits gum (dont j’utiliser encore le dentifrice ortho), j’ai finalement trouvé un produit qui me soulage un peu mieux bloxaphte de bausch + loms, que j’utilise en bains de bouche…. sans oublier les mesures hygieno- diététiques drastiques pluri-quotidiennes (j’ai tout un kit de nettoyage dentaire dans mon sac que j’utilise après chaque ingestion alimentaire).
Enfin, pour répondre à votre question je pense que mon intervention est effectivement réussie.
Je suis à votre disposition pour vous en dire plus.
Bien cordialement
Merci pour vos bons mots.
Vos commentaires à propos d’Incognito me confirment que cet appareil n’est pas si confortable que çà pour les patients et que le bénéfice esthétique ne justifie pas les souffrances physiques. Aucun de mes patients avec des appareils SPEED™ n’a ce genre de souffrance et la miniaturisation de ces braquets atténue largement le problème cosmétique.
Vous devriez réécrire votre paragraphe comparant les braquets Incognito™ à des barbelés dans la section commentaire de la page Incognito™.
Bonjour,
Opérée d’une ostéotomie bimaxillaire il y a 20 jours,j’avais bien dégonflé sans douleur particulière, si ce n’est aux oreilles. Seulement voilà, depuis 2 jours, je porte des élastiques orthodontiques de classe 3 à gauche et 1 à droite. Or, cela fait également 2 jours que je gonfle à nouveau au niveau de la plaque en titane située sur la machoire inférieure, à gauche. Si je touche ma joue, cela me fait mal. Elle n’est ni rouge, ni particulièrement chaude.
Mon gonflement est-il normal? Faut-il que je consulte à nouveau (j’ai vu mon chirurgien juste avant ce nouveau gonflement)?
Merci
Je vous recommande de consulter votre chirurgien buccal dans les plus brefs délais. Un gonflement et une douleur après 20 jours d’une opération est un signe précurseur d’infection.
N’hésiter pas à le rappeler.
Bonjour Docteur,
Suite à une opération d’osteotomie maxillo…
Puis-je bénéficier d’une prise en charge par la sécurité sociale de 6 mois de suivi en orthodontie donc APRES la chirurgie…
Ma mutuelle me dit que c’est AVANT la chirurgie que je peux bénéficier de cette prise en charge
Est-ce AVANT ou APRES la chirurgie cette prise en charge par la Caisse Primaire
ou la Caisse Primaire n’accorde qu’une fois la prise en charge du semestre et peu importe que ce soit avant ou après l’opération,
Je vous remercie de l’attention que vous porterez à mon mail. Marie-Madeleine
Excusez moi du délai, je viens de retrouver cette question.
Je ne suis pas au courant de la façon de fonctionner pour la prise en charge des compagnies d’assurances en France.
Chère Docteur!
Merci beaucoup pour votre site internet tellement riche en information! Merci aussi pour votre temps et votre gentillesse de répondre aux questions!
Je voudrais donc vous poser quelque questions à mon tour.
J’ai la mâchoire inférieure reculée de 12mm et on m’a proposé de faire une opération pour avancer la mâchoire avec une année de traitement préparatoire orthodontiste et une année post-opératoire.
L’opération est planifié dans le but esthétique aussi, pas seulement fonctionnelle. L’orthodontiste m’a promis au début de traitement que j’aurais un sourit rempli. Car j’ai eu un sourire où on voit seulement 6 dents supérieurs au milieux de la bouche à la place de 12, comme chez les gens ayant un beau sourire.
Donc les mâchoires sont trop étroits. Pourtant l’orthodontiste a été sûre de pouvoir élargir mes dents afin qu’on le voit tous. Une année de traitement est passée et il y a très peu de résultat, l’orthodontiste m’annonce qu’il ne peut pas élargir les dents d’avantage. On voit maintenant 8 dents à la place de 6 comme avant, mais mon sourit à l’air d’être toujours trop étroit.
Si je comprend bien il a tout mélangé. Car pour élargir les mâchoires il faut une autre opération , comme Expansion palatine rapide assistée chirurgicalement (EPRAC) etc.
Donc j’ai deux problèmes: la mâchoire inférieure trop en retrait et les deux mâchoires trop étroits. Mais personne ne parle de deuxième problème, comme si il n’existe pas. Pourtant, si tellement l’argent, car l’orthodontie n’est pas remboursée en France, est mis en jeu et le temps et de l’effort, j’aimerais avoir au final un sourit parfait.
Car maintenant il a l’air d’une grimasse tendu et je ne crois pas que l’avancement du mâchoire inférieur va résoudre ce problème.
Qu’est que vous me conseillez?
Est que l’opération pour élargissement des mâchoires peut être combinée avec l’avancement de la mandibule? Ou ça sera trop lourd comme opération?
Devrais je insister sur cet opération pour élargissement de la mâchoire? Est qu’elle se fait dans le but purement esthétique? Ou c’est bien trop lourd comme opération et on la fait seulement si il y a des problèmes fonctionnelles?
J’aimerais aussi vous envoyer quelque photos, mais je ne vois pas comment je peux le faire à travers le site.
Je vous remercie d’avance pour vos réponses.
Kateryna.
Madame, je vous félicite d’avoir entrepris votre traitement d’orthodontie, mais je crois que vous faites une erreur de croire que tous les sourires doivent exposer 12 dents. Les Julia Roberts et Cameroun Diaz de ce monde ne sont pas si nombreuses.
D’abord le fait que votre mâchoire inférieure soit décalée de 12 mm signifie qu’il y a de fortes chances que le maxillaire supérieur soit étroit. Il est donc prévisible que lors de l’avancement de la mandibule en relation classe I (pas de décalage), un manque de largeur du maxillaire soit mis en évidence. Tout cela pouvait être prévu avant même d’entreprendre le traitement.
Maintenant que le traitement est en marche depuis un an, il est un peu tard pour planifier une EPRAC. Il vaudrait mieux songer à corriger le problème de largeur du maxillaire en faisant une ostéotomie Le Fort 1 bi ou tripartition. Il sera donc possible de gagner au moins 5 mm de largeur du maxillaire ce qui pourrait élargi votre sourire par le fait même.
Ostéotomie Le Fort 1 bipartition et ostéotomie d’avancée mandibulaire
Voici l’exemple d’une patiente qui avait une rétrognathie mandibulaire et un maxillaire trop étroit. La chirurgie orthognathique consistait en une ostéotomie Le Fort 1 avec bipartition sur la ligne médiane afin de permettre une expansion du maxillaire de 3 mm, une avancée de 4,5 mm, une impaction antérieure de 1,5 mm et allongement postérieur de 1 mm. Une ostéotomie mandibulaire d’avancement de 11 mm a dû être réalisée pour corriger la rétrognathie.
La patiente est tellement contente que çà se voit dans son sourire. Et elle n’a pas besoin de ressembler à Julia Roberts ou Cameroun Diaz pour être radieuse.
Je vous souhaite la même chose.
J’attends vos photos pour une analyse plus spécifique.
Chère Docteur!
Je vous remercie grandement pour votre temps consacrée aux réponses! Et pour la rapidité de votre réponse!
Je ne sais comment vous remercier!
Vous m’aidez beaucoup à trouvé une solution!
J’ai contacté des médecins ici en France par email en expliquant le problème et la seule chose qu’il m’ont dit c’est de prendre un rendez-vous chez eux.
J’avoue que votre site et votre attention donnent très envie de venir se soigner chez vous au Québec.
Mais on verra comment les choses vont avancer ici. Si on me refusera l’opération d’élargissement de maxillaire, parce que il est purement esthétique, je serai obligée d’aller me faire opérer à l’étranger de toute façon. Et ici, on aime bien fermer les yeux sur les problèmes purement esthétiques.
Je pense que le problème ici c’est que l’avancement de la mandibule est remboursé par la sécurité sociale, mais pas l’autre opération qui permet d’élargir le sourire. Pourtant, les médecins aurait pu me le proposer quand même, même si ils le considèrent comme de la chirurgie esthétique. J’avoue que je suis hors de moi de cette négligence! Il est évident qu’un orthodontiste est capable d’estimer le maximum d’élargissement d’une arcade avant de promettre un sourire de 12 dents.
Mais il n’y est pas la question de la quantité des dents pour moi, l’essentiel ce que le sourit reste pas beau, tendu et qu’il y a des trous noirs sur les côtés de la bouche, des vides. Je vous ai envoyé des photos sur Facebook, car je n’arrivais pas de les envoyer via le site.
Entre temps, le sourire de votre patiente est très beau, et il montre quand même tous le 12 dents. C’est un sourit que moi aussi je voudrais tellement avoir!!!
Je voudrais vous demander, est que une opération Le Fort 1 bi ou tripartition est plus compliqué, plus lourde que Eprac? Est certain qu’il est trop tard de faire Eprac, même avec un traitement post-opératoire d’orthodontie? Vu tout ce que j’ai lu sur votre site, Eprac reste une opération le plus facile pour le patient, je suppose?
Est qu’il faut au même temps élargir la mâchoire inférieure à l’aide d’une opération? Je suppose que oui.
Donc c’est 3 interventions à faire : élargir le haut et le bas et avancer le bas? Est possible de le faire en une fois?
Je vous remercie d’avance et vous souhaite une très belle journée!
Kateryna.
Je vous transmet la réponse de mon chirurgien. Je crois qu’il essaye de me dire non d’une manière délicate.
»
Merci de votre message. En effet lors de notre consultation du 27 Juin 2013 nous n’avons pas évoqué la largeur de votre sourire mais uniquement le décalage entre le maxillaire et la mandibule.
Voici le texte de la consultation : « Classe II division 1 avec ANB à 10° sur face légèrement hyperdivergente avec angle GOGNSN à 34°, sillon labio-mentonnier marqué, ronflement avec pauses cliniques bien ressenties. Sourire gingival 2mm mais a déjà eu une plastie coronaire antérieure.
Indication de protocole ortho-chirurgical avec :
– enregistrement des apnées du sommeil
– Alignement des arcades
– Ostéotomie sagittale d’avancée ± génioplastie, éventuellement dans un second temps. »
Vous ne m’aviez donc pas parlé de cette question des « triangles sombres » de votre sourire ni exprimé le fait qu’ils constituaient pour vous une gène esthétique et devaient être intégrés dans le plan de traitement.
Plusieurs points sont à évoquer concernant cette nouvelle demande :
– sur les photos non médicales que vous m’adressez, l’arcade maxillaire semble bien plus en « V » avant la pose des bagues qu’après, il y a donc bien un élargissement du sourire par l’orthodontie mais il est limité par l’environnement osseux. Comme vous l’avez bien compris, votre orthodontiste ne peut « sortir les dents de l’os » pour élargir l’arcade et faire en sorte qu’elle s’adapte à vos tissus mous et vos lèvres. On peu en effet élargir chirurgicalement le maxillaire mais il faudra alors que l’arcade du bas soit également élargie ce qui est plus complexe à réaliser.
– Cet élargissement du sourire dépend également de la taille respective des dents, plus les dents sont larges plus elles prennent de place et réciproquement.
– Un sourire « normal » va au maximum jusqu’aux deuxièmes prémolaires chez tout le monde, stars compris, il faut se méfier des retouches photos qui rajoutent une dent ! J’ai repris votre exemple et selon la retouche même Jessica Alba a des corridors buccaux …
– une chirurgie maxillaire quelle quelle soit (élargissement transversal et / ou avancée abaissement) comporte son lot de risques et entraine souvent un léger élargissement de la base du nez qui peut être mal toléré. Cette chirurgie à visée purement esthétique demande donc une demande particulière du patient qui doit bien mettre en balance les bénéfices et les risques avec ses praticiens.
– les « triangles sombres » sont également fonction des tissus mous, si vous avez fait des injections pour repulper les lèvres, il sont souvent majorés.
Je suis d’accord avec le fait que l’élargissement fut limité à l’environnement osseux. C’est ce que j’ai voulu dire par expansion dentoalvéolaire pour coordonner les arcades dentaires.
Je suis d’accord avec lui qu’il peut ne pas être nécessaire d’élargir le maxillaire dans votre cas et que les risques d’une telle procédure ne balancent pas avec les bénéfices.
Est-il vrai que vous avez fait des injections pour avoir des lèvres plus pulpeuses?
Si tel est le cas, je pense que le prix à payer pour avoir voulu des lèvres plus pulpeuses pourrait être de voir moins de dents lors de votre sourire.
D’abord, je voudrais vous dire qu’il est normal qu’aucun médecin français ne veuille se prononcer sans vous avoir rencontré en consultation. Je ne peux faire aucun commentaire sur la couverture des soins de chirurgie orthognatique. Je ne suis pas d’accord avec votre affirmation concernant le fait l’avancée mandibulaire serait remboursée, mais pas l’opération d’élargissement. Je ne crois pas que vous avez raison sur ce point.
Je ne crois pas que votre maxillaire supérieur (mâchoire supérieure) soit aussi étroit que vous semblez le prétendre. Je ne crois pas qu’il soit indiqué de faire une EPRAC (expansion palatine rapide assistée chirurgicalement). Je remarque que l’os au niveau des gencives dans la région postérieure présente une certaine bombance et il est donc possible de faire de l’expansion « dentoalvéolaire » au besoin afin de coordonner les arcades dentaires. Tout au plus, une bipartition du maxillaire durant le Fort 1 pourrait être nécessaire, mais cela ne peut être confirmé que sur les modèles de réanalyse préchirurgicale.
Votre question: Est-ce qu’une opération Le Fort 1 bi ou tripartition est plus compliquée, plus lourde qu’une EPRAC?
Il n’y a pas d’indication d’EPRAC dans votre cas, pas plus qu’il n’est indiqué d’élargir la mâchoire inférieure. Votre traitement étant commencé, s’il faut élargir, un Le Fort 1 bi ou tri partition fera l’affaire.
Considérant qu’une ostéotomie d’avancée mandibulaire ne peut être fait en même temps qu’une EPRAC, cela signifie qu’il faudrait 2 phases chirurgicales dans votre traitement ( une EPRAC suivi d’une OSMB plus tard. Il n’y a aucun avantage de faire 2 phases chirurgicales si tout peut être réalisé en une seule phase.
La réponse à votre 2e question est donc non. Ce n’est pas possible d’élargir le haut et le bas et avancer le bas en une seule fois.
Bonjour docteur,
Je fais suite aux derniers mails échangés.
Le 20 Aout dernier sur proposition de mon chirurgien, on m’a fait une ablation des plaques et vis de ma précédente opération (lefort1) pour prévenir un déchaussement et un sourire gingival trop prononcé.
Il apparait que dans la littérature prendre e des vitamines B1 B6 sur 3 mois pouvait aider significativement à retrouver une meilleure sensibilité gingival (paresthésie)
Qu’en pensez-vous docteur et merci d’avance pour vos réponses
Cordialement Mr Aissani
Désolé, je ne suis pas au courant que la prise de vitamines B puisse aider à retrouver une sensibilité nerveuse des gencives après une chirurgie orthognathique Le Fort 1.
Ayez une bonne alimentation, bien équilibrée avec beaucoup de fruits et légumes, des produits laitiers et des protéines (viandes, poisson, légumineuses, graines) et vous serez en santé.
Bonjour,
Merci pour votre réponse .
Pour immobiliser les maxillaires, je mets des élastiques, les fils dont je parle relient à l’intérieur de ma bouche le tissu interne des lèvres avec la gencive.
Cordialement
Faîtes des exercices d’ouverture et de fermeture sans vos élastiques intermaxillaires. Cela va mobiliser les muscles.
Bonjour Docteur,
Je tiens à vous remercier pour votre site et l’intérêt que vous portez à nos questions.
cela fait 3 semaines que j’ai subi une ostéotomie Lefort 1 d’impaction de 6 mm, avec mobilisation du plateau palato-dentaire, blocage provisoire en articulé de classe 1 et une génioplastie de réduction avancée de 5 mm (Extrait du CR du chirurgien).
Je suis satisfaite car le sourire gingival a disparu, mais je m’inquiète pour la fermeture de bouche. Je dois faire un sacré effort pour que mes deux lèvres se touchent, en faisant cette opération, mon menton a l’air disgracieux alors que la fermeture de bouche était ma principale motivation pour subir cette chirurgie.
J’en ai parlé à mon chirurgien qui m’a annoncé que c’était juste question de temps et qu’il faudra travailler les muscles de ces parties. Je précise que j’ai toujours les fils chirurgicaux en place qui, une hypothèse que je me suis faite, peuvent être également l’origine de ce problème en bloquant le mouvement des lèvres et du menton.
Je demande si vous avez déjà vu ce genre de cas et si effectivement après une certaine période les choses s’améliorent,ou le rendu actuel est le définitif. Si malheureusement, c’est le cas, est ce qu’on peut toujours corriger en subissant une deuxième génioplastie ou autre ?
Merci énormément pour votre réponse.
Cordialement
En principe après 3 semaines postop, il persiste quelques raideurs musculaires ce qui peut expliquer certaines de vos difficultés. Les fils chirurgicaux dont vous faites mention sont-ils des fils de fixations intermaxillaires ou des fils d’ostéosynthèse servant à immobiliser les fragments?
Si vous êtes fixé intermaxillaire, c’est un peu normal que vous ayez de la difficulté à bouger vos muscles.
Le rendu actuel n’est pas le définitif et il y aura amélioration durant les 6 mois postop.
Bonjour,
Savez-vous si il est possible de raboter les os zygomatiques et si c’est une opération à risque ?
Et pour quelle raison faudrait-il raboter vos os zygomatiques?
Avez-vous une difformité faciale?
Je ne peux voir quel avantage vous pourriez en tirer.
Oui vous avez raison !!
J’ai pris aujourd’hui un rendez-vous avec un chirurgien qui fait des simulations en 3D* (hôpital de l’APHP à Paris) et a qui je vais soumettre mon bilan. Mon contact téléphonique avec son sécrétariat a été tout à fait compréhensif et rassurant.
Je préfère savoir que les gestes sont guidés et les décisions – qui peuvent l’être -prises à l’avance en concertation avec le patient.
J’en saurai plus après mon rendez-vous fixé le 10 juillet.
Je vous mets ce que l’équipe a publié en 2023 et qui couplé avec une bonne expertise devrait optimiser l’obtention de résultats satisfaisants:
Je vous souhaite bonne chance dans vos démarches. Tenez-nous au courant.
Cher Monsieur,
Je vous remercie pour votre réponse précise et votre extrême gentillesse et attention pour les patients.
Je peux vous adresser mes radiographies et photographies (pas flatteuses) et je vous laisserai y jeter un oeil si vous avez quelques minutes.
Bien cordialement
Godefroi,
Je pourrais consulter vos photos et radiographies, mais c’est plus que quelques minutes que çà prends pour faire une simulation de traitement.
De plus, je considère que c’est le rôle de votre orthodontiste de vous rendre ce service. J’ai eu l’occasion par le passé de commenter des photos et radiographies de patients, mais comme je ne suis pas l’orthodontiste traitant et que STO que je ferais n’est qu’une simulation et qu’en plus ce n’est pas moi qui dirige le traitement ni mon chirurgien qui réalisera la chirurgie, je ne veux pas interférer davantage dans votre relation avec votre orthodontiste.
J’ai déjà eu l’occasion de répondre à un internaute (voir question simulation de traitement). Le problème, c’est que n’étant pas celui qui traite, les questions n’en finissent plus et çà ne règle guère l’ambivalence de la personne.
Cher Monsieur,
J’arriverais au terme de mon traitement orthodontique (selon mon orthodontiste) et le moment venu de choisir un chirurgien.
J’ai actuellement 2 avis un peu divergents: un fait avant l’orthodontie et un après, mais tous les deux uniquement sur des radiographies et photographies, ce qui m’inquiète un peu ! Il s’agirait de faire une impactation maxillaire, une avancée mandibulaire et une génioplastie, mais je n’ai pas de plan de traitement définitif et si je comprends bien que je ne peu pas visualiser le résultat avant l’intervention je souhaiterai mieux connaitre l’enjeu de tel ou tel acte.
Quels examens dois-je demander afin de mieux definir mon plan de traitement.
Je vous remercie pour votre réponse.
Bien cordialement
Planification chirurgicale 2D et 3D
Lorsqu’un patient entreprend un traitement orthochirurgie, l’orthodontiste prend des photographies, une radiographie céphalométrique et un panoramique.
À l’aide d’un logiciel spécialisé (autrefois, nous faisions cela à la main), l’orthodontiste fait un tracé et une analyse céphalométrique à partir desquels il fait une planification de traitement appelé VTO (Visual Treatment Objectives).
La figure ci-haut représente donc le tracé céphalométrique initiale et la planification chirurgicale STO que j’ai produite. Le logiciel utilisé est QuickCeph Studio. Ce STO est le devis que nous désirons obtenir. J’ai planifié une impaction maxillaire de 3 mm et une avancée de 1,5 mm, une avancée mandibulaire de 6 mm et une génioplastie d’avancement de 7,7 mm et de réduction verticale de 1,1 mm. C’est comme le plan d’architecte d’une maison. Sans plan, nous ne pouvons savoir ce qu’on va obtenir comme résultats finaux, car il n’y a pas d’objectifs prédéfinis. Cela permet aussi de déterminer les mouvements dentaires qui seront nécessaires avant la chirurgie si on veut obtenir le résultat escompté.
Je présente un morphage du résultat escompté au patient afin qu’il comprenne bien ce qui est nécessaire et qu’il comprenne aussi les avantages de subir une chirurgie orthognathique.
Je fais cette planification systématiquement au début de tout traitement orthochirurgie et je communique mon plan chirurgical dès le début du traitement au chirurgien buccal. Il est important que nous soyons sur la même longueur d’onde. Le chirurgien buccal rencontre le patient, toujours au début du traitement et discute de la chirurgie avec le patient.
La préparation orthodontique préchirurgicale prend environ 15-18 mois. Nous prenons alors de nouvelles radiographies et un plan de traitement chirurgical final est à nouveau réalisé. Grâce à la technologie de la tomodensitométrique volumique, cette planif préchirugicale est faite en 3D et les mouvements sont planifiés dans les 3 axes de l’espace au dixième de mm. Cette étape est gérée par le chirurgien et le technicien spécialisé durant un webmeeting (vidéo-conférence) de la compagnie DePuySynthes et leur service Synthes ProPlan CMF.
La figure ci-haut démontre les mouvements planifiés. Maxllaire: Impaction antérieure de 4,17 mm au niveau de l’incisive supérieure, avancement de 4 mm, déimpaction de 2,3 mm postérieure. Mandibule: Avancement de 8 mm, le menton avance de 13,7 mm et est réduit de 0,5 mm. Celle ci-dessous démontre l’assemblage.
En conclusion, votre orthodontiste devrait avoir les compétences pour au moins faire l’équivalent de la planification 2D que j’ai faite avec QuickCeph Studio et votre chirurgien devrait être capable de faire une planif 3D s’il entretient des liens avec la compagnie Synthes ProPlan CMF.
Bonne chance dans vos démarches et tenez-nous au courant.
Bonjour docteur
je voudrais vous parler de mon problème qui dure depuis deux ans.
J’ai été opéré d’un avancement mandibulaire. Le chirurgien a tout tiré d’un coup. J’ai été opéré sans les arcs chirurgicaux (massacre) Maintenant on doit me faire une bimaxilarité!
Je signale que j’ai été opéré en Françe.
Pas de lien entre l’ortho et le chir, donc bagué mais sans les arcs chirurgicaux posés.
Je comprendrai que vous puissiez commenter certaine choses, mais pouvez vous me répondre par mail svp?
Est-ce qu’on peut m’opérer au Quebec.
merci de répondre
Monsieur,
J’ai pris connaissance de votre question et j’y ai longuement réfléchi.
Je suis fort désolé de ce qui vous est arrivé, mais je ne crois pas pouvoir vous aider, car le retraitement impliquera vraisemblablement une nouvelle phase d’orthodontie et une nouvelle chirurgie.
J’ai reçu plusieurs témoignages semblables au vôtre de citoyen de la France. Malheureusement pour vous et heureusement pour nous citoyens de Québec (Canada), la communication entre orthodontistes et chirurgiens buccaux est bien meilleure.
Certes, certains patients ont rencontré certaines complications postopératoires, mais c’est plutôt rare. Si complications, il y a eu, nous avons toujours fini par trouver une solution et rendre le patient confortable et satisfait.
La situation que vous décrivez ne représente pas la réalité de mon vécu et de mon expérience avec les cas orthochirurgie, et ce en 25 ans de carrière.
Je doute vous pouvez être opéré au Québec. Les listes d’attentes sont bien remplies. Il y a aussi un problème avec l’assurance responsabilité d’opérer un citoyen non canadien.
Je vous souhaite bonne chance dans vos démarches.
Bonjour,
Je suis étudiante en orthodontie et je trouve votre site vraiment très didactique notemment avec les vidéos,les articles et les power point:merci
J’aurais voulu vous poser une question à propos des sourires gingivaux d’origine basale maxillaire chez des patients en classe I normodivergents dont l’occlusion est bonne.
En effet nous proposons une impaction du maxillaire…mais qu’en est il de la mandibule? Subit elle une autorotation, faut il intervenir également sur la mandibule pour obtenir une correction occlusale correcte? Par conséquent cette intervention auraa t ‘elle un impct sur le profil du patient?
merci beaucoup,
Hélène
Impaction du maxillaire et autorotation mandibulaire
Normodivergent signifie un angle mandibulaire FMA entre 20-29°. Il ne faut pas confondre un sourire gingival à cause d’une lèvre brève et hypermobile et un sourire gingival à cause d’un excès vertical du maxillaire supérieur.
Toutes les personnes qui ont un sourire gingival n’ont pas nécessairement besoin d’une impaction maxillaire.
Par contre, lorsque la hauteur faciale antérieure est excessive et qu’il y a incompétence labiale, un repositionnement supérieur du maxillaire (Le Fort 1) généralement (mais pas nécessairement) en concomitance avec une chirurgie mandibulaire avec ou sans génioplastie sera nécessaire
Le cas illustré ci-haut démontre une occlusion de classe I en préchirurgical (OJ et OB normaux), mais la hauteur faciale antérieure (ENA-Me) est en excès. Le tracé post chirurgie démontre un repositionnement et un avancement du maxillaire supérieur.
Vous posez la question: « Qu’arrive-t-il à la mandibule lors d’une impaction du maxillaire lorsque le patient est classe I? »
Et bien il faut ajuster la longueur de la mandibule ou du maxillaire ou les deux. La superposition du tracé démontré que le maxillaire a été avancé durant l’impaction, et ce pour accommoder la mandibule qui avance par autorotation. L’ostéotomie mandibulaire permet soit d’ajuster la mandibule en l’avançant ou en la reculant selon la position qui a été déterminée préalablement pour le maxillaire. La génioplastie, dans le cas cité en exemple, a permis une réduction verticale et un avancement de la pointe du menton.
J’espère que ce cas vous aidera à comprendre, mais il existe d’autres variations dans les mouvements des maxillaires dans les 3 plans de l’espace.
Mon petit fils (né avec un bec de lièvre très prononcé et sans palais).
Âgé de 12 ans il va se faire opérer de son palais. Il est grand temps mais mon petit fils ne voulait plus en entendre parler, mais là il est prêt.
J’aimerai savoir si vous rencontrez assez souvent ce genre d’opération? est-ce risqué? est-ce douloureux?
Je sais que la médecine fait de superbes choses mais l’inquiétude est là quand même.
Merci de votre réponse si possible. Félicitations à tous les chercheurs, chirurgiens et toute l’équipe.
Je vous souhaite une très bonne journée
À 12 ans, il est grand temps de procéder à une greffe osseuse au niveau du palais. Cela favorisera une meilleur croissance du maxillaire et une meilleure traitement orthodontique par la suite.
Ce genre d’opération est très fréquent chez les gens de fente labiopalatine.
Les bénéfices d’un palais fermé par le greffon dépassent largement les risques de l’opération.
Je souhaite bonne chance à votre petit-fils.
Notre petit bout s’est fait opéré hier mais pas fait le greffon, opération prévu dans 3, 6 , 12 mois selon l’évolution
Rapproché seulement la peau du palais.
Merci
Je souhaite un prompt rétablissement pour votre petit fils.
Bonjour,
J’ai été opéré d’une impaction maxillaire (7mm) , avancée mandibulaire et génioplastie d’avancée il y a 6 semaines. Le but était d’éliminer un sourire gingival, une rétrognathie et une incompétence labiale de 5mm.
A l’heure actuelle ma sensibilité revient, ma mobilité est bonne (un peu plus faible au niveau de ma lèvre sup à droite). Je mange parfaitement bien (mastication ok), mais j’ai une incompétence labiale à nouveau de 5mm au repos. Ma lèvre inférieure doit être mise en tonus pour atteindre l’interligne dentaire et la lèvre supérieure quant à elle ne recouvre qu’une petite partie supérieure des dents du dessus, et même en faisant un effort musculaire ma lèvre supérieure ne descend pas plus bas. C’est comme si je n’avais pas assez de tissus sous cutané pour la mobiliser.
J’ai un « museau » au niveau du nez et de la lèvre supérieure. Je suis extrêmement inquiète.
Au quotidien ce n’est absolument pas confortable car mes lèvres ne sont jamais étanches, je bois et ça coule à droite, quand je mange, la place que prend les aliments entre mes dents à la mastication m’empêchent de fermer les lèvres et j’ai des fuites d’aliments.
Je ne comprends pas ce qu’il se passe, s’il y a eu un problème lors de la suture des muscles et tissus mous ou si c’est autre chose.
J’ai besoin de comprendre et d’avoir un avis
Bonjour Sévérine,
Je peux vous dire ce que j’aurais fait.
Le ceph initial démontre une protrusion dentoalvéolaire inférieure, un excès verticale du tiers inférieure du visage, une rétrognahtie et une rétrognénie. Les incisives supérieures ont une bonne angulation sagittale. Il manquait une 1re prémolaire supérieure gauche.
Le plan de traitement aurait inclu l’extraction des deux premières prémolaires inférieures (34, 44) et l’extraction de la 2e prémolaire supérieure droite (15), celle qui avait déjà une obturation.
J’aurais favorisé la rétraction maximale des antérieures inférieures et maintenu l’angulation sagittale (torque) des antérieures supérieures tout en corrigeant le milieu d’arcade vers la droite. Le plan chirurgical aurait vraisemblablement été une ostéotomie Le Fort 1 d’impaction du maxillaire et d’avancement (peu ou pas de rotation postérieure en impactant), une ostéotomie sagittale mandibulaire d’avancement et une génioplastie d’avancement et de réduction verticale.
Je n’aurais pas utilisé de système lingual pour ce cas, car il ne permet pas un bon contrôle du torque. Je pense qu’en rétractant les dents supérieures il y a eu une perte de torque et l’impaction différentielle (7 mm en postérieur, 4 en antérieur) a réduit davantage le torque des dents supérieures. Ce faisant, cela réduit la capacité d’avancée la mandibule lors de l’ostéotomie ce qui doit être compensé par une avancée plus grande du menton lors de la génioplastie. Il ne semble pas y avoir eu de réduction verticale du menton lors de l’avancée.
J’ai lu votre texte et j’ai vu le résultat postchirurgical. C’est bien, mais je comprends tout à fait votre déception. Je partage certaines de vos observations. Certaines choses vont s’améliorer d’ici 3-6 mois. D’autres non. Comprenez que c’est très délicat pour moi de commenter davantage. Je ne veux pas être un générateur d’anxiété, mais je pourrais vous orienter vers certaines personnes que j’ai déjà recommandé en France, si vous en sentez le besoin. Je n’ai à peu près jamais (ou très rarement) rencontré ce genre de situation avec mes patients qui ont subi une chirurgie orthognathique. Nous sommes choyés à Québec d’avoir des chirurgiens extrêmement compétents et dont le sens artistique et cosmétique s’ajoute à leur compétence chirurgicale.
Recevez, Sévérine, mes salutations distinguées.
Bonjour docteur ,
Je suis ravie de vous ré-ecrire. voir ici
Bonjour docteur,
Merci encore de consacrer de votre temps à répondre à nos questions.
Comme expliqué précédemment je me suis fait opérer le 17 Octobre à Lyon (CHU) par un confrère chef de ce service et professeur (qui n’est pas à son premier LE FORT 1)
Ces explications et son approche m’on bien rassuré, sur les suites post op, Le Fort 1 supérieur, pour cacher un sourire gingival et avoir une meilleur occlusion et respiration nasale.
Après 5 mois ce 17 mars, j’ai toujours une une perte partielle (hypoesthésie) de la sensibilité de la des incisives supérieures, un peu comme une anesthésie chez le dentiste qui ne s’arrête jamais depuis mon opération .
Il faut dire que cette sensation influe sur mon moral, et me fait craindre de ne plus pouvoir retrouver ma situation d’avant ou l’on n’y pensait pas car pas de pressions sur la gencive.
Votre récent commentaires en réponse a Nicolas MT (lien 1; lien 2), m’ont redonné « espoir » sur ma guérison, il est vrai que je suis d’un naturel anxieux au sujet de ma santé, mais je sais relativiser la réalité.
Vos confrères français parle d’une situation« transitoire » et d’un retour à la normal à partir de 6 mois ?
Cet état joue sur ma diction et mon « parler », je me sens très vite fatigué pour maintenir un conversation en journée.
Y a-t-il à votre connaissance de solutions thérapeutiques pour accéléré la guérison d’après votre expérience.
Merci du fond du cœur pour vos réponses
PS/ j’ai 38 ans, père de famille et enseignant dans la vie professionnelle.
Merci de revenir et d’alimenter ce blogue par vos questions.
Il faudrait distinguer l’hypoesthésie d’une paresthésie.
Si je vous comprends bien, vous dîtes avoir une hypoesthésie des incisives supérieures. De prime abord, cela m’apparaît relativement normal. Cela peut être désagréable, mais ne devrait pas être incommodant car vous aurez tendance à l’oublier.
Vous ne semblez pas mentionner de perte de sensibilité au niveau des tissus mous tel que la lèvre ou la muqueuse jugale. Ce serait alors une paresthésie. C’est plus dérangeant, mais je n’ai pas souvenir que mes patients m’aient parlé d’une paresthésie voire même s’une hypoesthsie suite à un Le Fort 1. Tout au plus me disent-ils qu’ils disent qu’ils ont moins de sensibilité de leurs dents, sans nommer le mot hypoesthésie. J’en conclus que ce fut un problème mineur pour eux.
J’ai un certain nombre de patients qui ont une paresthésie résiduelle de la lèvre inférieure suite à une ostéotomie mandibulaire, ce qui est incommodant à court terme, mais que les patients finissent par oublier (lire s’habituer) à long terme. Je ne minimise pas ce problème, je fais simplement relater le témoignage des patients qui ont eu à faire face à ce problème.
Plus dérangeant est un problème de dysesthésie douloureuse. J’ai une patiente récemment qui a eu ce genre de problème. Le chirurgien qui l’a opéré lui a suggéré la prise de Neurontin, mais ce médicament peut poser problème lorsque la femme veut tomber enceinte, ce qui était le cas pour celle-ci.
Je lui ai suggéré de rencontrer un autre chirurgien, lequel a confirmé la possibilité que les vis de fixation rigides pouvaient causer un problème et il les a donc enlevées sous anesthésie générale. Elle ne ressent plus de douleur, mais il persiste un léger engourdissement.
Je la cite:
Je comprends vos soucis. Demeurez zen et tout ira pour le mieux
À +
Bonjour docteur,
Merci de vos réponses. Effectivement j’ai tendance à oublier cette gêne durant mes occupations.
Cependant au repos, je ressens toujours cette gêne qui parfois me rend anxieux pour parler.
J’ai rendez-vous ce mois-ci avec mon chirurgien et j’envisagerai la question des vis de fixation, il est vrai que j’ai hâte de retrouver ma sensibilité d’avant.
En vous souhaitant santé et bonheur.
Prenez note de la réponse de Stéphanie ci-haut.
Bonjour,
Votre forum est très intéressant et j’apprend pas mal de choses.
J’ai 23 ans et il me manque 2 molaires en bas que j’ai remplacer au bout de 6 ans (je suis en période d’ostéo -intégration).
Le problème, c’est qu’avec le temps, les molaires du haut ont égresser et je dois maintenant trouver une solution.
D’après ce que j’ai vu, soit je l’es fait poncer, soit je l’es fait remonter grâce au mini-vis d’ancrage (micro- implant) avec des élastiques?
Quels serait la solution et faudrait-il que je porte un appareil dentaire avec ces fameux vis?
J’ai aucune idée de prix.
Je vous remercie.
Kimber
Votre réponse est affichée dans la section Question-Réponse (suivez le lien).
Bonjour,
Je présente un profil convexe, pour corriger cela je songe à une génioplastie afin de corriger un menton fuyant.
Il se trouve que je suis également légèrement rétrognathe, c’est-à-dire occlusion normale mais pas parfaite.
Est-il préférable esthétiquement parlant de faire Ostéotomie mandibulaire + Génio ou seulement Génio?
Personnellement je préfèrerait une génioplastie car opération moins lourde que chirurgie mandibulaire.
Je précise que je n’ai aucun problème fonctionnel, mon occlusion ne m’a jamais posé problème.
Cordialement
La réponse à votre question est affiché à la page suivante:
Simulation de traitement par ordinateur avec QuickCeph Studio
Bonjour,
Je me permets de vous écrire car je suis complètement perdue…
J’ai grandi avec une scoliose faciale, ce n’est pas flagrant mais ça m’a toujours énormément complexé depuis l’adolescence. J’ai aujourd’hui 24 ans et ai enfin décidé de consulter un orthodontiste, qui a fait des radios etc…et qui m’a envoyé voir un chirurgien maxillo-faciale. Ce dernier m’a proposé deux solutions, la première consistait à porter un appareil dentaire pendant deux ans puis de me faire opérer des mâchoires du bas suivi d’un génioplastie visant à remettre le menton au centre car il est décalé vers la gauche.
Je retourne une semaine plus tard chez l’orthodontiste pour le bilan. Après avoir échangé avec le chirurgien elle me propose de ne faire que la génioplastie car mon asymétrie des mâchoires n’est pas énorme et que c’est le décalage du menton qui est le plus visible. Elle me propose également de porter un appareil pour redresser mes dents en haut, surtout pour le côté esthétique puis elle s’occuperait également du côté fonctionnel pour les dents du fond qui ne s’emboitent pas bien.
Je ne sais pas quoi faire concernant la génioplastie car étant donné que mes mâchoires sont asymétriques j’ai peur que le fait de replacer le menton au centre ça accentue l’asymétrie des mâchoires ou que ça change tout le visage…
Que me conseillez-vous ? Comment puis-je vous transmettre des photos ?
En attendant vos réponses je vous remercie d’avance.
PS:
Je vous fais parvenir le diagnostic synthétique :
-Squelettique : C1. I mésodivergente
-Dento-squelettique : palatoversion > et normoalvéolie et intercuspidation et finitions, pose de contentions collées.
Encore merci à vous.
Maati,
Je comprends du terme scoliose faciale que vous avez une asymétrie faciale et déviation de la mâchoire d’un côté.
Les problèmes d’asymétries faciales impliquent généralement les 3 plans de l’espace et il faut donc une prévision globale du plan de traitement. Il n’y a pas de place au compromis. Il faut méticuleusement décompenser la malocclusion et redresser les dents sur leurs bases osseuses respectives. Lorsque tout ce travail de décompensation est fait, le chirurgien buccal prend une Tomographie Volumique à Faisceau Conique (TVFC) de votre crâne et il faut une planification chirurgicale en 3 dimensions. Des gaufres chirurgicales sont fabriquées pour réaliser ce qui a été planifié par ordinateur sur la table d’opération.
Je m’explique donc mal que l’on vous propose 2 choix, un compromis, une solution à la pièce et pas de plan concerté et planifié.
La figure qui suit représente une planification chirurgicale 3D d’un patient ayant une asymétrie faciale vers la gauche.
Je ne sais pas ce que l’orthodontiste et le chirurgien se sont dit. Je ne connais pas votre état réel.
Je ne peux pas vous conseiller davantage, mais je vais vous transmettre mon courriel sous pli séparé pour recevoir vos photos.
.
Pour plus d’informations sur les asymétrie faciales, consultez cette page: http://www.sylvainchamberland.com/blogue/asymetrie-faciale-et-hyperplasie-hemimandibulaire/
Bonjour Maati
Merci de m’avoir fait parvenir vos photos et radiographies.
Cette asymétrie peut être causée par une hyperplasie du condyle droit ou une hypoplasie du condyle gauche. Il n’est pas impossible que l’hypoplasie gauche soit consécutive à un traumatisme, une chute sur le menton en bas âge. Voir ce lien pour plus de détails: Child with hypoplasia of the processus condylaris.
La radiographie panoramique est révélatrice de la nature du problème.
Dans ce genre de cas, il est recommandé de faire une scintigraphie osseuse au Tc99 afin de s’assurer qu’il n’y a pas un processus de changement osseux actif d’un côté ou de l’autre.
Au point de vue orthodontique, je note une inclinaison vers la gauche de vos 2 incisives centrales et un milieu d’arcade inférieur dévié vers la gauche, mais les dents inférieures sont penchées (inclinées) vers la droite. Une décompensation dentaire pourrait accentuer l’écart entre les milieux d’arcade. Des mécaniques d’élastiques intermaxillaires seront nécessaires s’il n’y a pas de chirurgie bimaxillaire.
Dépendamment des résultats de la scintigraphie, je serais porté accepter une génioplastie de latérodéviation droite.
Vos dents sont plutôt bien alignées à part quelques petits défauts qu’un orthodontiste avisé peut reconnaître. Votre visage, hormis l’asymétrie en vue frontale, est bien balancé. Votre profil (vu sur le ceph) est dans la normale. Bien que le plan du sourire soit légèrement incliné vers la droite, j’ai vu bien pire. Je doute que cela pose un problème pour vous.
Je ne peux en dire davantage. Vous pouvez transmettre mon diagnostic à votre orthodontiste et votre chirurgien.
Avec les informations fragmentaires que vous m’avez envoyées, je suis raisonnablement en faveur de leur proposition, mais j’investiguerais davantage les articulations.
.
Je vous remercie pour toutes vos réponses et le temps que vous nous consacrez.
J’ai des irm de la mâchoire mi avril, je reviendrais peut être vers vous en fonction des résultats.
En vous souhaitent une agréable journée.
Bonjour Dr Chamberlain,
Merci pour votre blog très fourni en informations car celles ci sont difficiles à trouver.
J’ai le même problème que Maati avec une déviation du menton vers la droite. Problème probablement héréditaire car mon père et mon soeur l’on également. J’ai déjà eu 2 traitements orthodontiques à 13 ans puis 15 ans en raison de douleurs à la tempe droite.
Aujourd’hui j’ai 28 ans, je n’ai plus de douleurs mais cette asymétrie faciale me complexe beaucoup même si mes proches me disent qu’ils ne le remarquent pas. Une première consultation orthodontique m’a fait savoir qu’un traitement de 18 mois en lingual était possible couplé à une chirurgie pour obtenir une symétrie faciale. Je vais faire un bilan orthodontique (photos, empreintes, radios…) la semaine prochaine pour avoir un diagnostic détaillé.
Ce traitement me fait assez peur en raison de la chirurgie et car mes précédents orthodontistes n’ont pas su me corriger correctement j’ai des difficultés à faire confiance à ces spécialistes. Je vis à Paris et souhaitais savoir si vous pouviez me conseiller un spécialiste et/ou un chirurgien en France.
Merci d’avance pour votre aide.
Anaïs
Si vous avez une asymétrie faciale comparable à celle de Maati, la seule façon de rétablir une symétrie faciale est de procéder à un traitement orthochirurgie.
Je ne vous recommande pas des appareils au lingual bien que cela soit populaire en France. Ici au Québec, la majorité des orthodontistes qui les ont essayé, ont ensuite abandonné cette technique.
J’ai recommandé dans cette page le chirurgien maxillofacial Dr André Chainé. Vous semblez avoir choisi votre orthodontiste. Je vous souhaite bonne chance dans vos démarches.
Bonjour Dr Chamberland,
J’ai aujourd’hui 21 ans et je vie en région parisienne, j’ai également une asymétrie faciale avec latérodéviation comme les deux personnes qui m’ont précédé sur ce même problème. J’ai remarqué cette asymétrie il y a environ 3 ans environ et celle-ci est est très proche de la photo ci-dessus du sourire.
Je n’ai pas de suivis par un orthodontiste depuis assez longtemps ce qui explique et n’ai jamais eus recours à un appareil dentaire car mon ancien dentiste n’en voyait pas l’utilité.
Quelle démarche me recommandez vous?
Puis-je passer directement par un orthodontiste ou un chirurgien (Comme celui que vous avez recommandé) pour une opération sans traitement sur la durée?
Est ce que l’opération est lourde ?
Merci pour votre site où j’ai enfin pu trouvé des pistes à mon problème lattant,
Je vous remercie infiniment pour votre aide,
Alexandre
Il est peut-être un peu tard pour vous répondre, mais je vous recommande de consulter un orthodontiste d’abord. Celui-ci vous dirigera vers un chirurgien buccal.
Bonjour M. Chamberland,
Tout d’abord félicitations encore une fois pour votre site internet. Je pense qu’il est rassurant pour un patient de pouvoir voir de la documentation sur l’orthodontie.
Je suis un homme de 29 en bonne santé. Je suis allé consulter en orthodontie afin de connaître le traitement à avoir. Selon l’orthodontiste rencontré et le chirurgien maxillo-facial, voici le traitement proposé (en résumé – j’ai des photos disponibles si vous le désirez) :
– Expansion palatine assistée chirurgicalement (compte tenu de l’étroitesse de mon palais supérieur);
– Poursuite des traitements orthodontiques au niveau des arcades dentaires supérieure et inférieur;
– Chirurgie orthognatique au besoin selon l’évolution des traitements othodontiques :
* Ostéomie effort I d’avancement au besoin;
* Ostéomie sagittale mandibulaire bilatérale au besoin.
C’est donc que je devrai subir deux opérations (si je comprends bien je n’aurai qu’à subir au besoin l’une des deux ostéomies, j’ai de la difficulté à comprendre ce point) en plus d’une possible extraction des dents de sagesse. Lors de notre rencontre, je me suis fait expliquer que la première opération est nécessaire puisque mon palais est trop étroit. De mémoire, la deuxième sera probablement nécessaire puisque d’une part, je manque de place pour les dents sur l’arcade inférieure et d’autre part (suite au traitement d’orthodontie je crois), les dents de l’arcade inférieure seront vraisemblablement trop avancées par rapport aux dents de l’arcade supérieure.
Je suis très concerné (c’est un euphémisme) par ces opérations, particulièrement la deuxième.
Le point qui m’inquiète le plus est le risque de perte de sensibilité suite à ces opérations. De mémoire, je me suis fait expliqué par le chirurgien que le risque était respectivement de 1/20 et de 1/10 pour l’EPRAC et pour l’ostéomie. Avez-vous plus d’informations à ce sujet? Pouvez-vous confirmer les probabilités? J’ai beaucoup de difficulté à accepter de courir ce risque pour des simples raisons esthétiques (ce qui semble être mon cas) mais je désire vraiment avoir les dents droites et belles. Y a-t-il moyen de diminuer les risques ou de les éliminer, par exemple au niveau post-opération?
J’aimerais également savoir si l’opération peut avoir des conséquences sur l’apparence du visage (excluant les dents). Je trouve mon visage très correct comme il est.
Aussi, y a-t-il des appareils de rétention ou autres à porter de façon permanente même après l’enlèvement des broches (comme mentionné dans le témoignage de isabelle).
Je vous remercie grandement du temps que vous accorderez à ce message.
Nicolas
PS : J’ai lu tous les commentaires de la section « Chirurgie orthognatique » et également tous les témoignages sur votre site. Je compte continuer ma lecture avec d’autres sites internet au courant des prochains jours/semaines.
Cher Nicolas,
Merci de ta participation sur mon site. Ta question est un peu longue. J’aurais aimé une version abrégée, mais tu réussis bien à expliquer ton cas.
Le plan de traitement que l’on te propose est vraisemblable. Ton palais est étroit et a beoin d’être élargi. Chez l’adulte, la solution de choix est l’EPRAC. Si tu veux des détails, je te conseille de lire ma thèse de maîtrise sur le sujet STABILITÉ DE L’EXPANSION PALATINE ASSISTÉE CHIRURGICALEMENT COMPARÉE À UNE OSTÉOTOMIE LE FORT 1 MULTISEGMENTÉE_Stability of sarpe compared to segmented le fort 1 osteotomy et les deux articles que j’ai publiés Closer look at sarpe chamberland-proffit joms sept08 et Short term and long-term stability of surgically assisted rapid palatal expansion revisited ajodo2011-139_815-22.
Ensuite, vous aurez besoin d’une autre chirurgie où il faudra avancer le maxillaire par une ostétomie Le Fort 1. Je comprends que l’ostéotomie mandibulaire pourrait ne pas être nécessaire.
Le taux de risque que vous mentionnez me semble paritulièrement élevé et la perte de sensibilité se résout rapidement durant la guérison. Au bout de 6 mois, la sensibilité est revenue à la normale pour plus de 95% et plus des patients ayant subi une ostéotomie mandibulaire. En ce qui concerne les séquelles de perte de sensibilité après 6 mois pour une EPRAC ou une ostéomie Le Fort 1, je dirais que c’est encore plus faible et peu ou pas de mes patients s’en sont plaint.
Il y aura des changements de votre visage, mais si vous êtes classe III, comme j’en déduis selon vos explications, un avancement du maxillaire offre les plus beaux résultats chirurgicaux.
La méthode de rétention sera recommandé par votre orthodontiste. Ce n’est pas à moi de lui prescrire ce qu’il doit faire.
Je vous souhaite bonne chance dans vos démarches et ayez confiance.
Bonjour,
Merci pour votre réponse.
Effectivement je suis une CLIII.
Je me suis aussi rappelé que les deux ostéomies sont requises (encore une fois au besoin). En gros, j’aurai besoin d’avoir une opération aux deux mâchoires, ou seulement à une (vous semblez pencher pour celle du haut) ou à aucune.
En ce qui a trait à la perte de sensibilité, si je me souviens bien ce que le chirurgien m’a dit c’est:
– 95% pour l’EPRAC;
– 90% (1/10) lorsque les deux ostéomies sont requises.
Je vais me renseigner auprès de mon chirurgien.
Je vais lire aux articles que vous me proposez.
Merci d’avoir pris le temps de me répondre et bonne soirée!
Vos pourcentages portent à confusion. Je ne crois pas que la perte de sensibilité soit si élevée pour aucune des interventions décrites.
Bonsoir,
Peut-être mes chiffres portent-ils en effet à confusion.
Je voulais plutôt dire:
– 1 chance sur 20 de perte de sensibilité pour l’EPRAC;
– 1 chance sur 10 de perte de sensibilité pour les ostéomies.
C’est un peu plus clair.
J’ai trouvé 2 articles sur le sujet:
Le premier article vient de l’University of North Carolina dont la réputation n’est plus à faire concernant les recherches sur les chirurgies orthognathiques.
Ils concluent que la persistance de sensation nerveuse altérée est un phénomène complexe qui est influencé par l’environnement démographique, les caractéristiques psychosociales et des facteurs génétiques. Les patients plus âges et ceux qui ont une forme de détresse psychologique plus élevée (plus grande anxiété par exemple) ont plus de chances d’avoir des symptômes d’altération de sensation nerveuse 2 ans après leur chirurgie. L’attitude du patient avant l’opération (attente, optimisme) et l’humeur (anxiété, dépression) sont des indicateurs pour estimer à quelle vitesse un patient va récupérer. Donc ceux qui ont une forme de détresse avant une chirurgie tendent à signaler plus d’inconfort après leur chirurgie, quel que soit le type de chirurgie.
Le 2e article provient de l’University de Dalhousie à Halifax.
Leurs résultats démontrent une incidence d’un dérangement neurosensitif d’environ 12% après un an. Les patients de moins de 30 ans ont moins de problèmes de déficit sensoriel que les patients âgés de plus de 35 ans.
Je n’ai pas trouvé d’articles au sujet de la perte de sensibilité après une EPRAC et 5% des cas (1/20) me semblent beaucoup.
En conclusion, soyez positif.
Merci bcp pour ces réponses encourageantes!
Je vous remercie pour l’article.
Bonsoir Docteur ,
J’ai subi une ostéotomie le 16 Octobre dernier , très peu inconvénients sauf biens sur d’être limité dans la nourriture .
Justement avez vous des informations sur la durée pour pouvoir retrouver la possibilité de manger normalement et d’ouvrir la bouche comme avant ? et cette intervention reduiser la distance entre le palais du bas et celui du haut
j’ai l ‘impression de pouvoir moins bien manger qu’avant à cause du manque de place dans la bouche si je peux m’exprimer ainsi
merci d’avnace pour vos réponse docteur
cordialement ,
Mr Aissani
Alimentation après une chirurgie
La plupart des patients peuvent s’alimenter normalement 14 jours après leur chirurgie, c’est-à-dire du « manger mou » au « manger solide ». Il est très important d’avoir une bonne alimentation en post opératoire afin de récupérer rapidement. Moins vous mangez bien, plus long et difficile sera votre retour à une vie et une alimentation normale. Vous trouverez sur ce site un guide d’alimentation pour les patients ayant subi une chirurgie orthognathique.
Bonne convalescence.
merci docteur pour vos réponses et la qualité de celles ci
cordialement ,
Bonjour et merci pour votre travail
Mon souci est le suivant je suis retrognathe et j’ai un problème fonctionnelle de Saddam
J’ai 6 millimètre entre la mâchoire du bas et celle du haut plus prononcé côté droit j’ai consulter plusieurs orthodontiste
Qui m’ont tous dit qu’après les bagues la seul façon de repositionner le bas au haut était la chirurgie car j’ai 37ans
En plus j’ai des craquement des fois des blocage au niveau de ma mâchoire côté droit ou c le plus prononcé l’orthodontiste me dit qu’à forces d’usure je risquait de perdre des dents
Et au pire cas manger a la paille ce que conteste totalement le chirurgien qui devrait m’opérer ma question est il vraiment nécessaire d’opérer et si non y a t’il des risque avec l’âge d’aggravation de mon état dont les douleur je le conçois bien en bien évoluer depuis mes 24 ans à aujourd’hui
Si vous avez consulter plusieurs orthodontistes et qu’ils vous ont tous dit qu’une chirurgie orthognathique était nécessaire, alors je présume qu’il est nécessaire que vous ayez une chirurgie orthognathique.
6 mm, c’est à la fois peu et beaucoup en même temps. Je n’ai pas assez d’informations pour proposer quelque chose de différents des spécialistes que vous avez rencontré et qui ont vu votre malocclusion.
Pour les mêmes raisons, je ne peux commenter sur les risques d’aggravation ou de non aggravation de votre état.
C’est à vous de faire confiance à l’orthodontiste que vous choisirez et de prendre la décision de ne rien faire, ce que vous semblez avoir fait depuis les 13 dernères années, ou de prendre le taureau par les cornes et de régler votre problèmes.
Bonne chance.
Bonjour,
Tout d’abord, je tiens à vous faire part de toute mon admiration et mon respect. Tous les médecins devraient être à l’écoute de leurs patients comme vous l’êtes.
Je vous écris car j’ai débuté un traitement orthodontique il y a deux mois. Une opération d’avancée mandibulaire et éventuellement d’impaction du maxillaire est prévue. Apparemment, la décision concernant le maxillaire ne sera prise qu’au dernier moment. En attendant, je viens de me faire extraire les dents 15, 25, 34 et 44.
J’ai eu l’occasion de beaucoup discuter avec mon chirurgien, mais quelques questions persistent…
– comment se passe la respiration en post-opératoire ? Ayant souvent le nez bouché, j’ai une peur bleue de me retrouver les dents liées, le nez très encombré et du sang plein la gorge…
– selon mon orthodontiste, je serai prête pour la chirurgie +/- 2,5 mois avant mon examen final de dernière année de médecine (reprenant toute la matière des 4 dernières années…). Pensez vous qu’il serait possible pour moi de me remettre de la chirurgie et d’être apte à étudier « à fond » pendant les 2-3 semaines précédant mon examen ? Sinon, il faudra que j’attende les vacances, 6 mois plus tard (pénible, avec un appareil lingual….)
– je souhaite également effectuer une rhinoplastie afin de supprimer la bosse osseuse de mon nez, et d’en affiner le bout. Serait-il plus ou moins judicieux de le faire avant ‘à chirurgie maxillo-faciale ? J’imagine qu’il faudrait attendre le changement de visage du aux modifications du maxillaire, mais si il s’agit juste de la bosse, est elle également influencée par la chirurgie du maxillaire ?
Merci d’ avance
Merci pour vos bons mots.
Je prends note de votre plan de traitement chirurgical qui pourrait inclure une ostéotomie Le Fort 1 du maxillaire en plus d’une ostéotomie d’avancée mandibulaire.
Je vais répondre à vos questions dans l’ordre.
1- Je ne sais pas si les soins post opératoires reçus en France se comparent au protocole de soins de ma région. Ici, les infirmiers et infirmières en salle de réveil sont entraînés à répondre à tous les patients qui ont subi une chirurgie orthognathique. Le patient est traité « aux petits oignons » comme on dit. Le patient restera intubé durant les premières heures, généralement 24 heures. Ensuite il y aura une lunette nasale pour l’alimentation en oxygène. Il n’y a peu ou pas de raison que vous ayez le nez encombré. S’il advenait que vous ayez les dents liées et s’il advenait une urgence nécessitant le dégagement des mâchoires, le personnel hospitalier saura vous prendre en charge.
2- Si vous êtes en période de préparation intense d’examen final de dernière année, la priorité va à la préparation et à la réussite de votre examen. La chirurgie peut attendre. J’ose espérer que vous ne serez pas contrainte d’accepter une date qui ne vous convient pas du tout. Les chirurgiens avec qui je travaille sont très accommodants sur ce genre de choses.
3- Il faudrait consulter un orthorhinolaryngologiste. J’ai vu des patients se faire opérer le nez avant leur chirurgie orthognathique, d’autres après. S’il ne s’agit que d’une bosse sur le nez, je crois que vous pouvez le faire avant. Mais si c’est fait après, sachez qu’il n’est jamais trop tard pour bien faire. Si vous avez une obstruction nasale du genre déviation de la cloison nasale qui nuit à une bonne fonction respiratoire nasale, alors je vous recommande de faire votre opération (septorhinoplastie) avant votre chirurgie orthognathique.
Bonne chance.
Bonjour Docteur,
J’ai un gros souci avec ma mâchoire supérieure.
Aprés avoir subi un traitement d’orthodentie , j’ai subit 2 chirurgies orthognatique, la 1ère le fort1 pour reculer entièrement la machoire( tout en maintenant l’appareil dentaire), et une 2ème ostéotomie pour reculer une partie jusqu’aux 1 ere prémolaires ( aprés avoir enlever l’appareil).
Aujourd’hui ma machoire est toujours en avance et j’ai encore un sourire gingival flagrant.
Mon chirurgien a proposé un recul(ostéotomie) jusqu’aux prémolaires restantes ( il faudrait les enlever). qu’il estime de 3 à 4 mm tout en pratiquant une impaction maxillaire pour réduire le niveau de gencive.
Je vous demande , si cet écart de 3 -4 mm , vaut la peine de subir une telle chirurgie?
Sinon avez vous d’autres propositions pour résoudre ce problème qui me gâche la vie?!
Ademdum:
Envoyé le 21/08/2013 à 7 h 42 min
Je porte votre attention également au fait que j’ai un menton trop en arrière qui me semble trés disgracieux, mais mon chirurgien m’a dit qu’il faudrait faire le recul de la machoire sup et injecter un peu de graisse niveau menton pour camoufler le décalage machoire supérieure\menton existant.
Par ailleurs j’ai consulté un autre chirurgien qui m’a proposé une profiloplastie sans toucher à la machoire supérieure.
Vu que j’ai subit plusieurs types de traitement , je suis entrain de réfléchir avant de proçéder à quoi que ce soit.
Je vous prie de me donner votre avis( reculer la mâchoire supérieure encore ou faire une opération de génio)
J’adore votre site et je vous remercie infiniment pour le temps que vous mettez à la disposition des gens:)
Sincères salutations.
Ilhem
Merci d’avance!
Ilhem
Bon matin, Ihem
La 2e partie de votre question est très révélatrice de votre problème. Vous dîtes avoir un menton trop en arrière.
Là où je trouve que ça ne tient pas la route, c’est que les chirurgiens que vous avez rencontrés vous recommandent de reculer votre mâchoire supérieure alors que cette procédure aurait été faite lors d’une première intervention.
D’abord, je ne crois pas qu’il soit possible de reculer un maxillaire supérieur dans son ensemble avec une ostéotomie Le Fort 1, car il n’y a pas de place anatomiquement pour reculer le maxillaire. Les lames ptérygoïdes de l’os sphénoïde sont une barrière infranchissable.
On peut par contre reculer une denture proéminente sur un maxillaire en procédant à l’extraction de 2 prémolaires et en reculant les dents antérieures dans l’espace d’extraction. La meilleure façon de le faire est de le faire orthodontiquement, mais cela peut se faire chirurgicalement quoique je ne suis pas en faveur de cette dernière option. Mais il y a déjà 2 prémolaires d’extraite dans votre cas, alors on oubli cet option.
Donc, si je comprends bien, on vous a déjà enlevé 2 prémolaires au maxillaire et on vous proposerait d’en enlever 2 autres. Ça n’a pas de sens. Refuser cela.
Je ne comprends pas que personne ne vous ait parlé d’une ostéotomie d’avancement mandibulaire et d’une génioplastie d’avancement.
En conclusion, ne touchez pas à la mâchoire supérieure. Considérer un avancement mandibulaire (s’il un y a un écart entre les dents supérieur et inférieur) et une génio d’avancement pour corriger le menton déficient. S’il n’y a pas d’écart entre les dents du haut et du bas, une génioplastie d’avancement pourrait suffire.
Bonjour,
Non je n’ai eu aucune réponse à mon hémorragie Dr CHAMBERLAND.
La seule réponse que l’on ma donné est que je suis un cas exceptionnel et que je n’avais aucune plaie ni souture qui aurait laché au niveau de ma bouche. Ils ne voit pas du tout d’ou sort tout ce sang et ce sont contenté de me transfusé et de me dire que tant que le sang ne coule plus ils leur est impossible de savoir d’ou il est sorti. je vous envoi par email des photos du sang perdu ainsi que de ma béance actuelle.
J’ai été opéré par le DR WILK astrid c’est une professeur d’université et elle est considéré comme premiere chirurgienne de france maxillo-faciale à strasbourg.
Je suis vraiment tres inquiète et je redoute de devoir me faire réopéré au vu des complications que j’ai eu et de la douleur.
J’ai peur d’avoir la machoire de travers alors qu’avant l’opération j’étais tout a fait normal(mis a part le menton fuyant et la mandibule legerement en recul).
Merci pour votre réponse docteur
Je m’excuse du délai de réponse. J’avais reçu votre commentaire juste avant mon départ pour les vacances et je l’ai retrouvé en faisant le « ménage » des anciens courriels.
Je souhaite que vous alliez mieux et que votre condition se soit améliorée.
Bonne journée
Bonsoir docteur,
J »ai subi une ostéotomie bilatéral avec génioplastie il y a environ 3 semaines avec greffe osseuse que l’on ma pris au niveau de la hanche.
1 semaine apres l’opération j’ai chez moi perdu 1 litre de sang par la bouche et les pompiers sont intervenus et j’ai été transfusé. La chirurgienne qui m’a opéré me dit que je suis un cas exceptionnel et qu’elle ne voit pas d’ou j’ai perdu tout ce sang car je n’ai aucune plaie dans la bouche et qu’elle n’a jamais vu sa. j’ai également de forte douleur à la tete mais surement causé par les élastique qui me tire beaucoup la machoire.
Ma bouche ne se ferme pas vraiment et ne s’ouvre pas beaucoup également et je n’ai pas retrouvé me dents . ma machoire est totalement de travers. j’aurais souhaité plus de précisions.est-il possible apres une telle opération d’avoir un probleme de machoire? j’ai une grande béance.
Bien cordialement
Ciel!
Si vous avez perdu du sang (1 litre que vous dîtes) à un point tel que vous avez dû être évacué par des pompiers, c’est que ça ne va pas bien du tout!
SI vous avez perdu tant de sang, c’est qu’il y avait un vaisseau sanguin qui fuyait quelque part. Avez-vous eu un hématome (un bleu) à un endroit inhabituel? Avez-vous eu des selles noires? Si tel fut le cas, c’est qu’il y a eu hémorragie.
Preniez-vous des médicaments avant votre opération? Avez-vous pris de l’Aspirin après?
Les élastiques ne donnent pas ce genre de douleur.
Que voulez-vous dire par « ma mâchoire est totalement de travers? »
Il est tout à fait anormal que vous ayez une grande béance après votre opération.
Quel genre de formation a votre chirurgienne?
J’ai beaucoup de difficulté avec l’argument « cas exceptionnel ». Ça ressemble trop à une excuse. Des complications post opératoires sont possibles, mais ces complications sont généralement explicables.
A-t-on résolu votre problème d’hémorragie?
Il faut en savoir plus.
J’ai vu mon chirurgien, et j’ai en effet eu toutes les réponses à mes questions.
Il sait qu’il est possiblement le seul au Québec à encore utiliser ce type d’ancrage. Il m’a mentionné 2 autres chirurgiens qui travaillent sensiblement comme lui, en France et aux États-Unis, mais très peu le font.
Il les installe dans tous les cas où il y a Le Fort 1. On doit garder la plaque 11 semaines lorsqu’il y a aussi expansion palatine, sinon c’est 7 semaines. Il s’est rendu compte qu’il y avait des cas où la guérison pouvait être fibreuse lorsqu’il n’y avait pas suffisamment d’ancrage, il ne prend donc plus de chance. Comme il le dit, si ça marche, pourquoi changer? Il n’est pas convaincu que les plaques et vis soient suffisant, vu les cas de guérison fibreuse qu’il a vues.
Il m’a dit qu’il y a plusieurs choses qu’il fait que les autres chirurgiens ne font pas, mais que dans ses mains à lui, ça fonctionne bien, il a sa façon de faire en d’autres mots, et il ne suit pas nécessairement ce qu’il est écrit dans les livres.
Par exemple, il ne fait jamais d’EPRAC, et ce, peu importe le cas. Ça évite au patient une deuxième chirurgie, et le fait que la plaque est conservée 11 semaines réduit de beaucoup la récidive qu’il y aurait autrement (et qui est sûrement indiqué dans la littérature en général).
Il va aussi procéder à l’extraction des dents de sagesse en même temps que la chirurgie, plutôt que 6 mois avant comme le recommande la littérature, et ça ne cause jamais de problème entre ses mains.
Il a aussi une technique spéciale pour le fractionnement du palais où il laisse la fracture se faire seule jusqu’aux canines, plutôt que de couper, et il dit obtenir de très bons résultats.
Dans mon cas, il n’a pas eu à avancer ou reculer ma mâchoire supérieure, juste la descendre de 2mm à gauche pour la symétrie (en plus de
l’expansion).
Mon chirurgien, le Dr Ricard est certes celui dont tout le monde parle tellement il est consciencieux. Je me dis qu’il devrait y en avoir plus comme lui, il a sa façon de faire, c’est différent de ce qu’on enseigne, mais il le fait vraiment bien (même si je suis prise avec une plaque pour encore 4 semaines et des fils dans les joues). J’ai déjà subi un traitement d’orthodontie mal fait dans mon adolescence, alors maintenant je suis prête à faire ce qu’il faut pour que mon problème soit réglé pour de bon, même si c’est un peu plus compliqué.
Esther
Merci de vos précisions
Il est le seul au Québec à le faire. Voilà qui explique ma surprise. À Qc, je ne vois vraiment pas cela souvent. Comme je l’ai dit, ça ne veut pas dire que ça ne se fait pas ailleurs ni que c’est mauvais de la faire.
Je partage son opinion sur le sujet de la stabilité de l’expansion sur un Le Fort 1. Les recherches ont démontré que c’est l’expansion d’un maxillaire lors d’un Le Fort 1 est la moins stable des chirurgies orthognathiques (voir tableau plus haut dans la page). Et ça explique le besoin de conserver la plaque 11 semaines d’autant plus que si je comprends bien, il a fait 6 mm d’expansion.
Le « dans mes mains, ça fonctionne » est une expression connue et largement utilisée. Moi aussi je fais des choses que d’autres ne font pas et dans mes mains ça fonctionne, mais tous n’ont pas mes mains ou celle du Dr Ricard.
À propos de l’EPRAC, 2 écoles de pensée s’affrontent. Chacune prétend avoir la vérité et à mon avis, tous les 2 ont raison.
J’ai fait une maîtrise sur l’EPRAC qui a mené à 2 articles publiés que vous pouvez retrouver sur mon site.
À Qc, il y a une très forte tendance pour l’EPRAC et une 2e phase chirurgicale. Des confrères continuent de ne jurer que par l’EPRAC, d’autres jurent plus vers les Le Fort 1 en partition. Tous ont de bons résultats.
À propos de l’extraction des dents de sagesse en même temps que la chirurgie orthognathique, c’est supporté par nos collègues de Halifax
(Dr Goodday et Dr Precious). Consulter la page des dents de sagesse sur mon site.
Par contre à Qc, la majorité des chirurgiens préfère le faire avant.
Je vous remercie pour avoir précisé votre situation et je vous souhaite une bonne fin de traitement et une bonne occlusion.
Bonjour
Je suis agée de 32 ans et souffre d’un syndrome algo dystonctionnel de l’appareil manducateur depuis maintenant 5 ans. J’ai rencontrais un chirurgien maxillo facial en France qui lui me propose 2 année d’orthodontie combiné a un avancement de la mandibule, je suis en classe 2 div 2 avec les incisives maxillaire en arrière et un menton concave et bien ourlet. Je trouve cette solution un peu radical . Il pense que l’orthodontie a elle seul ne pourra être concluante du fait que cela provoquera un trop grand décalage entre le maxillaire et la mandibule donc le redressement des dents ne sera pas durable. Le fait d’extraire des prémolaires ne serait pas non plus une solution et bien au contraire dégraderai l’esthétique du visage !!! Je voudrais avoir votre avis sur le sujet car la chirurgie me terrifie ( la douleur, les contrainte alimentaire ect …) est ce vraiment la seul solution ???
en vous remercient par avance pour votre réponse
Je crois à la validité des informations qu’a dit votre chirurgien maxillofacial. Je crois qu’un traitement d’orthodontie combiné avec une chirurgie d’avancée mandibulaire est le meilleur traitement, selon la description que vous faites de votre malocclusion.
Je crois que l’extraction de 2 prémolaires pourrait être très mauvais pour votre profil.
Vous avez le choix entre demeurer comme vous êtes et passez votre vie à vous chercher une solution miracle, opter pour une solution de compromis et passer votre vie à le regretter ou faire le bon choix du traitement orthochirurgie et à vous féliciter de la bonne décision que vous avez prise.
Cessez de tergiverser et agissez.
Bonne chance.
Il est normal d’avoir une plaque occlusale (gaufre chirurgicale) en guise de contention lorsque le maxillaire est partitionné durant un Le Fort 1. Cependant, je suis surpris de lire que votre plaque soit maintenue avec des ostéosynthèses circumnasale ou cirircumzygomathique. Ce genre de fixation n’est plus en vogue ici depuis environ 1998… Avez-vous un traitement orthodontique concomittant?
11 semaines me semblent bien longues d’autant plus qu’il est quasi impossible de nettoyer entre la plaque et les dents. SI vous voyez si peu de renseignements, il se peut que ce soit parce que on ne fait plus cela de nos jours. À Québec en tout cas.
Toutefois, au-delà de l’inconvénient de porter une plaque plus longtemps que normal et qu’il soit impossible de nettoyer en dessous, il est vrai que la correction en largeur de votre maxillaire a plus de chances de s’être stabilisé. Nous avons d’autres moyens, mois encombrant pour atteindre cet objectif et la plaque qui est illustrée ici s’enlève en clinique et pas besoin d’anesthésie.
Je ne peux vous dire à quoi vous devez vous attendre lorsque vous aurez retiré la plaque.
Le but que nous visons, ici, est de remettre la patiente en fonction le plus tôt possible.En espérant que ces quelques explications vous aideront.
Bonsoir.
Ça fait maintenant 7 semaines que je l’ai, et je ne crois pas que j’aurais été prête à la retirer avant, je commence tout juste à sentir que mon palais est plus « solide ». Pour le nettoyage, je fais du mieux que je peux, et j’utilise du rince-bouche.
Je suis de la région de l’Outaouais, et mon chirurgien et mon orthodontiste sont les plus reconnus de la région, donc je ne doute pas de leurs compétences.
La plaque est aussi attachée avec des ligatures, en plus des fils dans mes joues (je vous envoies une photo par courriel). Si cette technique a été abandonnée depuis plus de 15 ans, c’est pour quelle raison? Est-ce que les résultats sont aussi bon sans les fils? Est-ce que je n’aurais pas senti beaucoup de tension sur les sites où il y a eu sectionnement suite au Le Fort 1?
Bref, voici une photo, ça vous donnera une meilleure idée, et si vous le désirez, je peux vous dire ce qu’on m’aura expliqué à ce sujet lors de mon prochain rendez-vous.
J’ai indiqué les fixations squelettiques, la gaufre, les élastiques et les ligatures métalliques reliant la plaque à l’arc orthodontique.
La fonction des ligatures circumzygomatique (probablement circumnasal dans votre cas) est d’avoir un ancrage osseux supplémentaire pour limiter les mouvements du maxillaire sur lequel est retenue la mandibule par les élastiques de fixation.
À Qc, ce sont principalement des fixations rigides (plaque monocorticales et vis) qui sont utilisées, ce qui réduit le besoin de ce genre de fixation.
Cela ne veut pas dire que ce n’est pas correct d’en avoir utilisé.
La durée de vos fixations avec la plaque a sûrement un lien avec la quantité d’expansion obtenu par la partition du maxillaire.
Combien avez-vous eu d’expansion?
Soit dit en passant, vous réussissez à maintenir votre plaque très propre.
Bonjour,
Je viens de subir une chirurgie de la mâchoire, avec allongement du mandibule (4mm), Le Fort 1, et partition palatine. On a abaissé de 2mm à gauche ma mâchoire supérieure qui était croche, et j’ai depuis maintenant 2 mois la fameuse plaque occlusale qui est attachée à des fils qui vont jusque sous les yeux.
Je dois en tout la porter pendant 11 semaines. En effet, mon chirurgien m’a dit qu’avant, on devait la porter pendant 7 semaine, mais que de la porter 4 semaines de plus permettait d’éviter qu’il y ait trop de récidive. Heureusement, je fais avec et il ne me reste qu’un mois.
Je me questionnais à savoir comment j’allais me sentir lors de son retrait. Je serai sous sédation lors du retrait, donc je n’aurai pas conscience, mais je voulais savoir si j’aurai de la sensibilité dans les joues vu qu’un fil aura été tiré là. Je me questionne aussi au sujet de mes gencives, vu qu’elles ont fusionnées autour des fils qui sortent de là. Je vois très peu d’information à ce sujet sur internet, on dirait que les plaques ne sont attachées qu’aux boitiers sur les dents, et non par des fils qui passent dans les joues. Je comprends que ces fils sont la façon optimale de l’attacher, afin d’assurer la meilleure guérison possible des endroits où les os ont été coupés. J’attache mes élastiques après des crochets fabriqués à partir de ces fils, de manière à ce qu’il n’y ait aucune tension sur ma mâchoire supérieure. Est-ce que c’est récent que l’on procède ainsi, ou bien est-ce parce que certains chirurgiens ne procèdent pas de cette façon qu’on voit si peu de renseignement?
Je voulais savoir aussi à quoi m’attendre au niveau de l’occlusion lors que ce sera retiré, et combien de temps ça pouvait prendre avant que je ne sois habituée à ma nouvelle bouche pour pouvoir manger correctement, du moins, mieux que présentement!
Je mange déjà des choses un peu plus ferme, mais pas trop dur, sinon ça fatigue ma mâchoire et c’est douloureux. Dans combien de temps puis-je espérer manger du concombre ou une carotte?
Docteur Chamberland,
Mon orthodontiste et mon chirurgien étant tous deux en congé, je me permets de m’adresser à vous car je suis très inquiète. J’ai lu attentivement vos informations et les réponses apportées sur votre site (très clair) mais je continue de m’interroger sur la position de mes incisives suite à une disjonction palatine effectuée le 14/03 dernier.
Depuis l’arrêt des activations (2/04), je constate que le diastème entre mes incisives, loin de se résorber, a tendance à augmenter légèrement (8mm mesuré le 2/04 et 9mm aujourd’hui). Par ailleurs, j’ai observé que mes incisives étaient « descendues », me laissant craindre un déchaussement de celles-ci. Il ne s’agit pas d’un effet d’optique ou d’une récession de la gencive mais bien d’un « affaissement » visible des dents que je ressens en permanence car elles appuient désormais contre ma lèvre inférieure (ça n’était pas le cas avant la disjonction).
Au-delà de la gène esthétique et des problèmes d’élocution, cela m’inquiète fortement car j’ai l’impression que l’évolution est négative et j’appréhende vraiment un possible déchaussement.
L’écart important entre mes mâchoires (plus d’1 cm) semble handicaper le repositionnement de mes incisives qui sont en quelque sorte gênées par la lèvre inférieure.
Je ne peux malheureusement pas vous joindre de photo actuellement mais auriez-vous un conseil à m’adresser? Avez-vous déjà rencontré cette situation; les dents vont-elles se repositionne malgré tout?
Pour information, j’ai subi l’EPRAC le 14/03, tout s’est très bien déroulé (peu de gonflements, douleurs très supportables…). J’ai commencé l’activation le 25/03 au soir (2 activations) et ensuite pendant 8 jours à raison de 2 activations matin et soir, soit 1mm/jour! Cette disjonction rapide pourrait-elle avoir joué un rôle dans les conséquences que je vous ai décrites?
Je vous remercie d’avance pour votre attention et espère que vous pourrez me rassurer.
Bien à vous,
Je trouve étrange que vos incisives se soient écartées d’un mm supplémentaire après l’arrêt de l’activation.Il est important de garder le site d’expansion entre les 2 incisives bien propre et sans plaque bactérienne.
Le déchaussement se crée s’il y a inflammation et saignement, d’où la nécessité de brosser (délicatement) et de passer la soie dentaire chaque jour. Je vous recommande de communiquer avec votre chirurgien ou votre orthodontiste, mais je ne m’inquiète pas outre mesure.
Le rythme d’activation de 1 mm par jour au maxillaire me semble rapide, ce n’est pas vraiment nécessaire d’aller à ce rythme au maxillaire. Je m’en tiens à 0,5 mm ou 0,6 mm par jour, mais ça ne veut pas dire que 1 mm soit mauvais ou trop.
Sachez que les incisives se rapprochent durant la période de contention suivant la disjonction.
Céline, son EPRAC, son diastème
Céline dit:
Merci de m’avoir fait parvenir vos photos. La séparation observée entre vos incisives est normale à la fin d’une disjonction palatine assistée chirurgicalement.
Les incisives se rapprocheront graduellement en convergeant vers le centre. Elle vous apparaîtront inclinées l’une vers l’autre. C’est normal, les couronnes bougent plus vite que les racines. À 2 mois après l’arrêt d’expansion, votre diastème sera réduit 40-50% par lui-même. Ce sont les mouvements orthodontiques qui vont permettre d’achever la fermeture.
Je conviens avec vous que c’est un passage obligé difficile socialement, mais le résultat d’un beau sourire au final sera votre récompense.
Bonjour,
Je ne sais pas si vous vous souvenez de mon « cas ». Je vous ai écrit vers mai 2012 pour vous poser des questions sur ma genioplastie en partie ratée selon moi car le côté droit de mon menton « ressortait » trop et n’était pas aligné avec ma mandibule. Je vous avais demandé les coordonnées de Sandra pour discuter avec elle. Elle m’a bien aidé, conseillé et m’a permis de voir le chirurgien qu’il lui avait fait sa deuxième intervention. Je voulais donc déjà vous remercier.
Je vous écrit donc pour vous donner des nouvelles et pour vous posez une question. J’ai été voir le chirurgien de Sandra qui est a Paris. Il m’a rassuré en me disant que la genioplastie était bien faite mais que j’avais une asymétrie a la base au niveau de mon menton qui ressortait effectivement du côté droit . Il m’a conseillé de faire des injection d’acide hyaluronique pour combler cela mais ça m’embêtait car cela voulait dire revenir tous les deux ans pour faire ces injections….
J’ai donc revu mon chirurgien pour lui parler de mon rendez vous a Paris et il a compris mes interrogations et on a bien discuté. Il a d’abord envisagé une injection de graisse mais mais après examen, il a décidé de me ré-ouvrir pour « raboter » le côté droit de mon menton, légèrement le côté gauche aussi et faire une greffe osseuse. Cela permet d’avoir un résultat définitif.
J’ai fait cette opération il y a 15 jours et pour l’instant je suis satisfaite du résultat. Même si c’est encore gonflé, je vois déjà que le côte droit est moins visible que l’année dernière.
Par contre, je voulais vous demander comment fonctionne le principe de greffe osseuse sur le visage ? il m’a dit qu’il avait fait une greffe au niveau des endroits ou c’était « creux » et qu’il s’était servi de l’os qu’il m’avait raboté au menton. Je me demande en fait comment il fixe à un endroit l’os qu’il a pris au menton ? Est-ce qu’on utilise dans ce cas un produit pour fixer ? comment je sais que la greffe est bien fixé ? Car j’ai peut de reprendre certaines activités telle que le sport, enfiler un casque de moto….même quand je dors j’ai peur de faire pression et de bouger la greffe osseuse des côtés….je suis un peu parano je pense mais j’ai tellement peur car pour l’instant le résultat me plait et je ne voudrait pas faire les choses mal.
Je vous remercie.
Une greffe osseuse comprend une portion corticale et une portion spongieuse. Le greffon est vissé sur le site donneur et l’os spongieux est pris en sandwich. C’est ainsi que la nutrition et revascularisation du greffon se fait.
Les sites donneurs les plus utilisés sont la symphyse mentonnière, la tablette buccale de la mandibule, l’arcade zygomatique.
S’il n’y a que de l’os spongieux d’utilisé, celui-ci est placé dans une membrane.
Si votre chirurgien n’a placé que les résidus (copeaux) issus du rabotage sans membrane, il y a peu de chances que ceux-ci survivent. Ils seront remodelés ou détruits ou éjectés. S’ils devaient être éjectés, vous retrouverez de petits spicules qui traverseront la muqueuse.
La photo de gauche représente une greffe osseuse au maxillaire et le greffon a été pris dans la symphyse.
bonjour docteur
je voudrais savoir le but de la greffe osseuse sur la radio en exemple à la réponse de jessica car je vois qu’elle est fixée sur le (pré)maxillaire au niveau de l’épine nasale antérieure(ENA) et c’est ce que je voudrais avoir comme retouche suite à une bimaxillaire (supposée être une chirurgie du sourire!!) qui a beaucoup affecté le soutien de mon nez et a ruiné mon sourire ; malheuresement mon chirurgien ne veut rien comprendre et me dit que ça n’existe pas.
En effet, j’ai subit un abaissement de 4mm et avancement 3mm au niveau du maxillaire supérieur ceci a conduit le chirurgien a supprimer l’épine nsale ENA qui s’est retrouvée au milieu de la lèvre blanche supérieure ce qui me paraît tout a fait normal; mais il n’a pas compensé cette perte osseuse ni dans le sens antéro-postérieure (car ENA déborde vers l’avant de quelques millimétres ) ni dans le sens verticale (correspondant aux 4mm d’abaissement)
résultat : une cloison nasale (septum) « flotante », moue et mobile à chaque mouvement ou mimique faciale
quant je souris , et par manque de soutien osseu, le septum est abaissé sous la force exercé par les muscles peauciers particuliérement le muscle abaisseur du septum , ce dernier empêche la lévre supérieure de s’épanoiur convenablement pour exposer les dents maxillaires (sachant que le but était de rajenir mon sourire en affichant plus les dents du hauts que les du bas) en plus , le septum dévit vers la gauche quant je souris grand sous l’action de la lévre et provoque un léger décalage entre le stomion et le milieu inter-incisif.
en palpant la zone de ENA je peyt toucher le septum situé dans lévre sup blanche c’est à dire plus bas que avant l’opération, et pire encore quant je souléve mon nez et bien le septum reste seul tout en bas chose que je n’avait pas avant
je soufre maintenant à cause de ça mais le plus dur c’est l’incompréhension de mon chirurgien ;
par cette intervention je visais une augmentation de la hauteur verticale du maxillaire c’est dire la distance ENA–bord libre des incisifs sup mais malheuresement l’abaissement seul n’a donné aucun résultat au niveau du sourire car les tissus mous et cartilagineux ont suivit le mouvement par manque de soutien osseux, l’abaissement a seulement augmenté la longueur du visage chose que je ne cherchais pas avoir et qui ne me plaît pas surtout avec un sourire de grand-mére.
donc voilà je pense à une solution de greffe osseuse au niveau de l’épine nasale(qui n’existe plus maintenent) comme pour les greffes d’apposition vestibulaire en implantologie sauf que pour moi le greffon déborderait de 4mm pour soutenir et fixé le septum au maxillaire(ENA)
je suis triste mais je garde l’espoir.
merci pour l’opportunité que vous nous offrez via ce site pour raconter ce qui nous chagrine sans être interrompu et mit à la porte.
La greffe osseuse est en prévision d’avoir des implants pour restaurer des incisives manquantes. Je ne crois pas que cela convienne pour votre cas.
Il est normal de couper l’épine nasale lors d’un avancement du maxillaire, car l’avancement du maxillaire retrousse le nez vers le haut. Vous pouvez le constater sur la photo ci-haut. La flèche indique le pri où le nez retrousse. Si l’épine nasale n’avait pas été ruginée, ce serait encore pire et les narines seraient inclinées vers l’avant et le haut.
L’allongement du maxillaire, je devrais dire abaissement dans votre cas, mais le résultat était de vouloir allonger la face, change aussi la relation du nez et des tissus mous.
Je pense que votre problème provient surtout de la façon dont ont été réattachés les tissus mous après l’ostéotomie. Je vous réfère à ma réponse du 26 janvier 2013 concernant le Cinch nasal V-Y.
Soyez prudente avec des greffes dans cet endroit. Je ne suis pas sûr que ce soit indiqué dans votre cas, mais je ne vous ai jamais rencontré.
Bonne chance.
Hannah, si ton probleme n est pas résolu je te conseille d aller voir le dr Deffresnes à paris. Il m’a opéré d’une bimaxillaire, abaissement de 7mm et léger avancement des maxillaires. Tu peux me joindre par mail si tu le souhaites. Bon courage
M. Boudaud, merci de votre offre généreuse. Ce n’est pas la première fois qu’on me parle des excellents services du Dr Dufresne sur ce site. Je porte à votre attention que les problèmes de Hannah remontent à avril 2013, soit plus d’un an. Si elle répond à votre courriel, je vous mettrai alors en communication.
Cher Docteur,
Ma dermatologue n’arrive pas trop a se prononcer donc elle préfére la prudence et attendre au maximum.
Je vous remercie de votre réponse.
Alia
Cher Docteur,
Vous avez un site très intéréssant, merci pour toutes ces informationse.
Je me permet de vous posez une question peut etre pas très banale.
J’ai pratiqué, une généoplastie de l’avancé du menton avec une plaque de fixation,il y a un mois et il me reste un peu d’oedème au menton.
Malheureusement, j’ai une pilosité assez développé et je pratique l’épilation à lazer à YAK pour y remédier.
Est-il risqué de pratiquer une épilation lazer a yak sur le menton et cou à 1 mois de mon opération?
Sinon il y a t-il un délai a respecter après cette opération avant de pouvoir pratiquer ce type de lazer ou peut être attendre de ne plus avoir d’oedème du tout?
Je ne veux surtout pas que ça porte à conséquence à mon oedème qui met déjà pas mal de temps à partir ou autre.
Je vous remercie par avance de me lire
Alia
Je ne suis qualifié pour répondre à votre question. À prime abord, je ne vois pas de problème, mais je vous recommande de demander plutôt à votre dermatologue.
Merci de l’intérêt que vous portez à mon site.
Merci pour ces réponses. Je boucle un traitement d’un mois avec brossettes inter dentaires, dentifrice antiseptique, bains de bouches antiseptiques, alternés avec de l’eau oxygénée et bicarbonate et il y a un mieux mais c’est pas çà.
Alors, je vais retenter comme vous le préconisez un nouveau détartrage complet, maintenant que c’est moins enflammé. Mais je ne souffre pas d’érosion dentaire actuellement.
Je peine à trouver une solution sur ce problème ancien qui démarre souvent entre les incisives sup, et cette zone du palais un peu enflé la matin, là ou la langue pose. Et pour rebondir sur notre sujet ortho d’agénésie, un dentiste m’a confié que j’avais une langue importante par rapport au palais.
Je suspecte que vous respirez principalement par la bouche et peu ou pas par le nez. Cela peut causer une sécheresse de la muqueuse et expliquer en partie l’inflammation le matin.
Je suspecte aussi que vous ayez le palais étroit et pas nécessairement une grosse langue, bien qu’une langue plus évasée soit une possibilité puisqu’il semble vous manquer quelques dents.
Bonne chance dans vos démarches
Bonjour,
je vous remercie pour votre réponse je passerai en consulter un. Après je pense que ces problèmes ne s’arrêtent pas à la cavité buccale. Pour un homéopathe par exemple, une ginvigite ne se résume pas à un problème de brossage, comme le pense tous les dentistes que j’ai pu rencontrer.
« Pour un homéopathe par exemple, une gingivite ne se résume pas à un problème de brossage, comme le pense tous les dentistes »
Votre commentaire est un exemple probant des bêtises et âneries qu’un homéopathe peut dire.
Dès l’avènement du microscope et la découverte des micro-organismes, les théories reliant des « humeurs » du corps causant toutes sortes de maux et les vers causant la carie dentaire comme on le croyait dans l’antiquité ont été réfutées d’emblée.
La gingivite est une irritation et inflammation des gencives dont la cause principale est la présence de bactéries à proximité de la gencive affectée. Il peut y avoir d’autres causes comme une respiration buccale, certaines maladies systémiques mais les bactéries sont toujours présentes.
Si on accepte cette théorie, la meilleure façon d’éliminer la gingivite est d’éliminer l’élément étiologique, soit les micro-organismes et la meilleure façon de le faire est par l’hygiène buccale: brossage et soie dentaire.
Si jamais un type de granule parvient à donner les mêmes résultats, revenez le mentionner sur ce forum car nous seront les premiers à les recommander.
Merci Dr Lemay de cette précision et du rappel historique de la théorie des humeurs et celle des vers causant la carie.
Votre article expliquant la carie est fort intéressant (lien carie dentaire).
Heureusement que la science a évolué.
Je vous remercie pour ces réponses car je souffre de gingivites également. Mais il y a des éléments extérieurs qui favorisent cet état sinon tout le monde en aurait ou pas. Le reflux gastrique, l’acidité par exemple.
Merci en tous cas.
Le reflux gastrique est un terme qui signifie que du liquide gastrique (qui provient de l’estomac) remonte dans la bouche. Ce liquide est acide. Cette acidité de la cavité buccale cause de l’érosion dentaire tel qu’indiqué sur la photo ci-contre. Remarquez les obturations en amalgame qui semblent sortir de la dent. En fait, c’est l’émail avoisinant l’amalgame qui a été dissout par l’acide gastrique. Lorsque l’émail est dissous, la dentine est exposée à son tour (ilot jaune). Or la dentine est plus molle que l’émail et se dissout encore plus rapidement.
Je vous recommande la lecture de mon blogue sur les boissons gazeuses et l’érosion dentaire. L’article saura vous intéresser. Vous y trouverez qu’un des moyens recommandés pour se défendre contre l’érosion est:
Brosser les dents pour une durée de 2 minutes après chaque repas et au coucher. Utiliser des dentifrices fluorures. Utilisez la soie dentaire chaque jour le matin ou au coucher.
J’ai aussi mis un lien de téléchargement de l’article « Dental Erosion and Its Growing Importance in Clinical Practice. »
Je vous en recommande la lecture.
Bonsoir Docteur Chamberland,
Tout d’abord un grand merci pour tout l’enrichissement apporté suite à nos échanges par mails. Comme je vous l’ai dis, votre site et nos échanges m’ont énormément instruite sur la génioplastie et aider à évaluer mon cas personnel. Je me permet d’insister sur une question svp, Peut-on s’exposer et bronze à notre aise au soleil d’un pays très chaud comme la thaillande, ceci après une génioplatie dantant de 3 semaines? je précise qu’il n’y a plus d’hématome mais il reste de l’oedème.
Cordialement
Désolé pour le retard d’afficher cette réponse, mais je vous avait déjà écrit en privé et je vous avais dit que oui, vous pouvez vous exposer au soleil. Je vous avait cependant recommandé de mettre de la crème solaire à forte protection contre les UV.
En souhaitant que tout aille bien pour vous depuis votre opération.
Bon été.
Cher Monsieur,
J’espère une réponse car il est vrai que des avis sont difficiles à obtenir.
J’ai eu une agénésie des 2 incisives latérales supérieures et j’ai longtemps, pendant l’adolescence, porté des appareils, ce qui n’a pas arrangé ma manière de sourire. On me l’a volé en fait. 😉 Je n’ai donc pas le sourire que j’aurai du avoir puisque tout a été rapproché pour combler des vides, et à 40 ans (vous disiez que les chairs tombent…), on ne voit pas trop mes dents lors de conversations, ce qui donne un aspect pas très chouette. C’est la zone des prémolaires qui rentrante , notamment sur le côté droit jusqu’à la largeur d’une prémolaire au plus.
Bon je ne souhaite pas d’opérations car cela ne m’empêche pas de vivre, mais peut on y faire quelque chose esthétiquement;
D’autre part, mon ostéopathe incrimine ce traitement au basculement, lors de ma croissance, du bas de la colonne et à des maux divers, colonne, uro.)
(Il m’a parlé d’un appareil récent à mastiquer déjà pour débloquer la zone sinus..)
Merci pour vos conseils.
Je vous encourage à consulter un orthodontiste et obtenir une évaluation complète. C’est certain qu’il y a quelque chose à faire, mais je n’ai pas assez d’informations pour vous proposer quoique ce soit.
Quand à votre ostéopathe, je suis à chaque fois étonné des âneries et des bêtises que ces gens peuvent dire!
Bonsoir Docteur Chamberland,
Je souhaite simplement vous féliciter et vous remercier, car je suis admiratrice et respectueuse de votre site.
J’ai pour habitude de lire, sans m’attarder à laisser de commentaire sur les sites mais le votre mérite du respect pour tout le temps, l’attention, l’implication, réponses, informations apportés aux gens.
J’ai fais une génioplastie pour menton fuyant, avec une plaque en titane je crois, le 21.02.13 en ambulatoire. Ce qui m’a amené à chercher des infos sur la génioplastie et je suis tombée sur votre site.
Je suis un peu déprimée car j’ai peur du résultat, je me suis lancée sans vraiment m’informer sur le sujet sous les conseils d’une copine. J’ai pas énormément souffert avec les médicaments contre la douleur et antibiotiques mais je ne m’attendais pas à être autant gonflée et perdre la sensibilité de ma lèvre et dents inférieurs, et menton. Aussi, je me trouve horrible pour l’instant. je trouve mon menton disproportionné à mon visage,je sens des fourmillements en éspèrant que c’est un signe que l’oedème s’en va et que je vais retrouver la sensibilité de mes lèvres, dents et menton.
J’ai le menton qui part sur la gauche aussi mais je l’ai toujours eu car j’ai une petite asymétrie du visage sauf que mon chirurgien devait me recentrer l’os du menton afin de corriger un peu cela et surtout pas l’empirer.
J’ai rendez-vous avec mon chirurgien demain, j’éspère qu’il me dira qu’il a fait tout ce qui était prévue et que ce n’est qu’à cause du gonflement que j’ai cette impression de menton toujours décalé et disproportionné car gros et long…qu’il me préscrira aussi quelque chose pour faire partir l’oedème.
J’ai pu lire qu’on prescrivait de l’arnica et des séances de kiné pour l’oedème mais lui ne m’en a jamais parlé et a noté sur l’ordonnance « pas de bain de bouche pendant les 3 premiers jours », hors j’ai lu que les bain de bouche était indispensable après l’opération mais peut etre qu’il faut attendre au moins 3 jours pour en faire… je verrais bien ce qu’il va me dire et j’éssaie de pas trop m’alarmer pour l’instant sachant que j’ai lu aussi qu’il faut attendre au moins 1 à 3 mois pour voir véritablement le résultat.
Merci pour votre site en plus tellement instructif
Cordialement
ADDENDUM:
Envoyé le 27/02/2013 à 6 h 38 min
Bonjour Docteur Chamberland,
Petite rectification, c’est plus ma lèvre inférieur qui est un peu décalée sur la gauche, le menton je ne sais pas trop.
Par contre, le but de cette intervention était aussi fonctionnel pour une bonne occlusion des lèvres car j’avais les lèvres entre ouverte au repos et devait faire un mouvement forcé pour les avoir fermé, ce qui amenait mon menton a se fripper.
Hors aujourd’hui, mes lèvres restent plus entre ouverte que jamais, surtout le côté gauche mais c’est vrai que ce côté la est plus déssenflé. Aussi, avec l’oedème essentiellement sur le menton,je ne peux même pas forcer pour les fermer. Enfin, j’éspère que mon chirurgien que je vois a 16h30, me dira aussi que c’est à cause de l’oedème et dès qu’il sera parti, mes lèvres resterons belle et bien fermé au repos, sans décalage ou autre…
Bonne journée à vous,
Cordialement
Bon matin,
Votre opération a eu lieu de 13 février dernier et votre question date du 26 février. Il est normal d’avoir de l’oedème durant les 14 à 21 jours suivant l’opération.
Dans la section FAQ de ce site, il y a une page intitulée « Conseils postopératoires ». Ce sont les conseils que les chirurgiens du département de chirurgie buccale et maxillo-facial de l’hôpital de l’Enfant-Jésus remettent aux patients qui subissent une chirurgie maxillofaciale.
Vous pouvez y lise ceci à propos de l’enflure et des engourdissements:
Œdème (enflure), engourdissement
La chirurgie buccale et maxillo-faciale entraîne généralement un certain degré d’enflure, des ecchymoses ou des engourdissements. Ces phénomènes atteignent leur point culminant en 48 ou 72 heures et disparaissent après 7 à 10 jours. Toutefois, les engourdissements pourront durer quelques semaines et parfois même quelques mois.
Pendant votre hospitalisation, la tête de votre lit est surélevée de 30° à 45°. À la maison, tant que durera l’œdème, utilisez au besoin plus d’un oreiller pour dormir. Pour résorber l’enflure, appliquez de la glace pendant les premières 48 heures; ensuite, il faudra plutôt recourir à la chaleur humide : appliquez des compresses d’eau chaude.
Je ne connaissais pas l’Arnica jusqu’à ce jour. Je serai donc moins ignorant grâce à vous.
C’est une plante anti-inflammatoire qui travaille sur la circulation sanguine afin d’éviter l’apparition des bleus (ou les faire disparaître rapidement). Très efficace, on l’utilise surtout en huile et en onguent. C’est une plante à utiliser en externe seulement, car en interne elle accélère dangereusement le rythme cardiaque. Pour cette même raison, il ne faudra pas l’appliquer sur des plaies ouvertes. On retrouve Arnica Montana, mais voici la photo de notre arnica américaine qui est tout aussi efficace. Source: Marie-Christine Vallières; http://www.lesamesfleurs.com .
Cependant j’ai aussi trouvé ceci concernant l’efficacité de l’Arnica dans le traitement des ecchymoses et de l’oedème facial:
Recherches sur l’Arnica:
Ecchymoses. Au cours d’un essai préliminaire, l’arnica n’a pas fait mieux qu’un placebo pour prévenir la formation d’ecchymoses consécutives à une chirurgie faciale au laser ou pour contribuer à leur guérison. Reférence: Alonso D, Lazarus MC, Baumann L. Effects of topical arnica gel on post-laser treatment bruises.Dermatol Surg. 2002 Aug;28(8):686-8.
Ce qui m’inquiète dans votre cas, c’est que vous mentionnez que vos lèvres sont plus ouvertes que jamais et que la lèvre inférieure est décalée vers la gauche.
Tous les cas de génioplastie que j’ai vus dans ma pratique avaient une occlusion normale ou quasi normale des lèvres, et ce malgré l’oedème.
Je désire préciser qu’une incompétence des lèvres (absence de contact labial au repos) n’est souvent pas le fait d’un seul problème dû au menton. Il y a souvent une malocclusion dentosquelettique ou une difformité maxillo-mandibulaire associée. Lorsque je recommande une génioplastie en tant que procédure isolée, c’est que mes patients ont terminé ou sont sur le point de terminer (< 3 mois) leur traitement d’orthodontie et que leur occlusion dentaire est parfaite, que le maxillaire est orthognathe dans les 3 plans de l’espace, que la mandibule est orthognathe, mais que la symphyse est hypoplasique (fuyante) et ou en excès vertical.
Bonjour docteur,
j’avais il y a 2-3 ans un menton fuyant et une mandibule en retrait.
Apres avoir utilisé 2 appareils orthodonthiques, mon profil c’est rééquilibré, ma mandibule a avancé.
Le problème c’est que maintenant, de face cela me fait un visage trop fort, (trop grand, trop gros)
j’aimerai remédier à sa, quelles sont les solutions ?
C’est impossible de répondre à ce genre de question sans avoir rencontré le patient et procédé à un examen clinique.
Désolé.
Bonjour docteur
Suite à une resection excessive de l’epine nasale antérieur, est il possible de la « restaurer » par greffe osseuse ou implant??
si oui comment se déroule l’intervention et quel site donneur est le optimal?
merci
Je ne sais pas s’il est possible de restaurer une épine nasale antérieure par greffe osseuse. EN fait, je doute que cela soit possible.
Je vous recommande de demander à un chirurgien buccal et maxillofacial.
Bonjour,
J’ai eu une expansion palatine quand j’étais jeune. 15 ans plus tard, en allant chez le dentiste, on me dit qu’il n’est pas assez large. Je me rends donc chez l ‘ortho qui ma traité et me dit qu’effectivement, ma machoire du haut n’est psa assez large pour celle du bas et que ma machoire n’a pas bien évoluée ( grandit en même temps ou de plutot de la meme grosseur). Est-ce possible?
On me propose l’eprac suivi de broches, d’avancement bi-maxilaire ( impaction de celle du haut ( gummy smile léger)) et génioplastie puisque mon profil n’est pas harmonieux ( visage concave) et j’ai un gros menton ( qui cache le fait que ma machoire du bas est reculée mais qui est gros malgré cela, donc très gros si ma machoire était en bonne position). J,ai des problemes de respirations par le nez ainsi que ma langue qui pousse tjs sur mes dent, mes machoires se ferment mal, ( faut que je recule ma machoire du bas pour fermé et c’est difficile, mes dents d’un coté ne se ferment pas bien non plus.) Je n’ai pas encore d’usure marquée, mais semble-t-il que je pourrais avoir des problemes plus tard, mais ce n’est pas assuré non plus ( on ne sait jamais comment nos machoires vont évoluées au fil des ans).
Je sais que l’expansion palatine est vraiment pour la fonctionnalié de mes machoires et par la suite faut des broches. Par contre, la deuxieme opération semble plus esthétique que d’autres choses je crois? la crainte de mon entourage et de mon conjoint est que je fasse une opération esthétique et que je ne me ressemblerai plus. De face, mon visage est bien, de profil c’est autre chose mais on l’accepte apres ce temps. Ils ont peur que ce soit pire ou que trop »artificiel ». Est-ce une peur fondée, est-ce que le visage de face changera beaucoup avec ces opérations? Est-ce que le risque est gros si a 22 ans je n’ai tjs pas d’usures marqué ni de probleme de machoire? Je me dis que j’ai vécu avec cela depuis 22 ans, je pourrai encore une autre 30taine d’année ?
Madame,
J’ai pris connaissance de la description de votre problème. Le plan de traitement que l’on vous propose est tout à fait cohérent avec la description de la malocclusion que vous me faites.
N’ayez crainte pour votre 2e opération, elle sera nécessaire bien plus pour des raisons fonctionnelles qu’esthétiques. Je doute, avec ce que vous me décrivez, que votre orthodontiste puisse obtenir une occlusion fonctionnelle avec seulement une EPRAC. Il est tout à fait vraisemblable que la 2e chirurgie soit une nécessité.
Je porte votre attention sur cette phrase que vous avez écrite: « De face, mon visage est bien, de profil c’est autre chose mais on l’accepte apres ce temps. »
Cela me touche profondément.
Madame, je crois que vous aurez un bénéfice fonctionnel important avec votre traitement orthochirurgie et il est vraisemblable que vous aurez un petit bénéfice « ajouté » dont vous ne pouvez mesurer l’impact en ce moment, mais que vous risquez d’apprécier et de savourer.
Je vous encourage à poursuivre votre démarche dans le sens du traitement proposé.
Je dis cela sous la réserve de la description que vous avez fournie et du fait que je ne vous ai pas rencontré.
Bonne chance.
Bonjour Docteur Chamberland,
Je tenais avant tout à vous remerciez c’est très généreux de votre part de partager vos savoirs et de les mettre à la disposition de nos interrogations.
Voici mon parcours: je suis un homme prognathe de 32 ans. Après 2 ans de travail orthodontiques j’ai subi une ostéotomie de recul mandibulaire de 6 mm et une génioplastie de recul que je ne souhaitais pas.
J’ai pu lire que c’était le cas de beaucoup de personnes opérées en France.
Je n’ai jamais été satisfait de cette opération, je m’en suis réveillé toujours prognathe au niveau de l’occlusion mais avec un menton fuyant de rétrognathe. Mon chirurgien m’a dit qu’il fallait du temps pour s’y faire psychologiquement et physiquement, en bref je lui ai fait confiance totalement. Mais j’ai toujours aujourd’hui (soit 2 ans après cette opération) des séquelles :
Sur un centimètre au niveau de la cicatrice des « chairs emmêlées » comme fibreuse, rouges et qui sont douloureuses, je ne peux pas par exemple passer mon doigt sur le menton ou sur la lèvre à cet endroit sans avoir une sensation désagréable voir douloureuse et cet endroit prend une coloration bleuâtre quand j’ai froid (une partie de la lèvre inférieure et du menton).
Et suite à cette opération un autre problème qui est je pense au niveau des glandes salivaires dans le fond de la mandibule : dès que je mange j’ai une vive douleur du coté gauche au bas de la mandibule durant les premières bouchées cela dure à peu près une minute. Le chirurgien se montrait rassurant à ce propos mais ce désagrément n’a jamais disparu. Peut-être en connaissez vous la cause?
Ça fait un peu plus d’un an que j’ai été débagué mais le problème me saute toujours aux yeux, je ne m’y suis pas fait physiquement malgré toute ma bonne volonté et mon optimisme. Bien sûr cela ne m’empêche pas de vivre ma vie mais ça me mine. En sachant que cette opération a été un petit fiasco comme je suis toujours prognathe mais avec un menton de rétrognathe que me conseillez vous? Quels sont mes recours? Suis-je obligé de repasser par la case orthodontique?
Recevez mes salutations distinguées,
Adam
Monsieur,
J’ai pris connaissance avec intérêt de votre « parcours ».
1- Votre prognathie
La relation de la mâchoire inférieure est décrite par rapport à la mâchoire supérieure. Ainsi, une mâchoire inférieure plus longue que la mâchoire supérieure sera décrite comme une prognathie, mais dans les faits, c’est généralement la mâchoire supérieure qui est sous-développée par rapport à la mâchoire supérieure. Dr William Bell fut l’un des premiers chirurgiens buccaux à recommander une ostéotomie Le Fort 1 d’avancement du maxillaire pour corriger une classe III (relation prognathe) au lieu d’effectuer une ostéotomie mandibulaire de recul.
À Québec, les orthodontistes et les chirurgiens buccaux préfèrent à juste titre procéder à un Le Fort 1 d’avancement du maxillaire. La correction antéropostérieure est plus facile à réaliser et la correction est plus stable. Si vous consultez le tableau de la hiérarchie de stabilité plus haut dans cette page, vous constaterez que l’avancement du maxillaire (maxilla forward) est stable et le résultat prévisible. Le recul mandibulaire (mandible back) est considéré comme ayant une stabilité « problématique » (mauvaise stabilité) et le résultat est « moins » prévisible. Ce qui veut dire qu’il y des cas qui peuvent être stable, mais d’autres ne le seront pas.
Chez les gens classe III, il est peu fréquent que l’ont fasse une génioplastie de recul, particulièrement chez un homme. Car un menton chez un homme ajoute un caractère de « virilité ». Même s’il commence à être âgé, pensez à Arnold Scharzenegger.
Enfin un recul mandibulaire et un recul du menton réduisent sérieusement la projection de la gorge, risque de créer un double menton, compriment les voies respiratoires en reculant la langue et les structures anatomiques ce qui pourrait occasionner de l’apnée.
Vous dîtes que vous vous êtes réveillée et être toujours prognathe. Dois-je comprendre que la relation de vos dents antérieures était encore inversée? Si oui, cela signifie que le recul mandibulaire de 6 mm était insuffisant et qu’un avancement du maxillaire était requis.
Encore une fois, j’ai des patients qui ont eu leur classe III corrigée avec un avancement maxillaire de 6 à 8 mm sans recul mandibulaire ni génioplastie (en supposant qu’il n’y ait pas d’asymétrie inférieure).
2- Vos chairs emmêlées
Est-ce que la cicatrice est intrabuccale ou externe? Les cicatrices intrabuccales sont généralement petites, mais il peut avoir une certaine fibrosité. La sensation désagréable de douleur au toucher sur le menton et la lèvre correspond soit à une paresthésie (perte de sensibilité) et/ou une diesthésie (mauvaise sensibilité) qui se traduit par une sensation de douleur au toucher au lieu d’être juste une sensation de toucher. Il est vraisemblable que le nerf mentonnier a été blessé ou compressé ou étiré ou déchiré, ce qui a altéré la capacité sensitive du nerf. Puisque vous avez eu votre opération il y plus de 2 ans, je crois que votre perte de sensation sera définitive. Les pertes de sensation temporaire (<6 mois) sont fréquentes. Les pertes de sensation permanente le sont moins et les diesthésie le sont encore moins.
Il n'y a pas grand-chose que l'on peut faire contre cela. Ce n'est pas fréquent le patient doit être informé d'un risque de perte de sensibilité AVANT la chirurgie, pas après. Le risque de paresthésie est brièvement évoqué à la page dent de sagesse (voir ce lien).
3- Vos glandes salivaires.
Dès que des aliments entrent dans votre bouche, votre cerveau envoie un signal à vos glandes salivaires de sécréter de la salive. C’est automatique et c’est conçu pour mouiller les aliments. C’est le début de la digestion. Si vous avez une douleur vive lors de la sécrétion soudaine de salive, il se peut que le canal excréteur des glandes sous-mandilaires, appelé canal de Wharton, et dont la sortie se retrouve sous la partie antérieure de langue soit obstrué. La parotide a son canal excréteur dans la joue et s’appelle le canal de Sténon.
Lorsque l’un où l’autre de ces canaux est bouché, soit par un sialolithes (calculs salivaires) ou par une autre cause mécanique, la salive sécrétée cause une distension dans la glande et donne l’effet de « colique ».
Est-ce que cela peut avoir été causé par la chirurgie, ce n’est pas impossible.
4- Que vous conseillez?
Un retraitement orthodontique et une chirurgie d’avancement bimaxillaire et une génioplastie pourraient être indiqués. Sauf que je ne vous ai pas rencontré, je n’ai pas fait d’examen clinique et je n’ai pas de radiographie ni de photos.
Je vous encourage à poursuivre vos démarches et de rencontrer un nouvel orthodontiste lequel pourra vous recommander un chirurgien.
Bonne chance
Bonjour Docteur;
Voilà 4 mois aprés une chirugie maxillofaciale ( avancée et abaissement maxillaire + avancée mandibulaire + génioplastie ),dont je suis trés satisfaite du résultat au repos (statique) , je trouve que mon nez à changer surtout au sourire :
1/ la lévre supérieure ne monte pas comme cela devrait se faire (elle « bute » contre un bout de septum palpable sous la peau resultant de l’abaissement de l’epine nasale maxillaire ) et les commissures labiales montent comme aprés un lifting
2/ la partie mediane du nez est trés basse au sourire alors que les ailes du nez, pommettes, coins de la bouche montent ce donne l’impression de nez epaté !! j’ai toujours reprocher aux narines d’être hautes et rétractées alors que c’est toute la partie « columelle+seuils narinaires+lévre sup » qui est plutôt basse.
3/ la pyramide cartilagineuse n’est pas bien solidarisée au maxillaire :
mon nez participe beaucoup aux mimiques de mon visage, comme s’il est commander par ma lévre supérieure
en plus quand je m’allonge sur le côté il pend suivant la gravité terrestre .
4/ une assymétrie de la forme des narines c’est accentuée aprés l’opération et surtout au sourire ( je dirais plutôt une narine déformée parce que l’autre est parfaite)
Docteur , beaucoup sont comme moi à la recherche de réponses quant au changement du nez aprés opération du
maxillaire (impaction ,disjonction, abaissement, avancée, rotation…. même combinées) .
Faut-t-il plutôt faire une rhinoplastie ou bien des retouches avec le même chirurgien sachant que mon nez etait trés beau (suite à une rhinoplastie) avant la maxillofaciale. et quelles sont les retouches possibles pour remonter la zone de l’epine nesale??
Merci de m’avoir lu en l’attente de vôre reponse veuillez Docteur accepter mes sentiments les plus distingués.
Lorsque le nez est en ptose, le changement est favorable, car il redresse ce bout du nez tombant.
Lorsque le nez est droit, l’avancement du maxillaire retrousse le bout du nez et expose les narines vers l’avant.
Lorsque le bout du nez est déjà haut et que les narines sont déjà vers l’avant, cela retrousse davantage le nez et expose encore plus les narines.
C’est lors de la fermeture du site chirurgical et du rattachement des lambeaux que se décide de la forme nasale. Il faut une grande précaution et une grande connaissance de la manipulation des tissus de la part du chirurgien pour obtenir un résultat esthétique.
Une mauvaise manipulation du tube d’intubation nasale lors de transfert de la salle d’opération à la salle de réveil peut défaire ce que le chirurgien a bien fait.
Je joins un lien d’une vidéo. La fermeture nasale commence à la 8e minute. Observez comment le chirurgien vérifie les tissus mous et les narines.
Retenez aussi qu’après 4 mois, certains muscles peuvent ne pas avoir réappris à fonctionner correctement.
Je ne sais pas si je réponds adéquatement à votre question, mais c’est que je peux en dire pour l’instant.
Oui très bien même. Je comprends maintenant.
Merci pour le temps que vous accordez à nous répondre.
Cordialement
Bonjour Dr,
Je vous remercie infiniment pour votre réponse , mais je n’ai pas compris ce que vous voulez dire par « mais je vous suggère de faire vérifier l’état de vos articulations temporo-mandibulaires (condyles) au cas où il y aurait de la résorption. Cela expliquerait bien des choses. »
Pourriez-Vous m’expliquer ce que cela veut dire .
Merci encore!
Le fait que votre mâchoire inférieure ne soit pas assez avancée malgré les opérations décrites me font suspecter qu’il se produit quelque chose après les opérations. Habituellement, ce « quelque chose » se situe au niveau des condyles de vos articulations. Demandez à votre chirurgien ou votre orthodontiste si vos condyles ont une apparence normale (forme, grosseur).
Bonjour Docteur,
J’ai 24 ans. Mon histoire a commencé depuis l’age de 6 ans ou mes parents ont remarqué que ma mâchoire supérieure a tendance a avancer et a finit par être flagrante du à la malformation intense qu’elle présente : mâchoire supérieure trop en avant , inférieure en arrière et mes dents étaient très mal placées.
J’étais traitée en orthodontie dés l’age de 16 ans , deux ans après j’ai subit une opération maxillo-faciale ayant pour but de reculer la mâchoire supérieure et d’avancer la mâchoire inférieure, tout en gardant l’appareil dentaire.
Après avoir subit un mois et demi de convalescence ( nourriture en liquide , vacances à la maison…), il s’est avéré que la déformation y était encore (quoique moins).
Deux ans après j’ai enlevé l’appareil , mais je sentait toujours ma mâchoire avancée, et j’ai refait une opération visant à reculer une partie de la mâchoire jusqu’aux prémolaires uniquement et à avancer une partie du menton (selon ce que j’ai compris).
Un ans après j’ai subit une rhinoplastie ( vu que mon nez s’est aplati après le recul de la mâchoire) et un ans après une autre rhino de retouche.
Actuellement , l’amélioration est nettement visible ( au prix d’une dizaine d’année presque , vous savez !).
Mais reste quelques point dont je veux discuter avec vous:
1/J’ai remarqué une minime déviation niveau dents (5 ans après avoir enlevé l’appareil), on m’a déconseillé de remettre un autre , et de toucher aux dents vu les encoches,fils métallique et tous ces trucs qui tiennent les mâchoires ). Je vous demande est ce que ça va dévier d’avantage ( j’ai peur de la récidive , je ne veux même pas y penser!)
2/J’ai une coloration bleue au niveau du nez qui apparaît pendant le froid et qui persiste depuis deux ans( on m’a dit que c’est à cause des vaisseaux sanguin agressés à l’opération).avez vous une idée à ce propos?
3/J’ai le menton toujours en arrière ce qui me gâche le profil( surtout que je ne suis pas satisfaite de la rhinoplastie et que je souhaite refaire mon nez).
J’ai consulté un chirurgien qui m’a proposé de faire une profiloplastie ( rhino et génio) et qui m’a dit que ç ava etre la dernière qui m’apporterait la satisfaction totale.
D’un coté je veux bien la subir ( pour etre plus belle , avoir un profil plus harmonieux , des traits plus fins…) surtout qu’à mon avis la beauté est avant tout extérieure( je dis bien à priori , l’intérieure vient après ) je suis même impatiente de la faire .Néanmoins , je crains la surestimation de mon chirurgien surtout après avoir passé des années et des années dans ce sens , et j’ai peur que la génio m’affecterait les dents , je crains le fait de renforcer cette coloration bleue du nez)
Voilà je deviens obsédée quoique hésitante , mes parents me disent que c’est déjà un résultat satisfaisant( à leur oeil) et qu’il ne faut pas se lancer à chaque fois dans le monde du perfectionnement , que chacun a des imperfections… , mais ils m’ont jamais convaincu ! Je me dis que je m’attends à un résultat meilleur tellement j’ai du subir.
Merci de m’aider Dr avec vos conseils précieux , j’ai réellement besoin d’un avis neutre et convaincant.
Merci infiniment
Prudence et réflexion
J’ai lu votre histoire et j’avoue avoir hésité à répondre. Je ne crois pas que je puisse vous être d’un grand secours.
La perception de votre image remonte à l’âge de 6 ans. Vous dites que votre mâchoire supérieure était trop en avant et l’inférieure trop en arrière. Habituellement, on parle plutôt d’une mâchoire inférieure trop en arrière (rétrusion mandibulaire ou classe II division1) et il est plutôt rare qu’une mâchoire supérieure soit trop en avant, même si les dents supérieures sont trop avancées par rapport à la denture inférieure.
Vous avez reçu un traitement orthochirurgie à l’âge de 16 ans qui aurait duré 4 ans (2 ans d’ortho préop, 1 chirurgie, 2 ans d’ortho postop). Déjà là, c’est très en dehors des durées normales des traitements orthochirugies que reçoivent mes patients.
Vous dîtes avoir reçu une autre chirurgie visant à reculer le maxillaire et une génioplastie.
Je doute que les mouvements sur le maxillaire aient été des mouvements de recul. Il est vraisemblable que cela ait été des mouvements vers le haut (impaction) et de rotation.
Vous dites que vos dents ont recommencé à dévier et me demander si cela va continuer. C’est impossible de répondre à cette question sans vous avoir rencontré et sans avoir vu la malocclusion originale.
Même remarque pour votre coloration bleue.
Vous considérez que votre menton est trop en arrière malgré 2 opérations. C’est possible, mais je vous suggère de faire vérifier l’état de vos articulations temporo-mandibulaires (condyles) au cas où il y aurait de la résorption. Cela expliquerait bien des choses.
J’ai un problème avec votre affirmation que la beauté est avant tout extérieure. Je ne partage pas votre opinion, mais je respecte que vous en ayez une différente de la mienne. Mais prenez garde. Il y a toute une différence entre « paraître » et « être ».
Je crois que vos parents, qui vous aiment, j’en suis certain, font preuve d’une grande sagesse en voulant vous rassurer que tout n’est pas parfait.
Bonne chance
Bonjour Dr,
J’ai subi une génioplastie d’avancement par implant Medpor de 7 mm. Le résultat de profil est très satisfaisant, de face également sauf que j’ai deux légers trous de chaque côté du menton au niveau des points d’insertion.
Cela fait 17 jours que j’ai été opéré et je voulais savoir si ces deux légers creux vont disparaitre et si ce n’est pas le cas ce que l’on peut faire pour y remédier.
D’autre part j’ai une baisse de sensibilité au niveau du dessous du menton juste devant la cicatrice qui est externe la température est également un peu élevée au niveau de la cicatrice mais pas d’infection à priori car pas gonflé et pas de douleur interne.
Merci
Ce n’est pas de l’ostéointégration. Le matériau est donc, au mieux, envahi par du tissu « fibreux » et « vasculaire » et non « osseux ».
Je doute que les légers trous puissent un jour disparaître, mais je ne m’y connais peu ou pas en matériau « allogène » ou « alloplastique ».
En ce qui concerne la perte de sensibilité, c’est normal qu’après seulement 17 jours, il y ait un déficit sensoriel, que le site soit plus chaud au niveau de la cicatrice et qu’il y ait de l’oedème. Votre condition devrait s’améliorer durant les 3 prochains mois.
Bonjour Dr.
Bon alors la je dois reconnaitre que je suis impressionné par la rapidité de votre réponse ! je trouve cela vraiment génial de votre part de prendre sur votre temps pour répondre à tous ces gens et à moi même… cela vous honore !
Je me permets de revenir sur le MEDPOR… après avoir lu pas mal d’articles sur ce matériau, et notamment des études américaines, il semblerait que le diamètre des pores de ce matériau soit suffisant pour qu’il y ait colonisation par les fibroblastes musculaires mais également par l’os. Ce qui n’est pas le cas du Gore tex …
Le silicone semble également à proscrire d’après les dernières études car en plus du problème de migration puisque l’implant n’est pas fixé, il semblerait qu’il y ait un phénomène de résection de l’os en contact avec ce matériau ce qui diminue sont efficacité à long terme et peut provoquer des problèmes au niveau des racines dentaires…
Pour revenir à mon cas, pensez vous que si ces deux légers trous de chaque côté de la mâchoire ne disparaissent pas après 3 mois, il soit possible d’injecter un produit de comblement pour retrouver une continuité de l’ovale du visage…est ce que le fait de masser les zones molles autour peut provoquer une migration graisseuse susceptible de combler ces légères dépressions ?
Cordialement
Bonjour Ludovic,
La porosité du matériau en polyéthylène permet la colonisation de fibroblaste dans l’implant allopastique. C’est cette colonisation qui permet à l’implant une certaine fixité sur l’os contrairement aux implants lisses qui ne permettent pas aucune colonisation cellulaire. Les implants lisses (silicones) sont donc « encapsulés » par une membrane fibreuse au lieu d’être colonisé par des cellules fibreuses. Ces fibroblastes ne se transforment toutefois pas en ostéoclastes et c’est pour cette raison que l’implant alloplastique ne devient pas ostéointégré.
Si je traduis librement la référecene ci-haut, on parle d’une membrane de tissue conjonctif contiguë avec le tissu interstitiel qui a proliféré dans l’implant. On parle d’incorporation « relative » et nullement d’ostéointégration. Désolé de vous décevoir, mais il n’y aura pas d’os dans votre implant.
Le rôle des membranes de Gore-tex est tout à fait différent. Le but de ces membranes utilisées principalement dans les chirurgies parodontales est de bloquer la migration de fibroblastes sous cette membrane. Le but étant que les ostéoclastes provenant de l’os médullaire puissent proliférer et coloniser le site parodontal AVANT les fibroblastes. Le but est dont de favoriser la régénération osseuse et corriger la perte osseuse du défaut parodontal.
Pour revenir à votre cas, sachez qu’une migration de cellules adipeuses (graisseuse) ne peut signifier qu’il y aura de l’os un jour et injecter un produit de comblement me semble corriger une erreur en faisant une autre erreur. C’est comme mettre de la peinture sur une planche de bois cotie.
Je ne suis pas chirurgien plasticien, je suis orthodontiste.
JAMAIS je n’aurais recommandé autre chose qu’une VRAIE génioplastie telle que décrite au lien 1 et au lien 2 de cette même page. Je peux vous décrire avec précision ce qui se passe lors de la guérison d’une génioplastie autogène, mais je m’y connais moins dans le cas des implants mentonniers allogènes.
Je vous recommande donc de vous informer auprès de votre chirurgien.
Encore une fois merci pour votre réponse Dr.
Effectivement la migration osseuse sur un implant Medpor est assez limitée. Les deux creux dont je vous parlais sont visiblement et au touché dus à un manque de graisse au niveau des insertion de l’implant… De part et d’autre on retrouve de la graisse… je masse depuis 3 jours ces deux zones et il semblerait que les deux creux s’atténuent de jour en jour; j’ai pu observer que la peau à ces deux endroit reprend de l’élasticité et du volume, donc j’ai bon espoir d’uniformiser le contour de mon visage.
La méthode que vous préconisez pour une avancée du menton ne me satisfaisait pas car je souhaitais également augmenter la largeur de mon menton ainsi que sa hauteur… ce qui n’était pas non plus possible avec un implant en silicone.
Aujourd’hui mes craintes sont un rejet, une infection, et la longévité de ce matériau. J’ai 40 ans et je souhaite vivre encore une bonne cinquantaine d’année !!!! a moins que la grande faucheuse ait d’autres projets pour moi ! et donc la présence d’un corps étranger qui ne sera pas complètement assimilé par mon organisme m’inquiète !
Quel recul avons nous sur ce matériau ?
Cordialement
Je crois fermement que vous devriez poser vos questions à votre chirurgien.
Je voudrais cependant rectifier votre affirmation concernant les génioplasties. Je crois que vous êtes soit très mal informé ou que vous n’avez pas consulté un « chirurgien buccal et maxillofacial ». Je dis donc qu’il est faux de croire qu’une génioplastie ne permet pas d’augmenter la hauteur et la largeur du menton.
À gauche: vue préopératoire. Au centre: génioplastie d’allongement environ 20 jours post chirurgie. À droite: suivi 19 mois post chirurgie.
L’exemple ci-dessus démontre une génioplastie d’allongement avec des fixations rigides (plaque et chainettes monocorticale. La radiographie du suivi 19 mois postopératoire démontre une bonne régénération osseuse dans l’écart créé entre le segment proximal et distal. Notez que le patient a subi en même temps une ostéotomie d’avancée mandibulaire et une ostéotomie Le Fort 1 de repositionnement inférieur du maxillaire.
À gauche: prétraitement. À droite: suivi 19 mois post chirurgie.
Ce gros plan juste sous le nez démontre le changement spectaculaire du support des lèvres et de l’allongement du tiers inférieur lèvres-menton.
En ce qui concerne la longévité du matériau Medpor, je vais m’informer auprès de collègues chirurgiens.
Je sais que les implants dentaires en titane ont une longévité d’au moins 30 ans, voire plus. Les prothèses totales de l’articulation temporo-mandibulaire ont une longévité estimée à 15-20 ans, les prothèses totales de la hanche ou du genou ont une longévité d’une vingtaine d’années. Ce sont tous des implants où il y a ostéointégration.
Les implants mammaires ont probablement une longévité moindre. Les implants cosmétiques poreux tels que celui que vous avez reçu ont probablement une longévité supérieure aux implants mammaires, mais inférieure à tout implant ostéointégré. Mais c’est une question que vous auriez dû poser à votre chirurgien…avant la chirurgie.
Je n’ai que 13 ans de plus que vous et je commence à avoir une idée de ce qui m’attend à 90, si Dieu me prête vie jusque là.
HiHiHi!!!
.
Bonjour,
Comment il est possible d’élargir un menton par ostéotomie? Je pensais que seule une prothèse pouvait permettre ce genre de changement?
Pouvez-vous en dire plus à ce sujet svp.
Je pense que beaucoup de gens se sont orientés vers les prothèses faute d’informations fiables.
Je ne recommande pas une prothèse pour les raisons suivantes:
1- Le matériau allogène ne s’intègre pas avec l’os.
2-Le matériau peut se déplacer, migrer de l’endroit où il a été déposé initialement.
3- Les muscles et les tissus mous font pression sur le matériau allogène et cette pression engendre une résorption de l’os sous la prothèse.
4- Une prothèse ne permet pas de réduction verticale de la symphyse.
5- Une prothèse peut causer une ptose de la lèvre inférieure.
6- Les résultats esthétiques et fonctionnels sont de mauvais à médiocre.
Une ostéotomie bien faite permet d’obtenir un beau menton dans les 3 plans de l’espace (longueur, largeur, hauteur).
Bonjour Dr Chamberland,
j’ai subi l’EPRAC le 3 décembre dernier. Je devrais subir une ostéotomie Lefort 1 au courant de l’année à venir pour corriger entre autre une béance antérieure et une déviation du mandibule. Je me demande toutefois si dans certains cas, l’EPRAC et les traitements d’orthodontie peuvent corriger suffisamment le problème pour ne pas avoir à subir un Lefort.
Il est peu probable que l’EPRAC parvienne à corriger un béance antérieure ET une déviation de la mâchoire inférieure. Il est vraisemblable que vous aurez besoin d’une 2e phase chirurgicale pour obtenir une occlusion acceptable.
Bonne chance
Bonjour Dr!
Tout d’abord, bravo pour votre site et pour la mine d’informations qu’on y trouve!
J’ai une petite question pour vous. J’ai subit il y a 4 ans un EPRAC et une OSMB. L’opération s’est bien déroulée et bien que le mois suivant fut très difficile et que je ne cessais de me plaindre et de dire que je n’aurais pas dû faire cela, je dois avouer qu’aujourd’hui je suis très satisfaite du résultat! Mon chirurgien a su bien prendre mon cas en charge!
Le mini problème que j’ai aujourd’hui (et je ne sais pas si c’est lié) est que depuis cette intervention, je fais souvent des sinusites et j’ai l’impression d’avoir des allergies saisonnières à l’année longue… Récemment, je me suis mise à me palper plus en profondeur les joues et j’ai remarqué une bosse de 2cm de long environ du côté droit (soit le sinus qui me gêne toujours le plus). (peut-être était-ce là depuis longtemps, mais que je n’avais jamais remarqué?) En palpant à l’intérieur de ma bouche en haut des gencives, je peut sentir la masse (pas vraiment douloureuse, dure, amovible). Je suis allée voir mon chirurgien en panique croyant que c’était peut-être une tumeur (rien de moins!). À la radiographie il n’a rien vu d’alarmant et il m’a dit que c’était une des plaques a/n du maxillaire et que si ça me gênait trop on pourrait l’enlever? Me sentait un peu stupide de m’être précipité pour le voir, j’ai cessé de lui poser des questions, me sentant rassurée un moment! Néanmoins, après coup, je suis encore inquiète et perplexe face à cette nouvelle information. Je crois que j’aurais simplement préféré que mon chirurgien-maxillon facial me dise : »oh, vous avez une légère infection! Voici une Rx d’antibiotique pour 7 jours! » Enlever la plaque? Cela veut dire une autre chirurgie?
Avez-vous eu des cas comme cela ou un remodelage osseux pouvait etre inconfortable comme cela?
Nous sortons peut-etre du cadre techniques des chirurgies, mais si vous avez une réponse pour moi, ça me ferait plaisir de vous lire!
Plaque monocorticale et complication postchirurgie
Vous me décrivez une masse de 2cm de long, dure et mobile (vous dîtes « amovible ») du côté de votre sinus problématique. Votre chirurgien vous explique qu’il s’agirait d’une plaque monocorticale et vous a proposé de l’enlever. Vous auriez refusé.
D’abord, précisons qu’il est fréquent qu’un patient sente ses plaques de fixation après la guérison et le remodelage osseux. À part l’inconfort et la sensation désagréable qui pourrait être générée en y touchant, il est rarement indiqué de les enlever juste pour le plaisir de les enlever ou pour le prétexte que c’est un corps étranger.
Par contre, si vous sentez que cette masse bouge lorsque vous y touchez, je n’hésiterais pas et j’accepterais l’offre de votre chirurgien de l’enlever. Il n’est pas impossible qu’un foyer d’infection chronique, non visible radiographiquement, persiste autour de cette plaque mobile. Il n’est pas impossible que , s’il y a infection chronique, cela influence le fait d’avoir des sinusites à répétition.
L’enlèvement de la plaque fautive se fait généralement sous anesthésie locale. C’est une « petite » chirurgie comparativement à tout ce que vous avez reçu.
Si vous n’avez soudainement plus de sinusites par la suite, vous saurez que c’était à cause de la plaque. Si vous continuez d’avoir des sinusites, je demanderais une investigation approfondie auprès d’un ORL.
Bonne chance et merci pour vos bons mots
Bonjour Dr. Chamberland,
Merci pour votre réponse.
Effectivement, c’est un peu léger pour décrire une paresthésie.. En fait l’intérieur de lèvre est plus ou moins sensible. L’extérieur l’est aussi mais principalement les côtés, le centre est encore complètement insensible donc je peux l’utiliser mais difficilement. Le menton aussi a le même souci, en partant de l’extérieur vers l’intérieure on arrive à un sensibilité nulle. Comme vous le dites, ce n’est pas agréable mais on s’en accommode.. on a pas trop le choix de toute façon.
J’ai très vite ressenti les fourmillements ou encore des sortes de mini spasmes internes, qui prouvent je pense que c’est en voie de guérison. Après, si c’est temporaire ce n’est pas grave.
L’hématome a bien diminué. Ces dernières 48heures j’ai beaucoup dégonflé, le creux est nettement moins apparent j’ai donc bon espoir qu’il vienne à disparaître dans les semaines qui viendront.
Maintenant, pour les personnes qui s’inquiètent du résultat. Je tiens à dire qu’ils doivent se préparer à un changement. C’est vraiment très important. J’ai beau être satisfaite du résultat c’est très troublant… en à peine six jours, mon visage a beaucoup changé et je sais qu’il va encore changer d’ici les 10prochains jours. Attention, je me reconnais lorsque je me regarde dans le miroir mais c’est impressionnant le travail que nos docteur peuvent effectuer 🙂
Merci encore Dr. Chamberland,
Emily.
Bonjour Dr. Chamberland,
J’ai été opérée ce mercredi 31 octobre 2012 pour une génioplastie.
L’opération s’est plutôt bien passée malgré toute l’anxiété que j’avais.
Avant l’opération, toutes les personnes que j’ai rencontrées ont bien pris soin de me rassurer et de m’expliquer en détail tout ce qui allait se passer.
Je me suis endormie très facilement. Le réveil a été un peu difficile par contre. Très douloureux. L’anesthésiste est vite arrivé pour évaluer ma douleur et m’a injecté un dérivé de la morphine via ma perfusion. Je suis restée assez longtemps en salle de réveil le temps que je sois en état de remonter en chambre.
Dans ma chambre on m’a fait boire et aller aux toilettes. J’ai vomi. J’ai ensuite vu mon chirurgien. Il m’a expliqué que le nerf mentonnier avait été un peu touché que ça sera donc un peu endormi et que je ressentirai des fourmillements étranges par moments. Il m’a aussi expliqué que le menton a été avancé de 7mm au lieu de 5 avec la façon dont les tissus mous se replaçaient.
Depuis je me repose énormément. Personnellement c’est très douloureux, mais c’est une lourde opération.. on inflige tout de même quelque chose d’intense à son corps. Je ne peux manger que du liquide pour un minimum de 7 à 10 jours, je revois mon chirurgien le 07.09 et peut-être je pourrais manger un peu plus solide.
Niveau gonflements, d’aspects ça peut aller je trouve, mais le ressenti est très désagréable.
Mais j’étais préparée au fait que ça ne serait pas facile.
Niveau résultat, si j’oublie les gonflements, je dois dire que j’ai l’impression que ça ne dénature pas trop mon visage, de profil mon menton a une place normale sans être trop avenant.
Maintenant de face, j’ai une petite inquiétude. Suite à la référence que j’avais faite sur le résultat post-opératoire de Sandra, je constate que le creux est effectivement plus évident « maintenant » mais vu qu’il y a un hématome pile à cette zone là je crois que le chirurgien a découpé là. Est-ce que suite à la reconsolidation osseuse ce creux peut se combler ?
Merci,
Bien à vous,
Emily.
Bonsoir Émily,
Merci de nous donner de vos nouvelles.
Je suis bien désolé d’apprendre que votre nerf mentonnier ait été touché. C’est dommage et plutôt inhabituel pour ce genre d’intervention. Le « un peu endormi » de votre chirurgien est un mot doux pour dire que vous aurez une paresthésie, ce qui signifie un manque de sensibilité de votre lèvre dans le secteur d’innervation du nerf. Les gens finissent par s’habituer, mais ce n’est pas agréable au début.
Le ressenti désagréable est probablement en relation avec votre paresthésie et du processus de guérison. Attendez 6-8 semaines pour avoir une idée plus précise. En ce qui concerne l’hématome et la sensation de creux, il faut réévaluer après la disparition de l’hématome.
Bonne chance.
Bonjour docteur.
Je dois subir une opération dite Le Fort. Avec un avancement de 12 mm. Je trouve que ça fait beaucoup.
Ma seule inquiétude est que le chirurgien a un doute au niveau du voile du palais où je risque d’avoir un changement important de ma voix (parler du nez).
J’ai un tout petit palais et il n’est pas possible de reculer le bas ( ma langue est trop grande).
Voilà je voudrais votre avis. Sachant que 2 eme opération du voile du palais peut être envisagée par la suite. Quel sont les risques. ????
Voilà merci de me répondre. Cordialement Philippe.
Bonsoir Stéphane,
Il est vrai de 12 mm d’avancement du maxillaire lors d’une chirurgie Le Fort 1 semble beaucoup. Habituellement, les chirurgiens avec qui je travaille se limitent à 7-9 mm d’avancement et font un recul mandibulaire pour les 3-5 autres mm de décalage.
Les raisons de la limite de 7-9 mm sont qu’il faut maintenir un contact osseux entre le fragment coupé qui est avancé et le reste du maxillaire non coupé. Il faut aussi être capable de mettre des plaques bicorticales et des vis pour le fixer dans sa nouvelle position. Généralement, pour un tel avancement, il faut greffer de l’os. Le site donneur est la partie supéro-interne de la crête iliaque du bassin.
Le doute au niveau du voile du palais signifie qu’il craint que le voile du palais ne puisse scellé l’oropharynx du nasopharynx, car trop tiré vers l’avant et qu’il y ait une fuite d’air lorsque vous articulerez les sons ou une fuite de bol alimentaire lors de la déglutition. Cela s’appelle un déficit vélopharyngé. Ça prend vraiment une grosse langue pour qu’un recul mandibulaire de 2-3 mm ne soit pas possible.
Je ne connais pas vos caractéristiques faciales, ni les caractéristiques de votre malocclusion. Je peux difficilement en dire plus. Les opérations du voile du palais se font généralement chez les patients de fentes labiopalatines.
Qu’en dit votre orthodontiste?
Merci Dr.Chamberland pour votre avis.
En effet, ce n’est pas le même chirurgien qui m’a opéré la seconde fois. Le premier n’ayant pas la fonction de Maxillo-facial, mais d’ORL (j’ai fais une profiloplastie).
La génioplastie initiale ne devait être qu’un petit « plus », une opération de « détail » pour harmoniser mon visage (type classe III). Autant vous dire qu’il a raté la génioplastie certes, mais la rhinoplastie aussi.
Merci d’accorder du temps et de la patience à ce blog, cela est vraiment utile en tant que « patient ».
Cordialement,
Emilie.
Merci de votre précision au sujet des chirurgiens.Un ORL n’est pas un chirurgien buccal et vice versa
Comme on dit, chacun son métier et les chèvres de monsieur Séguin seront mieux gardée.
Dr.Chamberland,
Merci de votre réponse rapide et de l’intérêt que vous portez à ma demande. Pour faire court, je vais reformuler ma question : lors d’une génioplastie, dite de recul, est-il possible que le menton devienne gênant par la suite ? Cela s’est t-il déjà vu ?
Bien évidemment, je ne suis qu’à 1 semaine post-op et je ne m’affole pas. Cependant, la question me trottant dans la tête, je préfère la poser.
(Pour répondre à vos questions : oui la génioplastie initiale a été ratée. Douleurs au toucher,avec gênes dentaires, menton dévié. A la génioplastie secondaire, le chirurgien a pu constater de l’état des nerfs.)
Dans l’attente de vous lire, cordialement, Emilie.
Je ne crois pas qu’un menton devienne gênant lors d’une génioplastie de recul.
Je crois cependant que vous ce genre de sensation qui pourrait être plus lié à l’oedème et l’inflammation post opératoire.
Par contre, une génioplastie de recul peut comprimer les tissus sous le menton et accentuer un effet « double menton », surtout si vous faites un peu d’embonpoint. Souvent, une liposuccion est indiquée pour retirer le gras sous la gorge (entre le menton et le cou).
Dommage que votre première opération a été manquée. J’imagine que ce n’est pas le même chirurgien qui a repris votre chirurgie…
Depuis que j’ai ouvert ce blogue, je suis renversé par le nombre de chirurgies qui ne sont pas optimales outre Atlantique.
Cela s’explique vraisemblablement par la formation de nos chirurgiens buccaux qui doivent d’abord être des dentistes avant de se spécialiser en chirurgie buccale et maxillofaciale.
Bonjour,
Il y a une semaine, j’ai fais une génioplastie secondaire. Cela a constitué à changer la plaque initiale pour des vis, re-basculer le menton de façon à ce qu’il soit le plus symétrique possible avec mon visage et enfin, tenter de libérer les nerfs mentonniers, hypertrophiés par la précédente opération.
Ce qui m’inquiète aujourd’hui est que je ressens une sorte de gêne sous le menton, comme si mon os touchait mon cou. A ce stade, je me dis que cela peut être d’origine inflammatoire mais est-il possible qu’une génioplastie de recul puisse avoir des répercussions par exemple sur la déglutiton, le port de tête ?
Par avance, je vous remercie d’avoir pris le temps de me lire. Cordialement, Emilie.
Bonsoir,
Je ne suis pas certain de bien comprendre. Vous parler de re-basculer le menton, de le rendre plus symétrique et de génioplastie de recul. Vous parler aussi de nerfs mentonniers hypertrophiés par une précédente opération.
Est-ce que votre première opération a été manquée ou était insatisfaisante? Comment saviez-vous que les nerfs mentonniers étaient hypertrophiés? Pourquoi a-t-il fallu réopéré?
Votre menton a -t-il effectivement été reculé lors de cette 2e opération?
Vous n’êtes qu’à une semaines post opératoire. Laisser le temps à l’oedème de se résoudre.
Bonjour Docteur Chamberland,
Je viens vous poser une petite question suite aux témoignages que j’ai lus sur cette page de votre site web.
Je vous explique brièvement mon cas:
J’ai 24 ans, je suis un traitement d’orthodontie depuis décembre 2010. J’étais supposée subir une Génioplastie ce mercredi 24 octobre 2012, mais pour une raison d’un souci de calendrier (de mon chirurgien stomatologue), celle-ci est reportée au 31 octobre 2012. C’est un peu contraignant, car l’anxiété préopératoire est prolongée, mais j’y trouve quelques avantages d’ordre administratif donc je me fais à cette situation inattendue.
Ma génioplastie a pour but une avancée de 5mm par section du menton osseux. Celle-ci réglera l’occlusion de mes lèvres (occlusion parfaite de la mâchoire), un relâchement des muscles du menton, et donc un profil dit plus harmonieux.
J’ai pu constater sur les photos faites avec mon chirurgien que le bas de mon visage (de face) avait une légère asymétrie un peu comme Sandra après son opération, mais en moins « évident » bien sûr.
J’aimerais savoir si lors d’une génioplastie comme la mienne cette asymétrie sera accentuée par l’avancement du menton ou est « réglée » suite à l’étude du chirurgien et de l’intervention ? Je sais que c’est une question que j’aurais dû poser directement à mon chirurgien, mais ça ne m’a pas sauté aux yeux tout de suite et dans l’attente de l’opération les pensées se bousculent dans mon esprit.
Il va de soi que je serai ravie d’avoir un profil harmonieux, mais si ma face doit payer pour cela me rendrait l’acceptation de mon « nouveau » visage bien plus compliquée 🙂
D’avance, je vous remercie de m’avoir lue et pour votre réponse,
Bien à vous,
Emily.
Votre chirurgien devrait normalement prévoir, dans la découpe du segment osseux et dans l’avancée de ce segment, la correction de l’asymétrie qui est observée initialement.
L’objectif d’une génioplastie n’est pas seulement de favoriser une normalisation de la hauteur et de la projection antérieure du menton, mais aussi la correction de l’asymétrie s’il y en a une. La normalisation de l’occlusion des lèvres (compétence labiale) est le bénéfice fonctionnel recherché.
Bonne chance
Merci beaucoup pour votre réponse !
Je posterai un témoignage dans les jours qui suivent l’intervention pour les autres personnes qui comme moi se posent des questions avant de sauter le pas 🙂 !
Emily.
Bonjour Docteur,
Tout d’abord, je tiens à vous remercier de votre réponse. Nous avons rencontré notre orthodontiste hier soir qui nous dit que l’expansion palatine ne consiste qu’en un tout petit coup de marteau pour séparer l’os du milieu de la mâchoire et que cela est rendu nécessaire par un décalage entre la mâchoire du haut et la mâchoire du bas de 6 mm…
Or en visualisant votre vidéo, on voit bien que cela n’est pas du tout le cas. Cette nouvelle intervention est très lourde.
Nous avons donc décidé de ne plus faire l’opération. Notre orthodontiste nous dit que sans cette intervention la correction des dents (pour mémoire celles-ci sont parfaitement alignées en haut et en bas) ne pourra être maintenue une fois les bagues enlevées.
Ma question est la suivante : est-il possible de conserver cette correction avec un fil de contention (dit à « vie ») et le port d’une gouttière la nuit ? Car à l’écouter, tout le travail réalisé depuis 2 ans n’aura servi à rien puisque les dents vont se remettre à bouger très rapidement et qu’elle sera de nouveau comme avant le traitement.
Merci de votre réponse.
Cordialement
Bonsoir,
J’aimerais mentionner que je suis totalement en désaccord avec votre décision. Voilà le danger que représente de répondre à une question à distance sans avoir vu le patient.
Je crois que vous faites une erreur d’annuler l’opération et je pense qu’il aurait fallu discuter aussi avec le chirurgien buccal d’une approche alternative pour régler le problème de largeur si l’EPRAC vous épouvante tant que ça. Vous prenez une décision sous le coup de l’émotion et l’émotion est rarement bonne conseillère.
Le 6 mm que vous mentionnez, est-ce sur le sens de la largeur ou le sens de la longueur. 6 mm de décalage dans le sens de la largeur et 6 mm de décalage dans le sens avant-arrière, ce n’est pas pareil.
Je suis 100 % d’accord avec votre orthodontiste que tout le travail qu’il a accompli sera perdu.
Vous rendez un très mauvais service à votre fille en prenant une décision à sa place. À 17 ans, elle est assez vieille pour comprendre et décider seule des risques qu’elle doit prendre. C’est elle qui a porté les broches. C’est elle qui avait accepté une première chirurgie d’avancement de la mâchoire inférieure. Une fois sur la table d’opération, ça ne prends pas beaucoup de temps de plus de faire une chirurgie au maxillaire supérieur.
Ce sont des choses qui arrivent à nous aussi de devoir ajuster notre plan de traitement chirurgical à la dernière minute. Certes, la façon de gérer un problème de largeur en même temps qu’un problème de longueur semble semble être différente en France qu’au Québec, mais il y a moyen de se sortir de l’impasse d’une meilleure façon qu’en annulant tout.
Pour répondre à votre question, non, il ne sera pas possible de conserver la correction avec des gouttières de contention « à vie ». Cette solution n’a pas d’allure. Est-ce vous qui allez porter ces gouttières ou est-ce votre fille qui devra les porter toute sa vie parce sa mère (ou son père) a décidé qu’elle ne se ferait pas opérer?
Votre décision compromet de façon permanente la stabilité de la correction orthodontique. Discuter davantage avec l’orthodontiste, mais aussi avec le chirurgien buccal. Il y a sûrement un terrain d’entente possible.
Recevez mes salutations distinguées
Bonjour,
Tout d’abord félicitations pour votre site. C’est très intéressant (quoique parfois un peu effrayant) à lire.
Ma question a trait à la question de marie77 (posté le 18 octobre 2012 à 2 h 58 min). J’aimerais simplement savoir si elle parle d’un traitement subie en France ou au Québec. Selon la réponse de M. Chamberland, l’opération semble avoir eu lieu en France, mais j’apprécierais grandement avoir une confirmation.
Cordialement,
Nicolas
Je crois qu’il s’agit de la France.
Pourquoi?
Bonjour (et désolé du délai).
Je dois subir une chirurgie orthognatique dans un avenir rapproché et je me renseigne sur le sujet. Je trouve les histoires venant de la France assez décourageantes.
Merci de votre réponse.
Votre adresse IP m’indique que vous habitez la région de Montréal. Les histoires venant de la France ne sont pas représentatives de la réalité québécoise de la chirurgie orthognathique. Lisez plutôt la section témoignage de mon site. Cela vous donnera l’heure juste. Cet après-midi, j’ai repris en charge une patiente qui s’est fait opérer avant Noël vers le 10-15 décembre. Elle m’a plus parlé de problèmes liés à l’anesthésie, de la constipation et…d’hémorroïdes que de la douleur ou de l’inconfort de sa chirurgie orthognathique. Elle a dit qu’elle avait peu enflé, pas eu beaucoup de mal, pas trop de bleu. Oui, elle n’ouvra pas aussi grand, mais c’est normal et je lui ai donné des exercices de physio. Oui, elle est engourdie, mais ça ne fait que 4 semaines tout au plus. Alors, n’ayez crainte. Çà ne se fera pas sans heurts, mais le résultat en vaudra sûrement la peine.
Planification de traitement
Bonjour Docteur,
Je tiens à vous féliciter pour votre site qui est une vraie mine d’or pour qui recherche des informations. Je vous expose brièvement mon souci : ma fille, âgée de 17 ans, suit un traitement d’orthodontie depuis maintenant 2 ans. Ses dents sont maintenant parfaitement alignées. Elle doit être opérée le 27 octobre prochain (opération connue et organisée de longue date). Lors de cette opération, il est prévu d’avancer le maxillaire du bas afin de l’aligner sur celui du haut, + enlèvement des 4 dents de sagesse.
Or, voilà qu’à quelques jours de son opération, son orthodontiste m’apprend qu’il lui a posé un disjoncteur afin que lors de cette intervention elle puisse subir une Expansion palatine rapide assistée chirurgicalement (EPRAC), car sa mâchoire du haut est trop étroite. Or, nous n’avions jamais évoqué ce problème avant. Il me dit qu’il pensait pouvoir « gérer » cela sans passer par une intervention chirurgicale, mais que HÉLAS il n’a pas réussi. Du coup, on se retrouve avec une opération plus lourde que prévu.
J’ai visionné un peu votre vidéo sur cette opération (en fait, je n’aurais pas dû …), car maintenant je suis complètement affolée. Est-ce que cette opération est vraiment indispensable et est elle douloureuse (les avis des patients étant très partagés)?
Je ne sais plus si je dois autoriser cette opération.
Merci de votre réponse.
Cordialement
Une expansion palatine rapide assistée chirurgicalement (EPRAC) se fait habituellement en début de traitement (1re phase chirurgicale). L’EPRAC est indiqué pour les cas où un déficit en largeur est plus grand que 5 mm.
.
L’avantage de cette approche est que cela évite la prolongation du traitement post chirurgical. En effet, il est possible de terminer le traitement orthodontique dans les 4 à 6 mois suivant la chirurgie orthognathique. Si vous procédez à une EPRAC, vous devez compter le temps de la distraction (14 à 28 jours) et le temps de contention avec le disjoncteur en place (6 mois) et le temps de finition après l’enlèvement du disjoncteur. Au bas mot, cela signifie au moins 1 an de traitement.
Pour d’autres détails, voir le lien orthognathic surgery.
« HÉLAS », le traitement de votre fille ne semble pas avoir été planifié ainsi. Je ne sais quoi vous dire, d’autant plus que le disjoncteur palatin semble avoir été posé. Je comprends votre désagrément. Je crois que vous êtes dû pour une bonne séance de discussion avec votre orthodontiste et votre chirurgien buccal.
En ce qui concerne la douleur, dont vous semblez vous inquiéter, sachez que ce n’est pas si pire que ça en a l’air. Les gens me disent souvent que l’extraction de leurs dents de sagesse a fait plus mal que leur chirurgie orthognathique. Votre fille subissant l’extraction des dents de sagesse en même temps que sa chirurgie orthognathique (ce qui n’est généralement pas le cas ici à Québec) ne pourra faire ce comparatif.
Bonne chance
Est-ce que le fait d`avoir un palais trop petit peut avoir un lien avec le fait que je suis pratiquement incapable de respirer par le nez?
Si cela est le cas est-ce que la ramq paye l`opération pour l`expansion du palais, car jai 25 ans. Je vois un orthodontiste le 30 octobre prochain et jai très peur que je ne puisse plus me permettre un beau sourire si il faut payé cette opération en plus des broches.
Respiration buccale et palais étroit
Je dirais que c’est plutôt l’inverse. Le fait que vous ne pouvez pas respirer par le nez a favorisé le fait d’avoir un palais étroit. Je m’explique.
Lorsqu’on respire par le nez, la bouche est généralement fermée et les lèvres sont scellées (fermées). La langue s’appuie au palais. L’enfant qui a la capacité de respirer par le nez aura donc la bouche fermée et la langue au palais. Petit enfant, petite langue, grand enfant, grande langue. Je veux dire ainsi qu’au fur et à mesure que l’enfant grandit, la langue grandit et puisqu’elle est généralement collée au palais, la langue participe à la croissance en largeur du palais puisque ce palais doit accommoder une langue de plus en plus large.
Si on respire par la bouche, on doit abaisser la langue au niveau de la mâchoire inférieure pour que l’air puisse circuler au-dessus, entre la langue et le palais. Ainsi, la langue n’étant quasiment jamais au palais, elle ne participe pas à l’agrandissement du palais lors de la croissance de l’enfant, d’où un palais étroit à l’âge adulte.
C’est donc la fonction respiratoire nasale qui influence la forme qu’aura le palais et non pas la forme du palais qui influence la fonction respiratoire.
Une chirurgie d’expansion palatine assistée chirurgicalement sera défrayée par la RAMQ. Il pourrait cependant y avoir certains frais d’analyses qui peuvent être chargés. Demander au chirurgien ou à l’orthodontiste que vous consulterez.
Bonne chance.
Bonjour,
Il y a une quinzaine de jours, je me suis faite opérée d’une Bimax (réhaussement et avancée du maxilaire supérieur; recul du mandibule qui était trop prononcé et asymétrique) et d’une génioplastie (j’étais prognate).
Seulement voila. Apres cette opération, l’ensemble de mon visage a bien dégonflé, mais une sorte de bosse de tissu mou reste apparante au niveau de mon menton. Elle n’est pas flagrante mais mon menton n’est pas lisse (sous ma lèvre se situe la bosse, et sous celle-ci il y a des petits creux (comme si le muscle de mon menton était contracté alors que je suis au repos, la bouche fermée).
Qu’est ce que ces anomalies ? La Bosse présente sur mon menton est elle formée par le tissu mou du menton, qui, apres la génioplastie, a pris cette positon? Ou est-ce plus probable que ce soit une infection ?
Je vous pose ces question car mon chirurgien est en vacance, je ne le reverrai qu’en septembre prochain, et cela me préoccupe beaucoup !
Mon chirurgien est parisien.
Merci de votre aide.
Myriam
Hum!
Il est très difficile de répondre à votre question sans aide visuelle (photo) ou un examen clinique. Est-ce que la bosse est externe (sur la peau) ou interne (sur la muqueuse buccale)?
La peau est-elle chaude et rouge? Y a-t-il de la douleur en la palpant?
Je ne peux prétendre que ce soit une infection, ni dire que ce n’en est pas une. Ce pourrait aussi être causé par la façon dont a été réattaché les tissus internes. N’y a-t-il pas un service de suivi postopératoire même si le chirurgien est en vacance. Je vous recommande de consulter un collègue de votre chirurgien.
Bonne chance.
Bonjour Dr Chamberland,
Je me présente, je m’appelle Joao. Je suis tombé par hasard sur votre site internet avec beaucoup de témoignages de personnes posant diverses questions et demandant de l’aide et je voudrai tout d’abord vous féliciter pour l’aide que vous apportez à tous ces gens.
Ayant également été opéré des mâchoires (bimax + génioplastie), j’aurai voulu avoir votre avis d’expert sur mon cas, car je pense qu’il y a un problème.
– J’ai été opéré il y a 2 mois des mâchoires (avancer et rehausser le haut + reculer le bas + génioplastie). Une fois dégonflé, j’ai remarqué que le bas du visage déviait vers la droite.
– J’ai rappelé mon chirurgien qui ma fait prendre des radios et qui a décidé de me réopérer il y a 1 mois pour réaligner uniquement le menton. Désolé je ne dispose pas de photos ni radios d’après la 2eme chirurgie.
Mon visage est « un peu plus » symétrique, mais toujours asymétrique ;
Et le problème est que mon visage est plus asymétrique maintenant qu’avant la 1ere chirurgie, un comble (cf. photos + radios pré et post 1ere chirurgie).
Sur les radios je remarque que le chirurgien a positionné les mâchoires « de travers », ce qui fait qu’en plus mes incisives du haut ne sont plus du tout situées au milieu de ma lèvre supérieure, on le voit sur les photos en souriant (mais il m’a dit que des retouches orthodontiques seront faites). Lorsque je lui ai posé la question « pourquoi » il m’a répondu que comme j’avais le visage asymétrique, ce qui est vrai (œil + haut qu’un autre …etc..) il était oblige pour pouvoir garde un sourire correct (car s’il les mettaient droites, lorsque je sourirais, on verrait ma gencive sur un cote uniquement). Ce que je ne comprends pas c’est qu’avant la chirurgie, mes dents étaient légèrement « de travers » ( on le voit sur les radios) du fait de l’asymétrie faciale, mais pas autant, et pourtant mon sourire était normal bien qu’un peu gingival.
Et je pense que c’est à cause de ces mâchoires « penchées » que tout le reste du bas de visage se retrouve également dévié. Pensez-vous que cette asymétrie était en quelque sorte « inévitable » pour améliorer l’occlusion , ou y a-t-il un souci au niveau des mâchoires ? Je vous contacte, car mon chirurgien, pourtant très réputé sur Paris, et mon orthodontiste semblent satisfaits du résultat et n’ont pas l’impression de se soucier de cette asymétrie faciale encore plus flagrante qu’avant.
J’aurai donc voulu avoir votre avis sur mon cas, du moins pour la partie orthodontie, car je comprends bien que vous n’êtes pas chirurgien maxillo-facial. Pensez-vous que je dois consulter un autre orthodontiste + chirurgien pour un 2e avis ?
Je remercie d’avance de l’attention que vous porterez a ce message.
Recevez, Monsieur, l’expression de mes salutations distinguées.
ADDENDUM
Voici les céphalogrammes de profil (j’espère que ce sont ces radios que vous demandez ; j’ai uniquement le profil droit par contre) ; Pour l’extraction des dents :
– Il y a une prémolaire sup gauche qui en fait a été retiré il y a 4-5 ans car elle me faisait mal et c’était en fait une dent de lait qui n’était jamais tombé
– La 2eme prémolaire a été enlevé quand j’ai commence le traitement d’ortho car sois disant il le fallait.
– Et on m’a egalement retiré une incisive en bas a noel dernier car j’avais les dents du bas de travers ; mon ortho a essayer de les redresser mais elle m’a dit que comme leurs racines étaient petites elle devait en enlever une sinon elle allait tombé….etc.
J’ai regardé le slideshare sur les asymétries faciales (http://www.slideshare.net/sylvainchamberland/hyperplasie-hmimandibulairecondylar-hyperplasia), je comprend mieux même si j’ai un peu de mal avec tous les termes techniques, mais je n’arrive toujours pas à comprendre pourquoi ni mon ortho ni mon chirurgien ne m’en parle et pourquoi cette asymétrie est plus marquée maintenant qu’avant l’opération (je me demande en + si le fait de repositionner le menton n’a pas été fait pour « masquer » le problème sans réellement traiter la cause et donc si ce ne fut pas une erreur).
Je suis désolé de vous déranger sans cesse par mes questions mais j’ai l’impression de ne plus avoir confiance en mon ortho+chir.
Y a t-il une solution à ce problème d’hypercondylie ? Qu’est ce que vous me recommanderiez pour arranger ce problème (consulter d’autres spécialistes…) ?
Je tiens à vous remercier mille fois pour le temps que vous me consacrer ainsi qu’aux autres (même durant vos vacances lol).
Cordialement,
Joao.
.
J’ai pris connaissance de votre courriel et analysé les photos et radiographies que vous m’avez fait parvenir. Voici mon impression.
1- Votre maxillaire supérieur est très rétrusif ou hypodéveloppé (flèches ①), tellement que vous n’avez pas de pommettes (hypoplasie des os malaires,②).
2- Votre mandibule est légèrement protrusive et surtout latérodéviée vers la droite (flèche ④). Cela est causé par une hyperplasie du condyle gauche observable sur la radio panoramique (chiffre ⑤)
3-Vous confirmez que 2 prémolaires supérieures sont absentes (une était absente congénitalement, l’autre a été extraite) et qu’une incisive inférieure a été extraite (!!!???). Selon ma déduction, il s’agit de l’incisive centrale inférieure droite. J’ai mis les chiffres 2-1-2 selon le système de numérotation dentaire international pour plus de clarté.
.
Afin de corriger une telle malocclusion, il faut décompenser la dentition. L’extraction de 2 prémolaires supérieures était appropriée. Par contre, l’extraction d’une incisive inférieure est très questionnable dans un contexte de décompensation des incisives. Il est évident sur la radio céphalométrique qu’elles sont trop verticales (chiffre ③). Cela a pour effet de réduire l’amplitude de la correction antéropostérieure que vous aviez besoin. Vous auriez aussi bénéficié d’une greffe osseuse provenant la la crête iliaque, laquelle greffe aurait pu servir à augmenter vos pommettes de joues (os malaires).
.
Les photos postopératoires démontrent effectivement que le milieu de votre dentition supérieur une correction relativement adéquate dans le sens avant-arrière, mais inadéquate en vue frontale. Le milieu supérieur est plus dévié qu’avant et l’asymétrie n’est pas corrigée.
Il semble évident que le chirurgien a perdu le repère anatomique du milieu d’arcade durant l’opération et qu’il n’a pas allongé suffisamment le côté droit ou réduit suffisamment le côté gauche. Il aurait dû impacter plus à gauche qu’à droite car l’hypercondylie avait fait en sorte que le côté gauche était plus bas que le côté droit. J’ajouterais que l’extraction d’une incisive inférieure n’a pas dû lui faciliter la tâche et qu’il est difficile d’ajuster un maxillaire avec un nombre pair de dents sur une mandibule avec un nombre impair. La préaration orthodontique me semble sous-optimale, il manque de parallélisme des dents postérieures supérieures, il restait des espaces en préop et le plan occlusal des molaires supérieures n’était pas nivelé.
Approche contempraine
Le « yaw » de votre maxillaire est dévié vers la gauche et le « roll » en vue frontal est incliné vers la gauche (gauche plus bas que droit).
Durant mes vacances, j’ai assisté à la réunion scientifique annuelle du Collège de l’American Board of Orthodontics. J’étais le modérateur de la session du vendredi matin et Dr Jaime Gateno a présenté la façon moderne de planifier en 3D les chirurgies orthognathiques complexes comme que la votre. Cette technique est utilisée par nos chirurgiens buccaux de l’hôpital de l’Enfant-Jésus.
Vous avez raison de prétendre que cette asymétrie postopératoire était évitable.
C’est dommage qu’après tant d’efforts et une si grande motivation, vous n’ayez pas obtenu un résultat optimal à l’égal de vos attentes.
Je suis heureux de pratiquer à Québec ou nous bénéficions de chirurgiens hypercompétents et non à P… ou en F…
Je ne voudrais pas cependant que mon site devienne un exutoire des cas de chirurgie « questionnable ».
Ce n’est pas le but, car de ce côté-ci de l’Atlantique, à Québec en particulier, ce genre de problème est quasi inexistant.
Je vous ai transmis quelques noms par courriel privé et confidentiel, faites-en bon usage.
Il est possible de rémédier à votre problème, mais il est vraisemblable qu’une autre chirurgie sera nécessaire, à moins que vous n’acceptiez certains compromis ou qu’un orthodontiste connaissant l’usage des microimplants (TAD) puissent s’en sortir.
Derniers petits conseils. Faites remplacer les bagues sur les dents supérieures par des brackets collés, cela facilitera l’hygiène, car vous êtes en train de développer des poches parodontales (flèches blanches sur le panogramme). Consulter un parodontiste certifié ayant une formation nord-américaine et demander un nettoyage sous-gingival. Vos 3es molaires (les dents #8) ne sont pas fonctionnelles, car elles n’ont pas de dents antagonistes, qu’est-il prévu? Au minimum, faites enlever les bagues sur ces dernières dents.
Il aurait été indiqué de procéder à une scintigraphie au Tc99 pour s’assurer que le condyle gauche a cessé son hypercroissance. Je ne sas pas votre âge et il se peut cependant que cette hypercroissance a cessé vers 18-20 ans et qu’il ne faille plus s’en inquiéter.
Bonne chance.
Dr Sylvain Chamberland
Bibliographie
Re-bonjour Dr Chamberland. Je me re-présente, je m’appelle Joao et je présente une asymétrie faciale dont vous aviez très gentiment fait l’analyse à partir de radios que je vous avais envoyées. Mon « cas » figure dans la rubrique « Chirurgie orthognathique » de votre blogue au message du 24 juillet (lien 1).
Vous aviez établi que je souffrais d’une hypercondylie gauche.
Voilà j’ai rencontré tout d’abord mon ancien chirurgien (qui m’affirme que c’est mon visage qui est comme ceci et qu’il n’y a rien à faire), je l’ai donc « zappé », mais j’ai rencontré récemment un autre chirurgien qui par contre confirme bien l’hypercondylie, mais, ne la jugeant pas importante, me déconseille une condylectomie : il me propose de « basculer » mes mâchoires tout en m’avertissant que l’asymétrie s’atténuera certes légèrement, mais ne sera pas corrigée, car mon visage est asymétrique.
Je suis étonné, car s’il est vrai que la plupart des cas d’hypercondylies sont très prononcés, il existe notamment dans les cas référencés dans le slideshare (présent sur votre blogue) des cas plus « légers » (notamment le jeune homme en 2e page).
D’où ma question : pensez-vous que la condylectomie dans mon cas soit la solution optimale et unique pour éviter cette asymétrie ? Et que je dois donc trouver un chirurgien compétent qui confirme votre diagnostic ? Car dans votre réponse vous dites bien que l’asymétrie est évitable et qu’il existe une solution (si j’ai bien compris une condylectomie, ce qui me redonne espoir).
Si oui j’essaierai de ne pas baisser les bras et de rencontrer le bon chirurgien, mais c’est très difficile.
Sinon pensez-vous qu’une opération au Canada serait réalisable ? (je suppose couteux, mais je désespère et suis prêt a tout)
Désolé de vous embêter à nouveau, mais je désespère un peu et une confirmation de votre part me redonnerait confiance.
Je comprends que vous n’êtes pas chirurgien, mais j’ai confiance en vos compétences et vous semblez habitué de ces cas la.
Très cordialement,
Joao P.
Asymétrie faciale et hypercondylie
Ah, ben, quelle surprise!
Rebonjour Monsieur Jao,
Bravo, vous vous y connaissez en blogue. La nouvelle question apparaitra juste au bon endroit à la suite de notre conversation de juillet dernier.
Quelques rectifications sont nécessaires.
1-Votre hypercondylie gauche.
Les hypercondylies chez l’adulte sont soit actives, soit inactives (diapo 14, lien 2). Une scintigraphie au Tc99 déterminera si le condyle est en hypercroissance ou non. Il est probable que votre examen reviendra négatif, ce qui signifie que votre condyle ne grandira plus. Si votre « hypercondyle » est « inactif ». Je suis d’accord avec votre 2e chirurgien qui dit qu’une condylectomie n’est pas nécessaire. Les cas adultes d’hypercondyle inactif sont présentés aux diapos 62 à 72, lien 2). Leur asymétrie faciale a été corrigée, mais il n’a pas été nécessaire de faire une condylectomie haute.
Si votre scintigraphie revient positive, une condylectomie haute devrait être envisagée. Le jeune homme en 2e page auquel vous faites référence avait une scintigraphie positive et c’est pour cette raison qu’il a reçu une condylectomie haute (voir diapo 62, 63, 64, lien 2)
2- Traitement du 2e chirurgien: basculer les mâchoires
Je crois que ce chirurgien vous propose un plan de traitement vraisemblable.
S’il peut manipuler vos mâchoires (le complexe maxillo-mandibulaire) avec la bonne quantité de « roll » (relever le côté gauche), de « yaw » (déplacer votre milieu d’arcade supérieur vers la gauche), je crois que vous aurez un bon résultat.
Je comprends ce chirurgien de vous avertir qu’une asymétrie résiduelle pourrait persister. J’aurais tendance à lui faire confiance d’après les informations que vous me fournissez.
3- Chirurgie au Canada
Cela est possible, mais fort coûteux. Dans un contexte d’hôpitaux qui débordent, c’est assez difficile d’obtenir du temps opératoire pour un étranger et il y a toute la problématique d’assurance responsabilité professionnelle. J’ai fait la connaissance récemment avec un chirurgien qui pratique à Toronto et qui reçoit des patients de Corée. Ça leur coute moins cher de payer le plein prix d’une chirurgie au Canada qu’en Corée. Je pourrais vous donner son nom si vous désirez le contacter.
Je souhaite que ces informations sauront vous rassurer. Tenez-moi au courant.
Bonsoir.
Re-Bonjour cher Dr Chamberland.
Je reviens aujourd’hui vers vous car, après avoir consulté des dizaines de spécialistes, je pense avoir enfin trouver des chirurgiens compétents qui (comme vous le préconisez à cet endroit planifient tous les mouvements chirurgicaux en 3D et de façon extrêmement précise.
Ils ont donc réalisé des simulations (cf images 3D ci-jointes), mais étant extrêmement prudent dorénavant, si vous aviez la gentillesse de répondre « de nouveaux » à plusieurs questions que je me pose je vous en serez très reconnaissant, car suite à mes nombreuses mésaventures j’ai une entière confiance en votre avis d’expert.
– Comme vous pouvez le voir sur les images, le « recentrage » des mâchoires par rapport à l’axe médian dessiné en vert (le yaw, si j’ai bien compris) est parfait, + que je ne l’espérais.
Par contre, là où j’ai plusieurs questions, c’est concernant le « roll », l’inclinaison du plan occlusal ; On voit une amélioration certes mais ne trouvez vous pas que le plan occlusal est toujours un peu trop incliné ? D’autant plus que sur l’image à cet autre endroit l’inclinaison du plan occlusal semble se calculer en fonction de la « ligne » passant sous les orbites (à peu près parallèle).
– De plus, est-il possible qu’une mauvaise préparation orthodontique puisse limiter la correction de mon « roll » ? Je m’explique : lors de l’examen clinique, la plupart des chirurgiens qui m’examinent mettent un petit bout de bois sur mes 1ères prémolaires du maxillaire pour vérifier l’inclinaison du plan occlusal. On remarque bien une inclinaison, mais ce que je ne comprend pas c’est que lorsque je fais la même chose sur les molaires, l’inclinaison est nettement plus importante ; J’ai l’impression d’avoir du coté droit du maxillaire les molaires « enfoncées », pas au même niveau, et je me demande si ce n’est pas plutôt un problème orthodontique qui empêche peut être de corriger convenablement l’inclinaison du plan d’occlusion. Je ne sais pas si j’ai réussi à être clair ?
Mes questions peuvent paraître « pointilleuses » mais le fait est que depuis la 1ère opération, j’ai des douleurs importantes au niveau du dos, genoux ainsi que des maux de tête parfois et je ne sais pas si le problème vient de cette inclinaison du plan occlusal ET/OU du fait que seules mes dents du coté droit ne se touchent lorsque je mords (le chirurgien a incliné + la mandibule que le maxillaire lors de ma 1ère opération d’où ce non contact sur le coté gauche).
On ne peut être sûr de rien mais j’aimerais vraiment réduire au maximum les risques et en finir une fois pour toute avec ces mâchoires.
Bien entendu je ferais part de toutes ces questions au chirurgien mais j’aurai bien aimé avoir votre opinion avisé sur cela.
Désolé d’avance pour ce très long message, et encore Merci infiniment pour l’aide que vous continuez à apporter à nous tous au travers de votre site internet qui est une mine d’informations.
Cordialement.
Quelle surprise d’avoir de vos nouvelles après 2 ans.
Je crois que vous avez raison. le roll pourrait être corrigé 1 ou 2 mm de plus (allongé à droite, impacté à gauche. De plus, le bord mandibulaire inférieur gauche a une encoche qui devrait être réduite par rapport au côté droit. Au global, je dirais que la planification chirurgicale 3D est déjà une grande amélioration à votre état actuel. Comme mentionné, je n’aime pas l’encoche sur le bord inférieur gauche qui si elle n’est pas « rabotée » pourrait donner l’impression d’asymétrie résiduelle.
Vous m’avez aussi fait parvenir des radiographies datant de juin 2013. Sur ces radiographies, il y a des plaques et vis ce qui signifie que vous avez subi une chirurgie en 2013, après nos discussions de l’été 2012.
Il est donc évident que votre première opération fut ratée. Il est probable que la béance gauche observée en post op implique que votre orthodontiste a probablement tenté de fermer orthodontiquement avec des élastiques intermaxillaire. Il se pourrait que cela ait occasionné une descente des dents du côté gauche et la réapparition du cant du maxillaire supérieur.
Il est essentiel que la préparation orthodontique préchirurgicale soit optimale sur un arc droit acier où toutes les dents sont alignées et nivelées. Il est essentiel que, lors de la prise de modèle préop, soit vérifier le « fitting » de l’occlusion sur les modèles maintenus en classe I.
Je souhaite que votre prochaine opération se déroule mieux et que le chirurgien soit en mesure d’obtenir un contact optimal des dents en post op de sorte que les élastiques serviront à stabiliser l’occlusion et non pas faire des mouvements orthodontiques.
Bonjour cher Dr Chamberland,
Je reviens aujourd’hui vers vous pour vous informer que l’opération que j’envisageais s’est parfaitement bien passé (7h d’opération tout de même) ; Ils ont fait un travail remarquable pour « rattraper les dégâts » et le résultat est encore mieux que la planification que vous aviez gentiment analysée la dernière fois. La symétrie est parfaitement rétablie avec quelques imperfections au niveau du menton mais pour une 3ème opération le résultat est excellent. La planification millimétré en 3D ET l’utilisation de trackeurs optiques en per-opératoire fait toute la différence.
Malgré tout (rien n’est parfait), des séquelles sont présentes et c’est pourquoi je redemande votre avis éclairé si possible.
Depuis l’opération, mon ouverture de bouche est maintenant limitée (2cm) sans claquement ni grincement, j’ai des douleurs au niveau des oreilles (sensation de pression constante qui s’amplifient lors des diductions latérales de la mandibule) et je ne peux pas trop serrer les dents pour mâcher des aliments dur. De plus, les symptômes sont plus importants à droite qu’à gauche.
Pensant donc à une luxation discale sans réduction, j’ai réalisé une IRM bilatérale des ATM mais je ne comprend pas très bien le compte rendu de l’examen. Il est marqué que :
– En bouche fermé, à droite comme à gauche, disque articulaire mal visualisé, qui apparait de topographie relativement postérieure et latérale des 2 côtés
– En bouche ouverte, bonne translation à droite comme à gauche du disque qui retrouve des rapports anatomiques normaux, et translation antérieure du condyle limitée se positionnant sur la partie postérieure de l’éminence articulaire de l’os temporal.
Lorsque j’ai demandé alors pourquoi mon ouverture était limitée, le radiologue ne savait pas et m’a dit qu’il n’avais jamais vu un tel cas (déplacement postérieur). Et de plus il n’y a pas de différence entre les 2 qui expliquerait les symptômes plus marquées à droite.
Serait il possible SVP d’avoir votre avis sur ce compte rendu ?
En tout cas, malgré ces problèmes certes significatifs, je suis très heureux et je ne vous remercierez jamais assez pour votre aide, cela a été très difficile psychologiquement et physiquement ces 3 dernières années, mais j’y suis parvenu. Je ne manquerai pas si je voyage un jour au Québec de vous remercier personnellement tellement vos conseils m’ont aidé.
Cordialement,
Joao.
Bonsoir Joao
Je suis content que tu aies enfin des nouvelles positives à me donner.
Je peux t’expliquer les 2 phrases en italiques du rapport du radiologiste.
La 2e ligne est la plus importante: Il y a bonne translation des 2 côtés.
Limité à la partie postérieure de l’éminence signifie qu’il y a limitation d’ouverture, c’est pour cela que tu bloques à 20 mm.
En bouche fermée, je ne suis pas très inquiet d’une topographie postérieure des disques qui sont d’ailleurs mal visualisés. Donc il faut prendre avec un grain de sel le terme topographie postérieure.
Il te faut de la physiothérapie et tu dois commencer à faire des ouvertures forcées pour recouvrer ton amplitude.
J’ai déjà eu des questions semblables sur mon site et si tu cherches bien tu trouveras mes réponses avec les images explicatives. Je te suggère de prendre connaissance du commentaire du 12 mai 2015 où je parle du TheraBite et de ma réponse du 3 mars 2015 Physiothérapie post chirurgie orthognathique. Vous pouvez faire l’exercice tel que décrit par Josée le 26 avril 2015 en empilant des abaisse-langues entre les dents jusqu’à ce que vous atteignez le seuil de douleur ou le maximum d’ouverture.
Si tu travailles bien tes exercices de physio, tu vas monter à 35 mm ou plus d’ouverture.
Tien moi au courant. Tu es dans la partie la plus importante de ta convalescence. Ne lâche pas et merci de faire un suivi sur le site ainsi que pour nos lecteurs.
Cordialement,
Dr Sylvain Chamberland
Bonjour Docteur,
Cela fait plusieurs années que je connais votre site (très instructif !) et le fréquente régulièrement, Je suis à la recherche de bons spécialistes maxillo-faciale et orthodontie en France (ou éventuellement en Belgique) J’ai eu l’occasion de suivre les échanges que vous avez eu avec monsieur Jaou dont le cas complexe semble avoir été pris en charge de façon très compétente à en juger par le compte rendu satisfaisant qu’il vous a fait de sa dernière opération. Auriez-vous connaissance du ou des chirurgiens qui l’ont opéré, sinon pourriez-vous lui transférer ma demande? Si par l’intermédiaire de vos contacts avec les internautes depuis la France vous avez également d’autres références que vous pourriez me communiquer je vous en serai très reconnaissant. J’ai conscience que vous êtes très sollicité et vous remercie d’avance de l’attention que vous voudrez bien accorder à ma requête
Je ne sais pas qui a pris en charge Jaou. Ça fait longtemps déjà. Je ne sais pas non plus s’il est encore abonné au blogue.
J’ai de bons amis orthodontistes en France, mais la France c’est grand. En Belgique, je recommande les bons soins du Dr Hugo De Clerk (orthodontiste) et Prof Swennen (chirurgien buccal).
À Paris, le Dr André Chainé chirurgien buccal, a pris en charge quelques patients que je lui ai recommandé à distance. J’ai un bon ami orthodontiste à Alès, Éric Canonge, mais il y en a d’autres.
Est-ce que ces informations vous suffisent?
Bonjour Docteur, tout d’abord merci pour cette première réponse.
J’habite Lille dans le nord de la France c’est pour cela que j’ai évoqué aussi la Belgique.
Pour mieux comprendre le but de ma recherche je vous expose brièvement mon cas : Je nourri un complexe qui remonte à la fin d’adolescence.
je présente un visage que l’on peut qualifier d’ hypodivergent (ou face courte) avec une insuffisance verticale et de projection antérieure du tiers inferieur du visage.
Je précise que j’ai subi l’extraction des 4 prémolaires à l’âge de 12 ans (c’était la mode à l’époque) pour faire de la place en prévision des dents de sagesse alors que je n’avais aucun problème initial d’occlusion.
Je conserve d’ailleurs au niveau du maxillaire deux diastèmes entre les canines et les incisives) il serait peut-être réducteur de considérer que ces extractions ont été la cause de ma situation en réduisant l’expansion du parodonte, mais tout du moins elles l’ont je pense aggravée.
Je n’aime donc pas mon sourire qui découvre peu les arcades dentaires qui semblent en retrait du visage (en résumé l’exact inverse de Fernandel et du sourire gingival) j’évite donc de sourire ce qui m’est souvent reproché.
Je songeais alors que dans mon cas une avancée bimaxillaire associée à une légère rotation horaire avec restauration des prémolaires ainsi qu’une génioplastie d’abaissement du menton seraient peut-être indiquées.
Ces informations vous permettrons peut être de mieux désigner parmi les références que vous m’avez déjà citées (ou d’autres que vous pourriez encore connaitre) celles les plus à même de traiter mon cas ou tout du moins qui seraient en mesure de m’orienter dans ma démarche.
Merci encore de l’attention portée à mon message
Vous semblez plutôt bien informé de votre cas, car vous le décrivez avec précision et en des termes qu’un profane ne connait habituellement pas. Je suppose que vous avez déjà eu plus d’une consultation en orthodontie ou en chirurgie buccale.
Je connais le Dr Joel Ferri, chef de service et responsable universitaire chez CHRU de Lille. Il saura vous diriger vers un orthodontiste de son choix.
J’ai rencontré personnellement Dr Ferri à 2 ou 3 reprises et je sais qu’il reçoit des chirurgien buccaux gradué de l’hôpital de l’Enfant-Jésus de Québec pour des fellowship. Vous pouvez lui faire confiance.
Bonjour Docteur,
En fait je n’ai jamais soumis la problématique de mon cas à une consultation, car j’ai cru pendant longtemps que l’orthodontie ne pouvait prétendre qu’à un simple projet de redressement des dents sans pouvoir intervenir sur les dimensions et relations des structures osseuses sous-jacentes. Mais comme j’en ai fait part dans mon premier message c’est en consultant régulièrement au cours de ces dernières années la littérature médicale sur des sites documentés que j’ai pris conscience des possibilités que peut offrir l’orthodontie associée à la chirurgie maxillo-faciale (et vôtre site y a largement contribué) c’est donc à la lumière de ces informations que je souhaite aujourd’hui consulter un spécialiste, je retiens la référence du docteur Ferri que vous m’avez transmise et vous en remercie… à l’occasion je me permettrai de rebondir sur ce forum pour bénéficier de vos explications didactiques si certaines interrogations techniques subsistent à l’issue de mes consultations
Ps : lors de mon dernier message j’ai par mégarde fait apparaître mon patronyme, si celui-ci peut être masqué (ou sinon le post supprimé) merci
J’ai retiré votre patronyme. Désolé, je porte plus ou moins attention à ce détail. Je suis bien d’accord que le prénom suffit.
J’apprécie que vous souhaitiez nous mettre au courant de vos démarches.
À bientôt.
Bonjour Dr Chamberland,
J’ai découvert votre site il y a quelques mois en faisant des recherches en vue de ma future opération(ostéomie d’avancée bimaxillaire avec distraction intermaxillaire (haut et bas) et génioplastie)réalisée il y a 2 mois, le 22/05/2105). Je vous contacte aujourd’hui suite à certains commentaires que j’ai pu lire et je tiens à préciser (malgré les mauvaises expériences relatées ici)qu’il y a de très bons chirurgiens maxilo-facial en France.
Je suis très contente du résultat physique obtenu(j’avoue que juste après l’opération ça a été un peu dur psychologiquement car même s’il n’y a pas un grand changement, cela est suffisant pour ne pas se reconnaître et puis l’œdème aussi). Ma motivation première pour subir cette opération était mes problèmes d’apnées du sommeil et mon menton qui était un peu trop prononcé et bas (visage long)avec béance labiale.
Aujourd’hui, la seule chose qui me dérange un peu est que je suis encore engourdie au niveau du menton et cette sensation que les tissus sont figés, tendus à ce niveau mais bon ça fait que 2 mois depuis l’opération.
Ca doit être normal ?
Je suis content de lire une histoire positive suite à une chirurgie orthognathique en France. Vous avez raison, il y a de bon chirurgien buccaux en France. Vous devriez publier le nom de votre chirurgien sur ce site. Çà m’aiderait à y orienter les gens qui sont dans votre région.
C’est normal que vous ressentiez encore un engourdissement 2 mois après votre chirurgie. Çà peut prendre jusqu’à 6 mois pour retrouver la pleine sensation.
Bonjour docteur,
En réponse (un peu tardive désolée) à votre message, le chirurgien de la face et ORL qui m’a opéré est le docteur Lestang à la clinique du Mail de La Rochelle (17).
Il est spécialisé dans les malformations buccales et nasales provoquant des troubles du sommeil.
Ma sœur, s’est fait faite opérer elle(recul de la mandibule)- pas de problèmes d’apnées pour elle – à Tours (37), à la clinique Saint Gatien, par le docteur Bonin – Goga (très compétente aussi)!
Merci Angélique de ces informations.
J’ai vérifié les chirurgiens que vous recommandez et Dr Pascal Lestang est un chirurgien ORL (oto-rhino-laryngologiste). Il n’a pas la même formation qu’un chirurgien buccal et maxillo-faciale, mais il a vraisemblement une compétence en apnée du sommeil. Peu d’information son disponible à son sujet sur le web.
Dre Béatrice Bonin-Goga est stomatologue chirurgien maxillo-facial. Je ne sais pas le lien de parenté avec Prof Dominique Goga, mais ils sont définitivement compétents en chirurgie buccale et maxillo-faciale.
Merci pour votre site et je me permet d’utiliser votre guide d’informations pour mes patients.
Pour votre information beaucoup d’orl sont formés à Paris pour la chirurgie
Orthognatique et celui qui a la plus grosse activité à Paris est orl.
J’ai été interne chez le Pr Monteil lui même ancien élève du Pr Delaire
Au plaisir de vous rencontrer un jour.
Cordialement
Dr Lestang
Bonsoir Dr Lestang,
J’ai eu crainte un instant d’avoir écrit quelque chose de pas correct et j’ai donc vérifié pourquoi votre nom apparaissait.
Comme mentionné, j’ai demandé à la personne qui me contactait de révéler le nom du chirurgien qui l’a opéré parce qu’elle avait eu une expérience positive. D’où la publication de votre nom, ce qui vous fait une bonne publicité.
Je suis bien conscient que ce sont les stomatologues et ou certains ORL qui font les chirurgies orthognathique en France. Ce n’est le cas au Canada et aux États-Unis. Nous avons la spécialité « chirurgie buccale et maxillo-faciale » et il faut d’abord être dentiste pour entreprendre cette formation. Le programme dure 6 ans et le résident doit faire tout le cours de médecine, obtenir une licence de médecin et continue pour 2 années supplémentaire en chirurgie buccale seulement.
Comprenez que j’ai un biais favorable à la formation des spécialistes en chirurgie buccale et maxillofaciale canadien. Si vous regardez la publication du cas de Jennifer en décembre 2015 et février 2016, vous comprendrez que j’ai un doute raisonnable envers certains stomatologues français.
Cordialement,
Dr Sylvain Chamberland
bjrs
jai subit une genioplastie raté pour harmonisé un visaaaage avec un menton trop en arrière… j’ai deux creux sur les coté et dois faire des injection de radiess pour avoirs un menton a peut prés normale… un autre medecin me dit qu’il aurai fallu faire un avance mandibulaire mais se qui se passe c’est que j’ai des soin dentaire (des bagues)pour alligné les dent et les rentré un peu en arrière… quelle solution j’ai a ça merci
Je vous dirais de consulter un orthodontiste spécialiste pour qu’il planifie un traitement majeur qui prends en compte tous les problèmes de votre malocclusion. Je dirais à votre orthodontiste qu’il utilise les services d’un spécialiste en chirurgie buccale et maxillofaciale. En France, cette spécialité n’est malheureusement pas reconnue. Ce sont des stomatologistes qui font les chirurgies orthognathiques.
Comme je l’ai déjà mentionné, traiter une malocclusion dentosquelettique, ça ne se fait pas « p’tit bout par p’tit bout ». Ça se planifie comme la construction d’une maison se planifie avec un plan. Il faut visualiser le résultat final avant même d’avoir commencer.
Votre orthodontiste doit être en mesure de vous expliquer ce qu’il fait et pourquoi il le fait.
Bonne chance.
Bonjour docteur,
Voila mon chirurgien à pratiquait une ostèotomie horizontal pour avancait mon menton fuyant et retirer une baguette osseuse pour « raccourcir »la longueur de mon visage mais 8 mois post op j ai un visage qui parait plus long qu’ avant est ce possible ou est ce une illusion d’optique suite aux encoches apparentes du au trait de section. tout mon entourage confirme. que puis je faire .Puis je réopérer pour retirer encore de l os ou bien pratiquait un retrait d os du maxillaire supérieur car j ai un sourire gingival je suis trés mal dans ma peau à cause de cette face trés longue .. par contre de profil c est impec .merci d ‘avance pour les infos
La planification et la réalisation d’un traitement d’ortho n’est pas comme les choix d’un menu au restaurant. On ne peut pas dire, je vais prendre juste une entrée, je n’ai pas envie d’un repas complet.
En orthodontie, il faut une vision globale qui prends en compte toutes les caractéristiques anatomiques et toutes les divergence par rapport à une norme des proportion du visage dans les 3 plans de l’espace. Il faut aussi tenir compte des relations dentosquelettiques qui doivent être normalisées sur chaque arcade dentaire avant la chirurgie.
Si vous avez eu un racourcissement du menton seulment alors qu’il y avait une composante d’excès vertical du maxillaire (vous dites avoir un sourire gingival), il est probable que vous trouviez que la transformation n’était pas adéquate.
Vous avez pris une entrée (la génioplastie), mais cela n’a pas comblé votre besoin, alors vous voulez un plat principal, nommément une ostéotomie Le Fort 1 de réduction verticale. Aviez-vous consultez un orthodontiste ou avez-vous eu recours à un chirurgien stomatologiste seulement?
Je vous recommande de consulter un orthodontiste et de faire une planification complète ortho chirurgie. Je vous recommande une table d’hôte au lieu de prendre un menu à la carte.
Prenez note que ma réponse est donnée à partir des informations fragmentaires que vous avez dites. Je ne peux donc pas répondre avec précision à votre question: Puis-je réopérer pour retirer encore de l’os ou bien pratiquer un retrait d’os au maxillaire? »
Bonjour,
Je vais surement subir une opération des mâchoires :
j’ai vu deux chirurgiens qui veulent me faire la même chose sauf qu’il y a un chirurgien qui veux m’écarter le palais (Le fort 1).
Les deux chirurgiens souhaitent faire un avancement maxillaire et génioplastie ou éventuellement une bi maxillaire)
Je ne suis pas trop quoi faire, je suis un peu perdu.
Est t’il possible de vous envoyer les radios de face et de profil ainsi que mes photos pour que vous me donniez un avis.
L’opération de type lefort 1 (avancement maxillaire et écartement du palais, se fait en 1 seule opération ?)
Je vous remercie pour votre réponse
Il est relativement fréquent qu’il faille élargir lors d’une chirurgie Le Fort 1. Il est important d’avoir la larguer du maxillaire supérieur bien coordonné avec la mâchoire inférieure.
J’imagine que vous avez un orthodontiste fera votre traitement orthodontique. Je pense que c’est lui qui peut vous répondre le plus adéquatement sur la nécessité d’élargir le maxillaire lors du Le Fort 1. Je ne comprends pas pourquoi vous consulter 2 chirurgiens. Habituellement, il y a une relation importante entre l’orthodontiste et le chirurgien et c’est souvent l’orthodontiste qui dirige le patient.
Pour répondre à votre question, l’élargissement du palais et l’avancement du maxillaire se fait en même temps.
Je vais vous communiquer mon courriel pour que je consulte vos radiographies.
Je vous remercie de m’avoir fait parvenir vos radiographies.
J’ai fait un petit travail photoshop sur la radiographie de droite afin de démontrer qu’un avancement du maxillaire supérieur permet une correction adéquate de votre rétrusion du maxillaire supérieur. Je ne suis pas certain qu’une génioplastie soit nécessaire sauf pour une réduction verticale de 2-3 mm.
Pour savoir s’il faut faire de l’expansion lors du Le Fort 1, il faut articuler les modèles de vos dents selon la relation indiquée sur le ceph de droite. Si les dents supérieures postérieures ne sont pas en surplomb des dents inférieures, il faut élargir. S’il y a un surplomb, un Le Fort 1 sans partition fera l’affaire.
En espérant que ces informations vous seront utiles.
Bonsoir Docteur,
Je vous remercie pour votre réponse et votre travail. Mon orthodontiste m’a conseillé d’avoir deux avis de chirurgiens. Mes dents actuelle bougent et mes dents du bas sont en train de recouvrir cette du haut (tout cela m’inquiète mais apparamment c’est normal …. pouvez vous me le confirmer ?
Je n’ai pas compris votre phrase : Pour savoir s’il faut faire de l’expansion lors du Le Fort 1, il faut articuler les modèles de vos dents selon la relation indiquée sur le ceph de droite. Si les dents supérieures postérieures ne sont pas en surplomb des dents inférieures, il faut élargir. S’il y a un surplomb, un Le Fort 1 sans partition fera l’affaire. En espérant que ces informations vous seront utiles.
Pouvez vous m’expliquer ?
De plus, connaissez vous un bon chirurgien sur Paris ?
La simulation que vous avez effectué est donc un avancement du maxillaire mais sans élargissement ?
En vous remerciant par avance
Cordialement
Ce n’est pas tant vos dents qui bougent que votre mâchoire inférieure qui a grandi en classe III. Vous semblez avoir déjà eu un traitement d’ortho car vous avez un fil de contention collé sur vos dents inférieures. Il est possible que votre malocclusion se soit aggravée entre 16 et 20 ans. La photo que vous m’avez envoyée et que je n’ai pas publiée m’indique que vous n’êtes pas très vieux.
Je confirme donc que vous avez une malocclusion de classe III où la mâchoire inférieure est plus longue que la mâchoire supérieure.
Évaluation sur modèles de la largeur des maxillaires
Pour répondre à votre question, voici les modèles d’un patient ayant une malocclusion de classe III où les dents sont articulées selon la position de fermeture maximale. Les flèches rouges indiquent que les dents supérieures ferment à l’intérieur des dents inférieures, et ce des deux côtés. Le maxillaire est donc trop étroit et nous pouvons présumer qu’il faudra élargir le maxillaire. Toutefois, puisque le maxillaire doit être avancé, la largeur relative des mâchoires va changer l’une par rapport à l’autre à mesure que la relation antéropostérieure changera.
Articulation manuelle des modèles en classe I
L’articulation manuelle des modèles en classe I, corrigeant ainsi le défaut antéropostérieur, permet d’apprécier avec plus d’exactitude le manque de largeur. Remarque que les dents du côté gauche s’articulent à l’extérieur des dents inférieures (flèches bleues) alors que les dents du côté droit ne s’articulent pas avec un surplomb horizontal suffisant à l’extérieur des dents inférieures. Il faut donc procéder à une partition du maxillaire lors de l’ostéotomie Le Fort 1 afin de corriger la déficience transversale du maxillaire relativement à la mandibule.
Il existe certain cas où l’articulation manuelle des modèles en classe I démontre qu’il n’y a pas de déficience transversale résiduelle auquel cas, il n’est pas nécessaire de faire une partition du maxillaire lors du Le Fort 1.
J’ai déjà recommandé sur cette page le Dr André Chaine. Mai si vous prenez le temps de lire tous les commentaires, je crois qu’il y en a un autre qui est recommandé.
La simulation que j’ai effectuée sur la réponse précédente ne tient pas compte de la largeur du maxillaire.
Bonjour,
Merci pour votre réponse.
J’ai effectué des moulages, je vais vous les envoyer par mail afin que vous me disiez ce que vous en pensez. (j’ai essayer de les emboîter entre eux. (si pour vous, il est nécessaire d’agrandir le palais ou non).
Je suis allé voir le Docteur Deffrennes, le connaissez vous ?
Je vous remercie pour votre réponse
Cordialement
Dr Dufresnes est le nom de l’autre chirurgien que j’ai vu circulé sur mon site. Il a aidé plusieurs patients qui ont eu des problèmes, si ma mémoire est bonne. Veuillez vérifier l’orthographe de son nom.
Bonsoir Docteur,
Je vous remercie pour votre réponse.
Je trouve que le coté droit sur mes moulages n’est pas bien emboîté, qu’en pensez vous ?
Docteur Deffrennes, m’a dit qu’il faudrait avancer les deux machoires et toucher au menton. Qu’en pensez vous ? Pouvez vous faire une simulation sur son analyse.
En vous remerciant par avance.
Cordialement
L’articulation de la dernière molaire à droite est un problème mineur et pourra être corrigé après la chirurgie. Il est vraisemblable qu’une génioplastie sera nécessaire. Je ne m’aventurerai pas davantage dans les prédictions et suppositions.
Je ne ferai pas d’autre simulation pour vous.
Ma réponse est complète et finale.
Vous devez faire confiance à votre chirurgien et à votre orthodontiste.
Bonjour,
Je vous remercie pour votre réponse.
Donc pour vous, vous êtes catégorique, ce serait un avancement de la mâchoire du haut sans écartement de palais avec peut-être une génioplastie du menton.
J’ai un autre souci, avant je respirais par la bouche et je mettait pas ma langue au palais.
Actuellement, je suis en train de corriger ce problème. Le souci, je me suis aperçu que je n’arrive pas à respirer par mon nez souvent bouché matin et soir. L’orl a constaté que j’avais le nez long et fin (donc les voies nasales fines et peux être de l’apnée au sommeil).
Le fait que j’avance la mâchoire du haut, est t’il bénéfique pour la respiration ? Ou le faite d’avancer les deux mâchoires permet de mieux respirer également ? ou le faite d’écarter mon palais peux être aussi bénéfique ?
En vous remerciant par avance. Je peux vous envoyer une photo de face et de profil pour que vous me donniez votre avis.
Bien cordialement
Réponse à vos questions:
1- …vous êtes catégorique…
C’est votre chirurgien qui doit prendre la décision finale.
2- Le fait que j’avance la mâchoire du haut, est t’il bénéfique pour la respiration ?
Oui.
3- Ou le faite d’avancer les deux mâchoires permet de mieux respirer également ?
Oui.
4- Ou le faite d’écarter mon palais peux être aussi bénéfique ?
Des fois oui, des fois non.
Pas besoin d’envoyer d’autres photos. Je ne vous donnerai pas d’autres avis. Je vous ai dit que mon avis était complet.
Bonsoir Docteur,
Je vous remercie pour votre réponse.
Je souhaitais savoir, quand on avance la machoire du haut, peux t’il y avoir une récidive quelquonque ? est ce une opération lourde et douloureuse ?
Merci pour votre réponse
Cordialement
En haut de cette page, il y a un tableau de la hiérarchie de la stabilité des chirurgies orthognathiques, Vous constaterez que l’avancement du maxillaire (maxilla forward) est en haut de l’échelle de stabilité et reçoit la cote « stable à très stable ».
Pour savoir si cette chirurgie est lourde, je vous recommande de regarder les diapos de 2 à 7 du Keynotes Orthognatic surgery chirurgie orthognathique. Vous pouvez aussi visionner le clip video EPRAC SARPE surgical technique.
Une ostéotomie Le Fort 1 est la même chirurgie que l’EPRAC avec en plus le down fracture du maxillaire (figure 3, 4 et 5 du Keynotes cité précédemment).
Vous aurez des médicaments pour contrôler la douleur.
Bonjour Docteur,
Merci pour votre réponse.
Je ne trouve pas les chirurgies avec différentes procédures de stabilité. Pouvez vous m’envoyer le lien.
Si je comprends bien toucher à la mandibule est plus important que de toucher au maxillaire.
Quels sont les risques de la chirurgie du maxillaire ?
Je vous remercie
[caption id="attachment_5125" align="alignleft" width="324"]
Hiérarchie de la stabilité des chirurgies orthognathiques. Auteur: Dr William Proffit.[/caption]
Je vous ai dit de regarder en haut de cette longue page web. Voici la figure en question.
Je vous recommande de poser vos questions à votre chirurgien. C’est son rôle d’y répondre.
J’ai fait ce que je pouvais pour vous informer. Çà suffit.
bonjour,
je souhaiterais avoir une génioplastie car j’ai le menton fuyant. Suite a cette malformation j’ai mal dans le bas de la machoire elle craque, j’ai les dents qui se déchaussent et j’ai du mal à fermer la bouche naturellement. Est ce que, grâce à cette opération je n’aurais plus ces problémes?
Merci, cordialement
Le menton fuyant fait en sorte que pour fermer vos lèvres, vous devez contracter votre muscle du menton pour obtenir une fermeture des lèvres. Cette contraction musculaire tire sur le périoste et l’os recouvrant les racines des dents peut s’en trouver aminci et favoriser certains types de récession de gencive, mais pas tous les types de récession.
Une génioplastie d’avancement et de réduction verticale tel que décrit et illustré sur cette page permet une résolution de 80 à 100% des problèmes de scellement labial. Il vous sera alors facile de fermer vos lèvres sans contracter le muscle de votre menton. Cependant, si une ou des récessions sont déjà présentes, la gencive ne remontera pas à son niveau normal juste par le moyen d’une génioplastie. Si vous avez des récessions, il est plutôt recommandé d’avoir des greffes de gencive au préalable et d’avoir la génioplastie ensuite.
Je viens mettre à jour ma situation plus d’un mois après ce post.
je me suis faite réopérée par un autre chirurgien il y a 2 semaines.
La première plaque utilisée était un peu tordue et une des vis l’était complètement.
Du fait de ce manque de stabilité, le menton était bien en rotation vers la droite.
Le nouveau chirurgien a utilisé 3 plaques.
Aussi j’ai appris qu’il manquait un bout d’os sur la droite suite à la première opération.
Aujourd’hui, mon menton a l’air droit et centré.
j’ai une légère encoche sur ma droite et sur ma gauche ce côté est un peu plus mince certainement du fait du manque d’os car en touchant je sens bien qu’il y en a moins.
Mais bon visuellement, rien de très flagrant, en tout cas rien de comparable avec le ratage d’avant.
Un grand merci au Dr Chamberland et son chirurgien (Dr Dany Morais) qui m’ont éclairée sur ma situation car mon premier chirurgien n’a jamais voulu me donner aucune vraie explication. De plus, avant de trouver le chirurgien qui m’a réopérée, j’en avais vu d’autres qui ne voulaient rien faire, et aucun ne m’a dit qu’il y avait une rotation.
J’ai cherché beaucoup d’aide sur internet, envoyé des mails, et le Dr Chamberland a été le seul à me donner une vrai réponse. Je ne l’oublierai jamais.
Grâce à cela, j’ai pu comprendre ma situation et communiquer dessus et obtenir ainsi un rapide rendez vous avec le chirurgien qui m’a réopérée.
Dr Chamberland, merci pour tout.
Bravo,
Je suis bien content de recevoir de vos nouvelles.
La photo postop me démontre que ta 2e opération a été un succès. J’ai vérifié avec ton autre panogramme et, bien que je ne l’avais pas remarqué car mon attention était centrée sur la déviation du menton, je peux reconnaître qu’il y avait effectivement un morceau d’os manquant. J’aurais confiance que le remodelage osseux vous soit favorable, car le bout de menton est maintenant placé symétriquement. (J’ai eu accès aux photos et au panogramme grâce à un courriel personnel non publié)
Je trouve que votre nouveau chirurgien a bien placé ses plaques et vis. Vous ne devriez pas avoir de problèmes.
C’est donc une histoire triste qui finit bien et dont vous pourrez parlé en utilisent le temps passé (conjugaison des verbes).
C’est aussi une belle histoire en ce sens que quelqu’un sur le web a su vous aider à vous donner les informations et ressources nécessaires à la résolution de votre problème. Pour moi, cela vaut le nombre d’heures que je passe devant mon ordinateur.
Recevez, Madame, mes saltations distinguées
Mise à jour de l’histoire de Sandra.
Sandra m’a fait parvenir une tomodensitométrie volumique à faisceau conique de son menton (TVFC ou CBCT). Cette radiographie 3D a été prise par le chirurgien qui l’a réopéré. Elle met en évidence la déviation et la rotation du fragment osseux de son menton. Sur l’image de droite, le fragment au bout de la flèche #4 devrait être aligné avec la flèche #3 et le fragment au bout de la flèche 2 devrait être aligné avec la flèche 1. Sur l’image de gauche, on peut voir les segments non alignés représentés par les mêmes numéros. Le fragment indiqué par la flèche #2 expliquait la bosse ressentie par la patiente à sa droite et le creux sur sa gauche est expliqué par le creux indiqué par la flèche #3.
Après la réopération, la radiographie panoramique démontre le bon alignement du menton et on observe que les rebords du fragment mentonnier sont alignés avec le corps mandibulaire tel qu’indiqué par les flèches en position #2 et #3.
.
.
.
.
La nouvelle photo du menton prise quelques semaines après la réopération démontre une meilleure symétrie du menton.
Bonjour Docteur,
J’ai le même problème que Sandra, j’ai une belle asymétrie depuis une opération, une génioplastie datant du 11 juin.
C’était flagrant dès le premier jour post op, mais j’ai attendu des jours pensant que ça allait dégonfler.
Je dois revoir ce chirurgien et j’ai vraiment peur qu’elle me dise : vous n’avez aucun problème.
J’ai ce creux du côté droite, identique à celui de Sandra, peut être même plus profond.
Mais ça n’est pas tout vu que j’ai subi une opération avec implant en silicone c’est tout l’implant qui est positionné vers la droite (légèrement mais ça se voit et ça se sent aussi c’est très désagréable au toucher de voir que le bas de mon visage est de travers).
Je n’aimais pas du tout mon menton avant (retrognathe et long face syndrome) avec des problèmes de mâchoire, occlusion, dents qui se déchaussent (oui c’est en cours et j’ai 28 ans et une bonne hygiène bucco dentaire), craquement du côté gauche, j’ouvre la bouche de travers, etc mais j’ai vu AUCUN orthodontiste qui a accepté de me faire opérer par un chirurgien compétent.
Mais tous les chirurgiens que j’ai vu (y compris à la Salpétrière) m’ont dit qu’il était urgent que je me fasse opérer.
Donc sur un coup de tête, je me suis dit : Bon vu que personne veut m’aider, je vais faire de la chirurgie esthétique, ça ira plus vite, je serais chouchoutée et j’en aurais fini pour de bon.
Mais aujourd’hui je me sens seule au monde, j’ai dépensé beaucoup d’argent dans cette intervention, je ne peux pas payer de nouveau, cela m’est impossible.
Pour couronner le tout, j’ai des douleurs dans ce creux et parfois dans le cou.
Que puis-je faire ?
Émilie,
Je suis bien désolé de ce qui vous arrive. Mais j’ai le regret de vous dire que vous avez probablement pris une très mauvaise décision en vous faisant opérer par un « chirurgien plastique » sur un « coup de tête ».
Vous pouvez avoir un problème comparable à celui de Sandra, mais vous n’avez pas eu le même type d’opération, car vous dîtes avoir reçu un implant en silicone. Vous n’avez pas eu une vrai génioplastie. Vous avez plutôt un problème comparable à celui de Damien. C’est votre prothèse alloplastique qui est mal placé et qui vous cause le dérangement que vous manifestez. Votre problème n’ira pas en s’améliorant, car le matériau alloplastique ne s’intègre jamais avec l’os et peut se déplacer davantage. Je vous recommande de lire la conversation complète avec Damien sur ce sujet.
Çà, c’était la mauvaise nouvelle.
La bonne nouvelle est que vous pouvez faire enlever cet implant maudit et subir une vraie chirurgie orthognathique par un chirurgien compétent. La description de votre malocclusion (rétrognathie, rétrogénie et long face syndrome) implique une chirurgie orthognathique bimaxillaire. En aucune manière une chirurgie cosmétique avec un implant en silicone ne peut vous aider.
J’ai eu l’occasion de recommander Dr André Chainé sur ce blogue et je sais qu’il a résolu bien des problèmes à des gens qui ont consulté ce site.
Je trouve dommage de constater le peu de communication en France entre les orthodontistes et les chirurgiens buccaux et de voir que beaucoup de patients sont peu ou pas guidés.
Vous me demandez que faire?
Il faut défaire ce qui a été mal fait et faire ce qui aurait dû être fait. Et n’agissez plus sur un coup de tête.
Je vous souhaite bonne chance dans vos démarches.
Bonjour Dr Chamberland,
Merci de m’avoir répondu, je n’ai pas eu le temps de vous remercier pour vos conseils, je m’en excuse.
J’ai suivi votre conseil à la lettre et j’ai trouvé un chirurgien qui va me retirer cette prothèse qui était évidemment mal posée et mal fixée.
J’ai rencontré un orthodontiste, il préconise (comme le dernier que j’ai vu) DES extractionS dentaireS (deux pré-molaires haut, et deux pré-molaires bas), mais je suis contre.
Je préfère me faire écarter les os et me faire agrandir l’arcade du haut (c’est vulgairement dit, mais c’est ça). Voyez-vous, il y a 3 ans en arrière on m’a retiré les dents de sagesses (toutes) pour justement faire de la place, ce qui n’était sans doute pas une mauvaise idée mais apparement il n’y en pas assez. De place.
Le problème est que j’ai les dents qui se chevauchent un peu plus chaque année (en plus de se déchausser) MAIS j’ai un visage très fin et les lèvres charnues. J’ai peur d’avoir des lèvres moins toniques et un visage trop maigre après. En plus d’avoir un affaissement global des joues et un vieillissement prématuré du visage.
Sur internet je trouve de TOUT. Les Docteurs eux-même ne savent pas se mettre d’accord sur ce simple principe : Extraction ou pas extraction. Bien sûr vous allez me dire que chaque cas est différent.
Mais je pense tout de même que se faire extraire des dents saines peut être préjéduciable à long terme. Tant au niveau dentaire, qu’au niveau articulaire. Entre ceux qui veulent absolument « arracher », et ceux qui sont vraiment contre. Qui a raison …??? Merci de m’éclairer, je fais confiance à vos lumières et à votre expérience certaine.
Cordialement,
Si vous être contre les extractions alors que 2 orthodontistes recommandent des extractions, je pense que vous avez 3 choix.
1- Trouver un orthodontiste qui fera ce que vous dîtes, c’est-à-dire ne pas extraire et accepter les résultats, bons ou mauvais qui seront obtenus.
2- Ne pas vous faire traiter et garder vos dents comme elles sont.
3- Accepter le plan de traitement proposé et faire confiance à des gens qui ont les compétences nécessaires pour prendre les bonnes décisions. Après tout, ce n’est pas vous l’orthodontiste.
Vous avez raison. On trouve de tout sur internet. Les idioties et les imbécilités y sont nombreuses.
Ma lumière ne peut vous éclairer davantage, vu la distance qui nous sépare et mon expérience certaine ne vous est pas utile puisque c’est vraisemblablement impossible que je vous traite un jour étant donné cette fameuse distance.
Bonjour Dr Chamberland,
Comment allez vous? J’espère que votre hanche va bien.
Moi je vais très bien!
Cette semaine j ai enfin fait un pano de controle. Alors c’est intéressant de voir le remodelage osseux qui a eu lieu. Les encoches se sont bien atténuées. Mais ça, je m en doutais je voyais que mon menton évoluait avec le temps, elles sont vraiment peu visibles.
Bref, je suis passée sur votre blog, et celui de votre confrère le dr Lemay, j ai lu en diagonale, je me souvenais de « mimi ». Je vois qu’elle a trouvé une solution à son problème, c’est génial pour elle.
Je me souvenais aussi de Valentin, à l’époque on avait échangé quelques mails, puis il ne m’avait pas répondu …
Je n’ai plus eu de nouvelles, j’espère que ça va…
Je vous ai mis pour information mon pano de cette semaine, on voit que l’os éclaté sur la droite a quand même un peu récupéré…
à bientôt,
Sandra
Merci, Sandra, de me faire un suivi de l’évolution de ton traitement.
Le panogramme de contrôle de février 2014 indique un excellent remodelage du site ostéotomisé.
Je sais que la vie a été bonne pour toi car tu es maintenant une jeune maman. Ton bébé doit bien avoir grandi. Quel âge maintenant?
En effet, je crois que Mimi a trouvé une solution à son problème et elle nous a remercié Jules et moi.
Valentin aussi. Lui c’était plus spécial, car il évoquait le suicide.
Alors Jules et moi on a pris en charge son mental et si ma mémoire est bonne, il est « récupéré ».
Faudrait que j’aille vois sur lequel des 2 sites il a placé son remerciement
Valentin:
http://www.sylvainchamberland.com/ortho-101/chirurgie/#comment-15972
Mimi:
Je ne trouve pas la conclusion de son état sur mon site. C’est probablement sur celui de Jules.
À +
Dr Sylvain Chamberland
P.S. : Mon opération pour la hanche fut un grand succès.
Bonjour Sandra , il se trouve que j’ai un peu la même histoire que toi :
Je me suis faite opérée début avril pour une génioplastie de recul , avec le chirurgien nous avions convenu d’un recul de 3 mm (menton en galoche) et de raboter les côtés pour le rendre plus féminin …
Durant l’opération le chirurgien a tout simplement changé d’avis et a décidé sans me consulter de reculer le menton de 8 mm tout en le baissant de plusieurs mm … Le résultat , une catastrohe , j’étais défigurée !!!
Quand je lui ai demandé pourquoi il avait fait ça , il m’a tout simplement répondu qu’avec 3 mm il trouvait qu’on ne voyait pas assez la différence , qu’il avait alors essayé 5 mm mais que ce n’était toujours pas assez à son goût , jusqu’à 8 mm (mais moi je ne voulais pas autant ) , et qu’il l’avait descendu parce qu’il trouvait que ce serait mieux que j’ai le visage long …
Le résultat étant monstrueux il a accepté de me réopérer un mois jour pour jour après la première opération pour remonter et ré-avancer mon menton …
Aujourd’hui , soit 3 mois après la deuxième intervention , j’ai comme toi après ta première opération le menton excentré sur un coté avec un gros creux de l’autre , sur les radio post-opératoire on peut voir un manque de contact entre les segments osseux , et cerise sur le gâteau il m’a recousu le muscle de la houppe trop bas ce qui fait que maintenant j’ai une insuffisance labiale avec ptôse des tissus mous du menton engendrée par la descente du muscle de la houppe …
Quand je lui dis il ne veut rien savoir et me dit d’attendre , il essaye à tout prix d’éviter le sujet de ma lèvre et élude les questions …
Aujourd’hui je suis très malheureuse et je cherche un chirurgien sérieux qui pourrait au moins me replacer le muscle de la houppe pour restaurer ma lèvre et remettre les tissus en place , pourrais-tu me donner les coordonnées du tien ?
Encore merci !!!
Tel que je vous l’avais promis sur le site de mon collègue, j’ai communiqué avec Sandra et elle accepte de vous donner l’adresse de son chirurgien à Paris. Il est à la Salpêtrière.
Je vous mets donc en contact. Tenez-nous au courant de l’évolution sur ce site et sur le site de mon collègue.
Bonne chance
Bonjour Docteur Chamberland,
Vous avez répondu sur le site de Docteur Jules (orthodontisteenligne.com) et je vous en remercie beaucoup.
Je vous explique plus en détail ma situation. Je suis rétrognathisme (à l’école, on se moquait de moi « homme préhistorique »). Avec le traitement orthodontique, ça a beaucoup amélioré, mais ma bouche est toujours un peu en avant, alors je voudrais une opération de recul maxillaire et mandibulaire. Mais mon orthodontiste m’a dit que c’est vraiment très lourd pour gagner peu. Traumatisé par des moqueries dans mon enfant, je suis quand même allé voir un chirurgien maxillo-facial, qui connait très bien mon orthodontiste. Alors après des discutions avec mon orthodontiste, il m’a dit que j’ai un menton fuyant alors un avancement de menton peut donner une impression que ma bouche est moins en avance. Donc il m’a rassuré que mon visage de face ne change quasiment pas. Le changement sera tellement mimine que personne ne remarque. Et de profil, je serai beaucoup mieux, plus harmonieux. Mais alors avant l’opération, (j’ai déjà mis la blouse), il m’a dit qu’il va raccourcir un peu mon menton car sinon en avançant mon menton je ne vais pas pouvoir fermer ma bouche. Encore une fois il me rassure que ce raccourcissement ne change quasiment rien de mon visage de face (mimine). Alors j’étais inquiété mais c’était trop tard, on commence à m’emmener au bloc opératoire. J’avais fait confiance à mon chirurgien ….
J’ai toujours aimé le contour de mon visage de face, qui est bien ovale, fin et doux. Alors à chaque visite avant de décider de faire l’opération. J’ai toujours fait savoir à mon chirurgien que j’aime mon visage fin que je trouve harmonieux avec mon corps assez fin. Alors maintenant, après 6 semaines, mon visage est complètement carré, le menton de vient plat. Due à la coupe à 30° au lieu d’horizontal, avec le glissement d’os, l’ancien pointe de mon menton se trouve au milieu haut de menton, du coup mon menton maintenant est beaucoup plus large et plat qui me donne un visage carré et sévère. Et je déprime énormément.
En plus en lisant les commentaires ici, je remarque aussi sur la panoramique un manque de contact entre les segments osseux de la symphyse et du corps mandibulaire à droit. Et il est vrai que mon coté droit est plus carré que le coté gauche (moins de courbure). Pourrais-je vous envoyer les photos de radios ?
Je voudrais vous demander si vous pouvez me mettre en contact avec Sandra et Mimi et me donner l’adresse de son deuxième chirurgien à Paris (à Salpêtrière ) ?
Je vous remercie infiniment,
Valentin
Valentin,
J’ai pris connaissance de votre histoire, car mon ami Jules m’avait avisé de votre cas et c’est pourquoi j’avais répondu sur son site.
Je ressens beaucoup de peine que je lis que vous avez subi beaucoup d’intimidation à propos de votre mâchoire quand vous étiez enfant,
Je crois que votre « dépression » était présente avant votre chirurgie et que vous avez probablement cru que la chirurgie vous aiderait à améliorer votre image et votre estime de soi. Vous n’étiez pas préparé aux surprises et lorsque votre chirurgien a dit qu’il raccourcirait le menton, cela a créé une angoisse face au résultat. Il se peut que le résultat ne soit pas optimal, auquel cas vous avez raison d’être déçu et il se peut que le résultat soit très correct, mais comme vous avez bloqué votre perception, vous ne pouvez pas apprécier le changement à sa juste valeur.
Une coupe de menton est rarement horizontale et il y a souvent une pente. Il n’est pas rare que le menton, en plus d’être fuyant, soit trop long. Il est donc normal que l’avancement du segment osseux (appelé le segment distal) nécessite une réduction verticale sinon il pourrait se produire une ptose de la lèvre inférieure comme le cas de Damien (note du 25 jullet 2012 à 10h30). Ce ne sera pas très joli non plus et probablement pire que ce que vous avez.
Maintenat, comme je l’ai mentionné à maintes reprises sur ce blogue, un menton fuyant est généralement accompagné d’autres difformités dentosquelettiques. Il se peut donc que votre chirurgien ne pouvait faire mieux puisqu’il ne corrigeait pas les autres difformités.
Je vous recommande de consulter un psychologue en attendant. J’ai craint pour vous en lisant votre détresse psychologique sur le site de mon ami.
Je vais aviser Sandra et Mimi et voir ce qu’elles peuvent faire pour vous.
Bonne chance
Dr Sylvain Chamberland
P.-S.: Je vous ai fourni mon adresse privée pour expédier les rx et photos.
Bonjour Valentin,
Le dr Chamberland m’a contactée. Je suis triste quand je lis ton témoignage.
te décourage pas, tiens bon,
comme tu l’as demandé, le dr Chamberland va me donner ton mail,
A très vite,
Merci Sandra
Tu auras réussi à en aider plus d’un finalement. C’est un acte d’humanisme que te sera rendu.
Valentin,
Tenez nous au courant de l’évolution de la situation.
Nous souhaitons une fin heureuse.
Bonjour Docteur Chamberland
Je suis tellement heureux de recevoir vos mails 🙂
Je vous en remercie beaucoup. Vous et Docteur Jules m’avez donné beaucoup d’espoir.
Je suis en train de rassembler tous les documents sous forme numérique pour vous envoyer..
Un jour j’irai au Canada pour vous remercier personnellement. Vous m’avez donné la force pour pouvoir continuer.
Je vous remercie infiniment.
Valentin
J’apprécie vos bons mots. Mais surtout, je souhaite vous avoir donné le goût d’être heureux et de persévérer. Je transmettrai votre remerciement à mon collègue et ami, Jules.
Moi et lui passons beaucoup de notre temps libre pour répondre et aider les internautes.
Bonjour Docteur Chamberland , et bonjour tout le monde …
Je suis désolée de répondre aussi tardivement mais j’attendais de passer la consultation que je devais avoir ce mois-ci avec mon nouveau chirurgien maxillo-facial …
Alors , que dire … rien n’a changé , quand je l’ai vu l’année dernière , il m’a dit d’attendre un an avant de réopérer pour que les tissus se remettent en place et surtout de masser …
J’ai massé et aucune amélioration si ce n’est que mon insuffisance labiale s’est un peu arrangée .
Après m’avoir fait faire toute une série de radios et une analyse céphalométrique architecturale , il m’a confirmé que le premier chirurgien avait fait n’importe quoi et que c’était catastrophique :
– En fait mon premier recul était de 15 mm , et suite à la deuxième opération il est de 10 mm , mon premier chirurgien m’avait donc menti pour se couvrir et minimiser son erreur .
– Il n’a pas coupé les segments au même niveau , décalage de 8 mm entre les deux.
– Il n’a limé le menton que sur un côté , j’ai donc une asymétrie de 10 mm en hauteur entre le côté droit et le côté gauche , de face le menton n’est pas droit , il est plus long de 10 mm d’un côté , et de profil j’ai un petit menton côté gauche et un gros menton côté droit avec les 10 mm en plus …
– A cela s’ajoute un double menton que je n’avais pas avant , car normalement tout recul s’accompagne systématiquement d’une liposuccion sous le menton que je n’ai pas eu …
– Et pour couronner le tout , tout est fixé trop bas au niveau de la houppe du menton ce qui fait que je dois forcer pour fermer la bouche et entraîne l’apparition de gros plis de femme âgée accompagnés d’un aspect cellulite …
Je crois que j’ai eu droit au jackpot , le pire dans l’histoire est que mon nouveau chirurgien me déconseille très fortement de réopérer , me disant qu’une troisième opération serait catastrophique et aggraverait les plis et l’aspect cellulite !!!
Il me dit de continuer à masser , que les massages pourraient arranger l’adhésion au niveau de la houppe et donc le phénomène de plis et de cellulite car il pense que c’est dû au tissu cicatriciel , moi je n’y crois absolument pas , qu’en pensez-vous ?
Si je ne peux être réopérée pour rendre le menton symétrique , je voudrais au moins essayer de faire une liposuccion sous le menton ou alors un léger lifting pour tirer toute cette peau et atténuer ces plis immondes de vieille femme alors que je n’ai que la trentaine , croyez-vous que ce soit une mauvaise idée ?
Jusqu’à présent j’ai tenu le coup parce que je pensais qu’il allait m’opéré , mais devant son avis très négatif je n’ai plus rien à quoi me raccrocher …
Bonjour Mimi,
Votre histoire est hallucinante.
Je ne connais pas les chirurgiens buccaux en France. En fait, cette spécialité n’est pas reconnue comme c’est le cas au Canada et aux É.-U.. Ceux qui font des opérations maxillofaciales sont des stomatologues qui sont des médecins chirurgiens spécialisés en chirurgie buccale. Un chirurgien buccal et maxillofacial nord-américain ou canadien est un dentiste qui, durant sa spécialité, fait 3 ans de médecine en même temps qu’il fait ses 5 ans de maxillo. Les 2 dernières années tant exclusivement de la maxillo. La différence est fondamentale. Un chirigien maxillofacial connait les dents et l’occlusion, mais pas un médecin.
Je ne sais pas où vous habitez en France, mais je pourrais au moins vous recommander quelques noms d’orthodontistes en qui vous pourriez avoir confiance et qui pourraient vous recommander à un « bon stomatologue »…
Je crois qu’il faut reprendre votre cas depuis le début avec une planification orthodontique et chirurgicale complète.
J’attends de vos nouvelles.
Bonjour
Pourrais je avoir le nom du chirurgien de la salpétrière car j ai le meme problème de sandra ptôse de la lèvre inférieure suite à une génioplastie
Vous trouverez l’adresse au commentaire du 18 novembre 2013. Il s’agit du Dr André Chainé.
Bonjour Docteur ,
J’ai donc pris rdv avec le Dr Chainé.
Il a dit: muscle de la houppe trop bas ce qui fait que maintenant j’ai une insuffisance labiale avec ptose des tissus mous du menton engendrée par la descente du muscle de la houppe …
J’espère qu’il pourra me replacer au moins le muscle de la houppe pour restaurer ma lèvre et remettre les tissus en place.
J’ai également un petit bourrelet qui s’est crée au niveau de la lèvre.
Et ma bouche est devenue plus petite..
A quoi cela peut-il être dû? Muscles releveur endommagés ?
Mon seul espoir est ce médecin. Tout repose sur lui j’espère qu il va pouvoir me redonner un sourire et un nouveau départ.
Chère Lilou,
Vous me voyez ravi d’apprendre que vous avez rencontré Dr André Chiné et qu’il vous a posé le bon diagnostic et proposé une solution. Çà fait plus d’un patient que je lui recommande et il a su réglé les problèmes avec succès.
Je préfère que vous posiez la question concernant le bourrelet de la lèvre directement au Dr Chainé.
Lorsque que vous aurez reçu votre intervention chirurgicale et que votre lèvre ne sera plus en ptose, j’aimerais que vous veniez nous l’annoncer sur ce forum.
Malheureusement je n ‘ai pas encore rencontré le dr chaine .
seul rdv possible le 12 octobre .
Je voulais avoir votre avis car ma lèvre me fait terriblement souffrir .
Ptose et engourdissement du cote gauche et ce petit bourrelet blanc ..qui est apparu il y a un an et qui s étend . cela m angoisse beaucoup .
Engourdissement du côté gauche m’indique une paresthésie (perte de sensibilité). Si votre 1re chirurgie date de plus d’un an, il y a peu d’espoir que çà revienne normal. Quant au petit bourrelet,blanc, çà peut être biens des choses. Je ne pourrai résoudre votre angoisse. Vous devez attendre votre rendez-vous avec Dr Chainé. Vous nous direz ce qu’il en pense.
Merci beaucoup pour votre gentillesse . Pensez vous que je devrais le contacter rapidement pour voir si il peut avancer le rdv .quand je pose mon doigt sous ma lèvre ou colle un pansement en dessous pour la maintenir appuyer la douleur disparait et ma bouche reprend presque sa forme initiale . pensez vous d’après votre expérience que mon cas est opérable ou pas ?? de plus j ‘ai un zygomatique qui ne fonctionne pas pensez vous que je sois elligilible à la myosplastie d’allongement temporal ?? suis désespérée ..suis devenue un monstre ..
Vous ajouter des problèmes à chaque question que vous posez. Je ne peux pas vous aider davantage. Consulter le Dr Chainé et venez nous rapporter ses conclusions.
Bonjour,
.
J’ai subi une augmentation du menton par implant (approche intraorale , implant coral qui s’ossifie dans les 6 mois)
seulement j’ai surestimé les capacités des muscles et tissu et l’implant est trop grand , il a entrainé la “descente” du muscle mentonnier , son insertion sous les incisives se trouve à present plus bas , laissant un profond sulcus. Je ne peux plus rejoindre les levres , la levre inférieure est 6mm trop basse. Ce n’est pas une incompétence neuro
photo que j’ai postée sur un site américain des photos à 1semaine et 3 semaines, mais pas eu de réponse à ma question http://www.realself.com/files/569340-602660.JPG
La taille de l’implant me convient parfaitement je dois attendre sa complète intégration. Je pense que d’ici là les tissus seront suffisamment distendus pour pouvoir aborder la chirurgie de correction de la ptose ?
Je recherche un chirurgien qualifié qui a l’expérience de la resuspension des muscles de la houppe.Où qu’il soit en France , ou en Europe.
merci d’avance
Le matériau alloplastic ne ne s’intègre jamais à l’os et sera toujours un corps étranger. De plus, la musculature et les autres tissus qui le recouvrent vont exercer une pression qui fera en sorte que l’implant s’enfoncera graduellement avec le temps dans l’os. Cette pression et cette résorption osseuse sous-jacente peut être source de problème pour les dents qui risquent d’être en contact avec votre implant, d’autant plus que votre implant semble mal placé si on peut en juger par les photos que vous avez publiées.
J’ai eu la chance de participer au congrès de l’AOCMF North America 12th Annual Symposium en mars 2012 à Washington DC où je présentais une conférence comparant le Le Fort 1 à l’expansion pallatine rapide assistée chirugicalement (ÉPRAC).
Un éminent chirurgien plastique de la région de Boston, Dr Micheal Yaremchuk, présentait ce qu’il pouvait faire avec des implants alors qu’un chirurgien buccal présentait ce qui était fait en chirurgie orthognathique pour des cas similaires.
Bien que je n’étais pas d’accord avec toutes les chirurgies cosmétiques présentées, j’avoue que Dr Yaremchuk est extrêmement compétent.
Grâce à une recherche sur Pubmed, je peux vous présenter la photo de gauche tirée d’un de ses articles.
Dans votre cas, je me permet de vous dire que vous devriez faire retirer votre implant et consulter un chirurgien buccal qui ferait un avancement de votre symphyse mentonnière tel que décrit ci-haut. Je doute qu’une resuspension du mentonnier règle votre problème. Rien ne peut égaler la qualité d’une génioplastie bien exécutée.
Bonne chance.
Dr Sylvain Chamberland
Référence
.
bonsoir ,
merci bcp pour cette réponse ,
en fait je crois qu’il y a un petit malentendu sur la nature de l’implant. Le biocoral est un implant OSSEUX de type allogreffe qui ne peut etre posé qu’au contact de l’os , comme l’hydroxyapatite poreuse , mais de meilleure qualité d’ostéointégration (le coral se resorbe au fur et à mesure qu’il est remplacé par l’os , par le biais d’un colonisation d’osteoclastes (de la moelle osseuse , prélevée sur la crete iliaque a imprégné l’implant pour accelerer le process) . J’ai bien vérifié avec le chirurgien avant l’intervention que tout serait effectué de cette façon. Ceci était un choix délibéré de ma part , je ne souhaitais pas de génioplastie d’avancement (« sliding ») , que ce chirurgien pratique couramment d’ailleurs
L’implant à 2 mois est déjà radiologiquement intégré à l’os , et en est totalement solidaire (procédé à un CBCT pour vérifier l’implant). C’est bien un probleme de muscle reattaché trop bas car l’implant était un peu « trop » et oedeme aidant , ça la « laché »
ps : je suis médecin moi même , certes généraliste , mais j’ai tout de même fait pas mal de biblio pubmed avant de choisir le mode et l’implant
encore merci d’avoir pris en compte ma question!
Apposition. Résorption. Remodelage.
Voilà 3 qualités essentielles d’une bonne guérison osseuse. Il faut de l’apposition osseuse pour réparer, de la résorption osseuse pour éliminer le cal osseux de réparation. Ces deux actions combinées permettent le remodelage et le retour à une forme normale.
Ce n’est donc PAS de l’os. Personnellement, je ne me serais jamais fait implanter un morceau de craie ou de coquillage sur le menton. Je doute que le CaCO3 se résorbe facilement.
Vous dites que votre implant était un peu « trop ».
Ben d’accord, trop épais, trop haut, trop long.
Tellement que ça a tiré votre menton par le bas et vos lèvres avec. Vous avez un sourire gingival, mais de la gencive du bas, pas de la gencive des dents du haut!
Et je doute que le remodelage, si remodelage et résorption sont possibles avec du carbonate de calcium (qu’il ne faut pas confondre avec de l’hydroxyapatite), vous permette de récupérer une fonction labiale normale.
Je suis bien désolé pour vous, mais votre choix, par rapport à une génioplastie conventionnelle, ne fut pas un choix « heureux » ou « judicieux ».
Je maintiens ma première recommandation de vous faire enlever ce machin et de recommencer à zéro. Je vous ai fourni, sous pli séparé, des noms de personnes qui pourraient vous aider.
Bonne chance
merci Dr pour cet avis , très documenté
J’en suis parvenu au même point ,cad que une chirurgie correctrice sera nécessaire. Je ne veux pas presser pour laisser le temps de la cicatrisation des tissus (6 mois au moins?) , néanmoins pour le biocoral , comme la résorption est bien programmée selon le fabricant , ce délai doit aussi comprendre la stabilisation osseuse)
J’ai fait un cliché xray aujourd’hui (désolé pour la qualité de la photo) , l’intégration osseuse à 9 semaines est déjà importante , l’implant est totalement solidaire à l’examen clinique
http://nsa29.casimages.com/img/2012/08/02//120802051938431818.jpg (à rajouter au blog pour l’intérêt du cas clinique ;).
Encore merci pour votre expertise
De plus il y a un horrible épaulement (gap) indiqué par la flèche et je ne serais pas surpris qu’il se produise un encapsulement fibreux de ce corps étranger et qu’au lieu d’une union, vous ayez une pseudarthrose.
N’attendez pas 6 mois.
Agissez maintenant.
Bonjour Mimi,
Je suis scandalisée par ce qui t arrive,
Je viens de t envoyer un mail,
A très vite
Merci beaucoup Sandra et merci beaucoup Dr Chamberland , je suis désolée pour le retard à chaque fois mais j’ai des problèmes avec ma connexion internet …
J’ai bien reçu vos mails , et votre soutien me va droit au coeur , je vous tiens au courant des suites …
Merci de tout mon coeur !
Bonjour mimi , j ‘espère que vous allez bien?
je vous contacte car j’ai a peu près le même problème que vous en ce qui concerne le muscle du menton qui a été recousu très bas ,avez vous pu régler ce problème? j ai besoin d aide aussi et de conseils
J’ai publié votre question, nous verrons si Mimi répondra.
Mimi, la situation de Kalissa est décrite au lien suivant: https://www.sylvainchamberland.com/ortho-101/chirurgie/#comment-56535
Vous constaterez que ma réponse et mon étonnement est semblable à ce que j’ai eu pour votre cas. Je souhaite que vous avez trouvez solution à votre problème grâce aux contacts de Sandra.
Bonjour Docteur,
Je souhaite avoir votre avis sur ma dentition et ma machoire. Est t’il possible de vous envoyer une photo ?
Avec mes remerciements
Et quelle est votre question?
Décrivez votre problème et je verrai si je peux être utile.
bonjour
je voudrais également avoir les coordonnées du chirurgien à la Salpêtrière qui a réopéré sandra s’il vous plait, peut être qu’il pourra m’apporter de l’aide car suite à une bimaxillaire mon chirurgien a avancé et baissé énormément le menton et trouve que c’est plus joli ,mais pas moi car il a disproportionner mon visage (etage inf > etage moyen =etage sup)
merci d’avance et bonne continuation
Dr André Chainé
Consultation les mercredi et vendredi
Téléphone : 00 33 1 46 22 07 07
12 avenue Carnot, 75017 Paris
Consultations publiques les jeudi
Téléphone : 00 33 1 42 16 13 01
Hôpital de la Pitié Salpêtrière
47, boulevard de l’Hôpital, 75013 Paris
http://www.docteur-andre-chaine.com/
Bonjour Sandra j ai suivie votre parcour de votre opération génioplastie et e voulais discuter avec vous car je était opérer aussi il ya un an d une génioplastie et c est un ratage total . Merci à vous. Cordialement
Je doute que Sandra vous réponde. Elle est passé à autre chose dans sa vie. Je crois qu’elle a eu un enfant depuis et tout va bien pour elle. Si vous êtes sur Paris, vous pouvez consulter les chirurgiens recommandé dans son fil de discussion.
Merci pour votre réponse . moi aussi j ‘aimerais bien passer à autre chose mais vu que ma lèvre descend de plus en plus .. difficile d’ignorer ce problème .j espère juste qu on peut réamarrer la houppe du menton et la lèvre
Oui il est possible de repositionner l’insertion musculaire de la houppe du menton. Veuillez contacter le Dr Chainé sur Paris pour avoir un diagnostic de votre état.
Tenez nous au courant.
Merci beaucoup pour votre réponse,
Elle est très complète.
Je vous ai envoyé mes radios pour que vous puissiez me donner votre avis.
Je vous remercie.
Cordialement,
Sandra
J’ai analysé vos radiographies et votre photo.
Pour le bénéfice du lecteur, j’aimerais précisé que cette chirurgie a eu lieu en France.
Je comprends mieux le manque de symétrie dont vous mentionnez dans votre précédent courriel.
Sur la vue céphalométrique postéréroantérieure en C, j’ai mis en évidence un décalage en forme de marche qui creuse à gauche et qui sort à droite. Je suspecte qu’il y a eu un déplacement du segment soit per op, soit post op. Ce déplacement aurait pu faire un genre de torsion de la plaque de fixation autour d’un axe vertical tel que décrit par la flèche. Avez-vous reçu un coup sur votre menton dans les jours qui ont suivi votre opération?
Je crois que vous devez parler à votre chirurgien et lui demander ce qu’il compte faire. Je comprends votre désagrément, mais il faut savoir relativiser un problème, si problème il y a, en prenant un certain recul.
Je me suis permis de demander l’avis du chirurgien buccal avec qui je travaille depuis maintenant de 22 ans. Il a confirmé mon diagnostic et mon analyse de vos radographies. Il ajoute qu’il y eu un manque de contrôle, qu’il y a eu rotation horizontale vers la droite du fragment expliquant le creux à gauche et le mauvais alignement de la ligne médiane squelettique. Selon lui, il faut retourner au bloc opératoire le plus rapidement possible à moins que vous ou votre chirurgien ne soit content du résultat. Lui, il ne le serait pas. Il partage mon avis que les fixations rigides avec plaques ne sont pas le meilleur moyen de fixer une symphyse.
Bonjour dr chamberland,
Je me suis fait opérée d’une génioplastie il y a 3 semaines, les gonflements sont partis,
mais je sens que mon menton n’est pas symétrique, et lorsque je regarde la radio j’ai également cette impression.
Vaut-il mieux attendre pour faire une deuxième génioplastie, ou bien vaut-il mieux le faire au plus vite?
Je pense notamment aux dommages que courent les nerfs, est-ce important d’attendre ou pas?
je vous remercie pour vos informations
Bon matin
Il me semble un peu tôt pour estimer de la symétrie de votre menton après seulement 3 semaines postop. Il est possible qu’il reste plus d’enflures d’un côté que de l’autre.Il est possible que l’angle de coupe soit légèrement oblique tel que l’on peut le constater sur l’image radiographique illustrant les ligatures métalliques ci-haut sur cette page.
Vous devez tenir compte qu’il y aura un remodelage osseux qui adoucira les angles de coupe. Ce concept est bien décrit dans cette section voir lien 1 et lien 2. Ce remodelage peut prendre 6 mois à un an.
Donc je ne crois pas qu’il soit indiqué de procéder à une autre génioplastie à court terme.
En ce qui concerne les dommages nerveux, c’est très peu fréquent lors d’une génioplastie quoique ce n’est pas impossible qu’il y en ait. Toutefois, si vous avez déjà noté un retour de la sensation cutanée, ce qui devrait être le cas après 3 semaines, il est peu probable que vous ayez subi des dommages nerveux. Le retour à la pleine sensibilité peut prendre 6 mois.
Recevez, Madame Sandra, mes salutations distinguées
Merci infiniment pour toutes vos réponses, j’y vois encore plus clair !
Je vois que votre clinique est localisée au Québec, puis-je vous demander quels sont vos honoraires? Je vis en France et j’ai rencontré plusieurs chirurgiens qui opèrent à des prix très différents (pour une génioplastie) et j’avoue ne pas m’y retrouver …
Mes honoraires sont inclus dans le cadre d’un traitement orthodontique. Je suis orthodontiste et non pas chirurgien buccal. Au Québec, les honoraires sont couverts par le régime de santé publique (RAMQ). Par contre, je sais que les chirurgiens peuvent facturer un montant pouvant varier entre 1000$CAN et 2000$CAN selon les régions (Québec, Montréal, Trois-Tivières ou Sherbrooke).
Il est plus important de se concentrer sur la façon dont le chirurgien procède à la coupe osseuse et quel type de fixation utilisera-t-il. Pour une génioplastie, 2 à 4 ostéosynthèses (fil métallique) suffisent. Certains utilisent des plaques avec vis. Bien que ce soit une bonne méthode, ce n’est pas nécessaire. De plus, j’ai remarqué que les vis de la plaque sur le segment distal (la partie qui est avancée) deviennent trop en dehors (la tête flotte dans le vide) car l’os qui les entoure se résorbe (zone résorptive).
Bonjour,
J’ai subi une ostéotomie maxillaire et mandibulaire il y a 8 jours, le 26 janvier. Depuis, j’ai toujours des saignements de nez peu importants, mais permanents de la narine gauche. J’ai eu plusieurs jours durant des saignements à la narine droite également, mais ces derniers se sont arrêtés. J’ai lu que ces saignements arrivaient seulement justes après l’intervention. Est-ce normal? Merci. Il est vrai qu’en sortant de l’hôpital, j’ai attrapé froid avec le nez qui coule. Mais là c’est terminé. Je ne sais pas si ça a joué.
Bonsoir,
Les saignements de nez (épistaxis) sont possibles après une chirurgie orthognathique, mais je crois qu’il serait bon que vous reconsultiez votre chirurgien. Votre question concerne plus les soins postchirurgicaux immédiats que les soins orthodontiques. Ils sont plus adéquatement pris en charge par le chirurgien que par l’orthodontiste.
Par contre, un saignement léger n’est pas nécessairement anormal ou grave. Veuillez donc en revoir votre chirurgien le plus tôt possible.
Bonne chance
Bonjour,
Je m’intéresse au cas du jeune homme ayant subi une génioplastie : on voit, dans le texte joint à l’image, « remodelage osseux » dû à la croissance chez l’adolescent. Est-ce une apparition de matière osseuse au niveau des zones déplacées (par exemple la zone A – image mars 2003)? Les « trous » sont-ils comblés dans les mois qui suivent si oui : de façon naturelle ?
Une dernière question : on m’a dit qu’il existait un risque de non-consolidation de l’os lors de l’avancement, une sorte de « dissolution » de l’os est possible?
Votre question est pertinente et permet d’ajouter quelques précisions.
Le remodelage osseux que je décris comprend de l’apposition et de la résorption (A signifie Apposition et R signifie Résorption) aux zones indiquées par des flèches et des lettres sur les vues radiographiques ci-haut (réponse précédente). Sur les radiographies du jeune garçon de 14 ans, il y a eu apposition ou formation d’os ou si vous préférez « apparition d’os » au-dessus du segment de menton qui est avancé. L’os est « déposé », ou l‘os s’est formé, sur le versant antérieur de la mandibule.
Les « trous » ou plus précisément « l’épaulement » ainsi créé par l’avancement du segment osseux du menton se comblent naturellement durant le processus de guérison.
En ce qui concerne une non-consolidation, je ne l’ai jamais constaté pour les cas de génioplastie. D’ailleurs, vous pouvez constater que le trait de coupe n’est déjà quasiment plus visible 18 semaines postgénio.
Les non-consolidations (mal-union) sont extrêmement rares. Si cela se produit, ce sera généralement secondaire à une infection postopératoire ou une fracture des fragments aux sites de fixation. Je l’ai vécu une seule fois avec un de mes patients qui avait subi une ostéotomie sagittale mandibulaire bilatérale et qui a dû être réopéré du côté droit pour reconsolider le tout. Bien entendu, l’infection a été contrôlée par antibiothérapie
Quelle promptitude ! Merci.
Merci beaucoup pour vos réponses et pour votre amabilité.
Il me reste une question de détail (ou d’importance, c’est selon !) liée au point 1 :
je comprends bien qu’il ne faut pas relier les hémimaxillaires post-op afin de permettre leur écartement. Mais quid de leur lien avec le reste du crâne, dans la direction verticale (qui fait que le maxillaire ne tombera pas !!!) ? Il ne se fait que par les lames ptérygoïdes à l’arrière, et par le maintien bouche fermée à l’avant ?
Le maxillaire est retenu par le septum nasal, les parois internes des fosses nasales, les os palatins, tout le pédicule vélopharyngé et palatin. Il reste encore beaucoup de tissus vous savez.
Bonsoir
Dr Sylvain Chamberland
Bonjour Docteur,
Merci effectivement pour votre travail de présentation de vos activités !
Je viens de visionner la vidéo de l’EPRAC et je ne vois pas de pose de plaques d’ostéosynthèse… Est-ce parce qu’il n’y en a pas, ou parce que le film n’est pas « intégral » ?
Je n’ai pas bien compris ce que vous appelez « down fracture ». Ceci dit, je dois prendre le temps de lire votre thèse, ce sera peut-être plus clair après !
D’autre part en ce qui concerne les génioplasties, le décalage qui se crée au niveau de la fracture du menton, finit-il par se combler, se lisser ?
Merci par avance pour vos informations et
Bonne Année.
Nicolas
Bonsoir Nicolas,
Question 1 :
EPRAC
Il n’y a pas d’ostéosynthèse lors de l’expansion palatine assistée chirurgicalement parce qu’il n’en faut pas. L’expansion chirurgicale est en fait de la distraction osseuse c’est-à-dire que lorsque l’os est coupé, les deux parties sont éloignées graduellement l’une de l’autre ce qui étire le cal mou formé par le sang autour du trait de coupe. Il est donc essentiel que les deux hémimaxillaires puissent être libres de s’écarter. Les ostéosynthèses servent à immobiliser les parties osseuses. Vous comprenez alors que s’il y avait des ostéosynthèses, il ne serait pas possible d’écarter les hémimaxillaires.
Question 2 :
Down fracture
La photo de gauche est une vue plongeante d’un maxillaire après la séparation complète. La lettre P indique les segments postérieurs. La lettre A indique les segments antérieurs. La lettre C indique l’ilot central. Les flèches indiquent les traits d’ostéotomies séparant le maxillaire en segments.
.
Question 3 :
Génioplastie
Il y a un remodelage osseux important après une génioplastie et le trait de coupe se comble entièrement et disparait. Le remodelage est différent entre un adulte et un adolescent.
Génioplastie chez l’adolescent
Le décalage s’est très bien « lissé ».
.
Génioplasite chez l’adulte
Le décalage s’est bien lissé, mais il y a moins d’apposition osseuse. Le lissage s’est produit par le remodelage du coin supéroantérieur du fragment distal.
Bonjour Dr Chamberland,
De 2006 à 2009, j’ai eu des broches et mon plan de traitement dentaire incluait une chirurgie de mâchoire, car mes mâchoires étaient très désalignées. J’avoue que lorsque j’ai rencontré mon chirurgien pour la première fois sous les recommandations de mon orthodontiste avant de prendre la décision d’y aller de l’avant avec mes traitements dentaires, j’ai eu vraiment peur de ce type de chirurgie! La chirurgie orthognatique que j’ai finalement subie en mars 2008 comprenait une ostéotomie de Le Fort I, une ostéotomie sagittale mandibulaire bilatérale, une génioplastie et une turbinectomie (l’ablation des cornets inférieurs du nez afin de préserver un passage d’air adéquat à la suite de l’impaction importante de mon maxillaire).
Après coup, je dois dire que je n’avais rien à craindre de la chirurgie. Tout s’est bien déroulé pendant l’opération. Il faut dire que j’avais une grande confiance en mon chirurgien et j’ai suivi ses conseils à la lettre après la chirurgie. J’ai par contre dû subir une deuxième chirurgie 4 semaines après la première pour reprendre la fixation sagittale sur ma mâchoire inférieure. Malgré cette « complication » très rare, je ne regrette pas d’avoir subi les traitements. Mon estime personnelle a augmenté en flèche après mes traitements dentaires et je fonce maintenant dans la vie comme je l’ai toujours voulu et comme je savais que je le pourrais avec des dents et des mâchoires droites. Je n’ai plus peur de montrer mon sourire que j’affiche maintenant avec fierté! Si tout cela était à refaire demain matin, je le referais sans hésiter de par les bénéfices que mes broches et mes chirurgies m’ont procurés.
À la suite de mon expérience face à la chirurgie orthognatique, j’ai décidé de mettre sur pied mon site web personnel (www.mhcyr.com) contenant une section sur la chirurgie. J’espérais convaincre des gens qui hésitent à subir une chirurgie de mâchoire en décrivant mon aventure dentaire.
Par souci de me renseigner sur le sujet de la chirurgie de mâchoire, j’ai fait des recherches sur internet et je suis tombée sur votre site web par hasard. D’une part, j’ai été très impressionnée par la qualité et la quantité d’informations dans votre guide d’alimentation et les idées de recette pour ceux et celles qui subissent des chirurgies buccales. Si j’avais eu ce genre d’informations avant ma chirurgie, j’aurais pu probablement mieux me préparer, surtout ce qui a trait à mon alimentation postopératoire.
Également, je cherchais des pages internet depuis quelques mois déjà expliquant en gros la nature des interventions que j’ai subies. Quelle ne fut pas ma surprise de voir votre page à ce sujet! C’est exactement le genre d’informations que je cherchais pour expliquer à mes proches les interventions que j’ai subies. L’information que cette page contient est claire et très bien appuyée par des photos et des radiographies.
Bravo pour votre site!
Marie-Hélène
Merci pour vos bons mots,
Vous êtes bien placées pour savoir le temps qu’il faut mettre pour construire un site. Des heures et des heures!
De savoir que mes efforts peuvent être vus et lus et rendre service au public en général est une récompense en soi.
Merci
Dr Sylvain Chamberland
Bonjour,
J’aimerais seulement savoir après combien de temps approximativement l’écart entre les palettes devient moins larges. Je suis déjà assez complexée avec ma petite espace entre les dents et je me demande comment gérer une espace aussi importante. Je travaille dans le publique.
Merci.
Bonjour Mélanie,
Cela varie aussi en fonction de l’âge du patient, l’auto fermeture est plus rapide chez une personne dans la jeune vingtaine qu’une personne dans la trentaine ou dans la quarantaine.
Vous devez savoir que dès que l’activation de l’appareil cesse, les fibres gingivales vont initier le mouvement de re-fermeture, mais ce mouvement est lent et il faut compter entre 2 à 4 mois après l’arrêt de la distraction osseuse (expansion) pour que l’espace soit complètement refermée. Normalement, l’orthodontiste colle les brackets 2 mois après l’arrêt de l’expansion et il peut mettre une force active douce (très faible) ce qui va activer la fermeture de l’espace entre les 2 incisives.
Recevez mes salutations,
Sylvain Chamberland
Bonjour Dr. Chamberland,
Tout d’abord merci pour les réponses à mes questions, ceci est grandement apprécié !! Merci également pour votre publication. Je n’ai pas encore fait la lecture de votre travail, toutefois je vais en faire une lecture exhaustive dès que le temps me le permettra.
En fait, oui j’ai un angle très léger en comparant la distance entre la base et le bout des incisives, ceci est juste. Je crois également que l’espace obtenu entre les deux incisives est proportionnel à l’augmentation de la distance intermolaire. Toutefois, je crois m’avoir mal exprimer avec le déséquilibre de +/-4 mm. Ceci concerne plutôt la différence de hauteur des incisives. Plus précisément, si on prend la base de l’incisive de l’hémimaxillaire droit comme point de référence à 0 mm, on constate que la base de l’incisive de l’hémimaxillaire gauche est à environ -4 mm (plus bas comme ceci _- ). En regardant quelques photos publiées sur l’internet, je constate que la base des incisives semblent toujours être à la même hauteur. Donc, si je reformule ma question: est-ce normal d’avoir une différence de hauteur entre les deux incisives (en comparant la base des incisives)?
Je vous remercie à l’avance de la réponse à cette question.
Sincèrement,
Jean-François
Merci de préciser votre question et j’avoue que je n’avais pas imaginé que l’écart était sur le plan vertical. Bref, cela ne m’apparaît pas normal.
Toutefois, sans avoir vu la situation clinique avant l’expansion et la situation clinique à ce jour, je ne peux vous dire pourquoi. Auriez-vous reçu un coup sur la dent? Auriez-vous tenté de toucher à la dent pour en tester la mobilité? Y avait-il déjà un écart vertical?
J’ai déjà eu un patient qui tenait son bébé de 2 mois entre ses mains et qui a reçu un léger coup de tête de son bébé en plein sur une incisive. Bang! Il en a eu les larmes aux yeux de douleur. Le coup a causé une hémorragie dans la chambre pulpaire et il a fallu procéder à un traitement de canal.
Votre inquiétude est légitime et la réponse est probablement simple.
Quand reverrez-vous votre orthodontiste? Pouvez-vous l’appeler et lui parler? Je vous recommande soit de le voir en urgence, soit de l’appeler. Il est le mieux placé pour vous répondre et vous rassurer.
Je vous dis bonne chance, ce n’est peut-être pas grave ce qu’il vous arrive, mais il vaut mieux que vous alliez vérifier.
Recevez, Monsieur Jean-François, mes salutations distinguées
Dr Sylvain Chamberland
Bonjour Dr Chamberland,
Je viens de subir une EPRAC (6 juin 2011) en vue d’avoir un appareil orthodontique. Une semaine après la chirurgie, j’ai commencé l’activation de l’appareil d’expansion (à raison de 2 activations par jour pendant 12 jours) pour finalement atteindre +/- 10mm d’espace entre les deux incisives. Toutefois, cette expansion a créé un déséquilibre de +/- 4mm entre les deux incisives (expansion en angle). En regardant la plupart des photos disponibles sur internet, je remarque que la plupart des expansions semblent être à 180 degrés (les deux incisives sont égales). Est-ce normal d’avoir un déséquilibre entre les deux incisives ? Est-ce que l’EPRAC peut causer un déséquilibre entre les deux hémimaxillaires ?? De plus, environ 24 jours après la chirurgie et 4 jours après avoir cessé l’activation de l’appareil d’expansion, je ressens toujours de l’engourdissement dans la lèvre supérieure et les joues. Est-ce normal de ressentir encore de l’engourdissement (insensibilité) après un peu plus de trois semaines ??
Je vous remercie à l’avance des réponses à mes questions !!
Bonne journée !!
Bonjour Monsieur,
L’expansion lors d’un EPRAC cause inévitablement un angle entre les 2 incisives lors de leur séparation. Les 2 hémimaxillaires peuvent s’incliner de 5° à 10° par côté d’où la nécessité d’avoir un appareil très rigide. Il peut donc y avoir une divergence entre les 2 incisives d’environ 10° à 20° en même temps que l’espace entre ces dents. Il est important que l’espace obtenu entre les 2 incisives soit proportionnel au gain en largeur entre les 2 molaires d’ancrage. Si j’interprète bien votre 4 mm , je comprends qu’à la base des 2 incisives là où elles entrent dans la gencive, c’est 4 mm plus étroits qu’au bout des dents. C’est beaucoup de divergence à moins qu’il n’y eût déjà une divergence que vous n’aviez pas observée avant ou que le sens de l’écart que vous décrivez ne soit pas dans le sens gauche-droit, mais dans le sens avant-arrière, ce qui serait difficilement explicable aussi. Je crois que vous devriez poser la question à votre orthodontiste. Il lui sera facile de vous répondre,
En ce qui concerne votre engourdissement, c’est normal après seulement 24 jours. Cela peut prendre jusqu’à 6 mois avant d’avoir une sensibilité normale.
Je vous montre 2 exemples récents d’espace entre les dents à la dernière journée d’activation.
Vous remarquerez qu’il n’y a que très peu de divergence entre les 2 incisives. L’espace obtenu est tout à fait proportionnel l’augmentation de la distance intermolaire. Le coefficient de corrélation est 0,64 (cf article cité en rubrique). Le développement d’un diastème indique que l’expansion des molaires (hémimaxillaires) se produit correctement.
Pour plus d’information je vous recommande de lire mon plus récent article de recherche sur le sujet:
Je souhaite que j’ai pu ainsi vous rassurer.
Recevez, Monsieur, mes salutations distinguées,
Dr Sylvain Chamberland
Bonjour Docteur,
Suite à d’importantes recherches d’informations et témoignages sur internet concernant l’opération Le Fort 1, je suis tombée sur votre site.
Ma situation actuelle est que je dois subir une opération Le Fort 1 afin de corriger une petite béance dentaire.
-J’ai consulté un premier chirurgien qui me propose le traitement suivant:
Pose d’un appareillage dentaire puis au bout de 3/4 mois, subir l’opération du maxillaire avec l’élargissement du palais (mon élargissement palatin est très léger, c’est pourquoi il me propose de faire les 2 en une seule opération). Je garderai l’appareillage 10 mois après l’opération.
-J’ai consulté un second chirurgien afin d’avoir son avis sur mon cas. Ce dernier m’a proposé de faire dans un premier temps l’élargissement du palais (première opération) avec pose d’un disjoncteur et appareillage, puis 6 mois après procéder au Le Fort 1. (deuxième opération).
Je reste très hésitante quant au choix de mon traitement et souhaitais avoir votre avis sur mon cas et ces 2 types de traitement proposés. J’ai d’ailleurs lu votre mémoire très intéressant (merci!) malgré certains aspects incompris. Je vous remercie par avance pour votre point de vue et vos conseils.
Dans l’attente
Très cordialement
Sihem
Bonjour Sihem,
Il est difficile de répondre adéquatement à votre question parce qu’il me manque des informations importantes et que le choix de procéder à 2 phases chirurgicales distinctes ne repose pas sur le simple fait « d’avoir une petite béance antérieure à corriger. »
Pour qu’il y ait indication de procéder à un élargissement du palais (EPRAC), il faut une déficience de largeur de plus de 5 à 7 mm, c’est-à-dire que la mâchoire supérieure est trop étroite d’au moins 7 mm par rapport à la mâchoire inférieure. Le deuxième critère serait l’amplitude des mouvements nécessaires dans le sens vertical et sagittal (avant-arrière).
S’il est vrai que votre élargissement palatin est très léger et que vous avez « une petite béance », il est fort probable ou vraisemblable que la correction chirurgicale puisse se faire dans les 3 plans de l’espace en une seule opération.
Je m’interroge cependant sur le fait que vous ne semblez pas avoir consulté d’orthodontiste afin de coordonner vos traitements. Votre adresse m’indique que vous habiter dans la région Provence-Alpes. Je vous recommande de consulter un orthodontiste de votre région. À Québec, l’orthodontiste est le maître d’oeuvre des traitements orthochirurgies et les étapes du traitement sont coordonnées avec le chirurgien buccal et maxillofacial et il ne se fait à peu près pas de chirurgie orthognathique sans qu’il n’y ait pas conjointement un traitement d’orthodontie. De plus, une petite béance et un petit problème de largeur çà pourraient peut-être se corriger sans approche chirurgicale.
Je crains que ma réponse ne vous rendre encore plus hésitante et confuse. Un diagnostic et un plan de traitement ne peuvent se faire à distance sans avoir vu le patient.
Recevez, Sihem, mes salutations distinguées
Dr Sylvain Chamberland
Bonjour,
J’ai consulté un orthodontiste il y a quelques années qui me proposait l’EPRAC en début de traitement. Je n’avais pas les ressources financières nécessaires à ce moment, mais j’ai économisé depuis et j’envisage maintenant le traitement. Je consulte donc les différents sites d’orthodontistes de Québec afin de porter un choix final sur le spécialiste que je consulterai.
L’EPRAC m’inquiète un peu. Je me demande combien cela prend de temps généralement avant de redevenir fonctionnel (pouvoir retourner au travail et vaquer à ses occupations quotidiennes) après une EPRAC? Est-ce que la douleur demeure longtemps?
Merci!
Sébastien
Bonsoir Monsieur Sébastien,
D’abord, je vous invite à lire la section témoignage de la page d’accueil. Le témoignage de Stéphanie concernant son expérience avec une EPRAC devrait vous rassurer quant à la douleur. Vous remarquerez à la lecture du témoignage de Stéphanie, ainsi que ceux des autres patients ayant subi d’autres de chirurgies, que la douleur ne semble pas être un obstacle. Selon mes patients, la douleur est tolérable, pas très grande, très supportable.
Le temps de convalescence varie d’une personne à l’autre, mais il semble y avoir un consensus qu’il faut rester tranquille les 7 premiers jours. Entre le 7e et le 14e jour, les forces reviennent rapidement, mais il est important de bien s’alimenter. Il est probable que vous pourrez reprendre vos occupations normales durant cette période.
Nous sommes en train de finaliser sur ce site un page décrivant tous les conseils postopératoires ainsi que des recettes d’alimentations recommandées par les diététistes de l’hôpital de l’Enfant-Jésus (voir FAQ/conseils postopératoires).
J’espère que ces quelques informations sauront vous rassurer. Prenez le temps de consulter tous les documents concernant la chirurgie EPRAC sur cette page. Des hyperliens vous conduiront aux travaux de recherche que j’ai fait sur le sujet.
Recevez, Monsieur Sébastien, mes salutations distinguées
Dr Sylvain Chamberland
Le 25 novembre 2010, j’ai moi-même subi une expansion palatine assistée chirurgicalement (EPRAC).
Avant l’opération, je n’ai pas eu la chance de regarder la vidéo que le Dr Chamberland a mise sur son site. Ce n’est que dernièrement que j’ai eu la possibilité de la voir et je dois vous avouer que j’en suis restée bouche-bée.
Sincèrement, j’ai vraiment trouvé cela spectaculaire! C’est fou tout ce que la médecine est capable de faire de nos jours… Ce qui est le plus impressionnant, c’est que malgré tout ce que l’on peut voir dans la vidéo, la réalité est que ce n’est pas si douloureux que ça et que la guérison se fait assez rapidement!
Ce qui est le plus « agaçant », c’est tout l’inconfort que peut générer cette opération. Par inconfort, je parle du fait que le visage enfle, que certaines zones du visage restent engourdies pendant plusieurs jours et qu’il est difficile de parler et de s’alimenter normalement. Par contre, comme je l’ai déjà précisé, après quelques jours seulement le visage commence à reprendre son apparence normale, notre visage retrouve sa sensibilité, il est possible de recommencer à manger certains aliments et parler est de moins en moins difficile.
Je suis heureuse d’avoir eu la chance de voir cette vidéo, car ainsi j’ai été en mesure de répondre à plusieurs de mes questionnements. J’ai pu comprendre les raisons pour lesquelles certains endroits de ma bouche étaient plus douloureux que d’autres. Pourquoi certaines zones de mes gencives sont encore insensibles. Pourquoi j’ai eu quelques saignements de nez ainsi que de la douleur quand je le touchais, etc.
Il est évident que de regarder cette vidéo n’est pas un moment de plaisir… J’ai dû fermer mes yeux à quelques reprises, mais à la fin j’étais fière de moi. Fière d’avoir subi cette opération et fière de pouvoir dire que tout cela a l’air pire que ça ne l’est en réalité 🙂